フィリップスエレクトロニクスジャパン

ホーム の中の inNavi Suiteの中の フィリップスエレクトロニクスジャパンの中の Technical Noteの中の DA(FPD)−Philips Live 3D Guidance for Cardiac Intervention

Technical Note

2009年4月号
Cardiac Imagingにおけるモダリティ別技術の到達点

DA(FPD)−Philips Live 3D Guidance for Cardiac Intervention

藤田守昭
マーケティング本部X-ray統括部

冠動脈疾患の治療に血管撮影装置が大いに活用されているのは,周知のとおりである。近年では,治療ガイドとしてのアプリケーション機能の強化が臨床現場から求められており,多くのアプリケーションが登場している。フィリップスでは,3次元冠動脈画像(3D-CA)やステントの視認性を飛躍的に向上させる“StentBoost”をすでに開発している(図1)。これらは,PCIを支援するアプリケーションとして多くの施設で採用されているが,さらなる進化の要望を受け,日々改良され続けている。
また,フィリップスでは“Live 3D Guidance”コンセプトのもと,透視画像にリアルタイムで3D画像をフュージョンするテクノロジーを開発しており,単なるリファレンスではなく,術中のカテーテルナビゲーションなどに使えるアプリケーションとして発展させるため,世界中の臨床現場とリンクした開発を行っている。
本稿では,この進化したフィリップス最新のCardiacアプリケーションを紹介する。

■ StentBoost Subtract

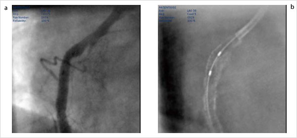
簡単な撮影だけで瞬時に視認性の低いステントを強調するStentBoostは,ステント拡張後の評価,再拡張時のバルーンの位置決めなど多くの場面で活用され,高い評価を得ている(図1)。しかしながら,デバイスのみの強調であるため,実際に術者が必要とする血管壁との相関関係を把握するには不十分であった。この要望に対応するため,従来の撮影に,わずかな造影剤注入フェーズを加えることで,血管壁を強調表現し比較できるアプリケーションが“StentBoost Subtract”である(図2)。
この機能により,ステント留置時の位置確認,ステント拡張後の状態,再拡張時のバルーンの位置決めなど,従来に比べ大幅に機能が拡張された。このアプリケーションの特長は,ダブルマーカーさえ留置された状態であれば,簡単な撮影とわずかな造影だけで容易に,かつ低コストで使えることである。視認性が低くなる傾向にある薬剤溶出性ステント(DES)などにも対応でき,より正確なPCIをサポートするツールとしてさらに改良を重ねられている。

図1 3D-CA(a)とStentBoost(b)
図1 3D-CA(a)とStentBoost(b)

図2 StentBoost Subtract
図2 StentBoost Subtract
血管のブースト画像(a)とStentBoost画像(b)が,交互にムービ表示に切り替わり,血管壁とステント(病変部)の位置関係を把握できる。

■ CT TrueView

心臓CTの進歩は目覚ましく,現在では多くの施設で活用されている。心臓CTでは,高精細な3D画像が生成され,これらは複雑なPCI時に多用され始めている。フィリップスでは,心臓CTデータを利用し最適なアプローチアングルをシミュレートして,目的のワーキングアングルへのオートポジションを実現する“CT TrueView”を開発した。このアプリケーションソフトウェア上で術者は,選択病変部の最適なアングルを選択することができる。また,Optimal View Map機能により,臨床角度を装置側が自動計算し提示する(図3)。

図3 CT TrueView
図3 CT TrueView

■ CTO Navigator(W.I.P.)

上記のCT TrueViewをさらに発展させたものが,現在開発中の“CTO Navigator”である。このアプリケーションでは,CAGや透視画像に冠動脈3D CT画像を重ね合わせることによって,さらに,直感的に治療戦略のイメージを具体化させることができる(図4)。
このような3D画像と透視画像とのフュージョンにより,直感的かつ正確に病変形態を把握し,治療を進めていくことができるため,PCIをより迅速かつ正確なものとさせる。

図4 CTO Navigator(W.I.P.)
図4 CTO Navigator(W.I.P.)

■ EP Navigator

心拍の管理を目的とした電気生理学的治療には,ペースメーカー,植え込み型除細動器(ICD)の埋め込み術やアブレーションなどがある。中でも心房細動(AF)に対するアブレーションは,その手技の難易度からさまざまな問題を抱えている。欧米では最近,AFの治療は予防的治療として注目され,その適用件数は増加の一途をたどっている。そして,高齢化社会を迎えるわが国にとっても避けられない疾患である。自覚症状がほとんどないこの疾患では,合併症として,AFにより発生する血栓飛散による心原性脳梗塞や心疾患が挙げられる。事前にAFを治療することは,社会全体としての損失,合併症により発生する医療コスト(投薬代,治療費)の削減に寄与でき,欧米では積極的にこれらを治療する動きが出てきている。
さて,このAFの治療で術者が困難を極めるのが,PV(肺動脈)アイソレーションである。焼灼カテーテルで,連続かつ貫壁性を有した線状の焼灼を,PV狭窄を引き起こすことなく正確に行うことは非常に困難であり,多くの術者は3Dイメージガイド下でのカテーテル治療システムの登場を望んでいた。
フィリップスではこれらの要求に応えるため,新たに“EP Navigator”を開発した。EP Navigatorは,心臓CT検査で得られる左心房の3D CT画像を透視画像上に重ね合わせ,ロードマッピング操作を可能とした。このアプリケーションにより,すべてのカテーテルの位置と左心房の解剖学的な情報を合わせて,リアルタイムに画面上で確認できる。Cアームの角度変更,テーブルのパニング,SID,FOVの変化にも,リアルタイムで追従する(図5)。
また最新では,心臓CTデータによるマッピングに替わり,血管撮影装置の回転撮影より得られた3次元画像(3D-ATG)を使用したマッピングも可能となっている。図6のように,心臓CTと遜色のない画質で左心房の描出が行える。3D-ATGは,心臓CTによるEP Navigatorのように位置合わせの必要がなく,自動的に透視画像にオーバーレイされるため,正確で迅速な治療の支援となる。  今後,わが国でも増加が予想されるアブレーション治療に対して,EP Navigatorはさまざまな形で貢献できると考えられる。特に,手技時間の短縮によりスループットが向上し,潜在的な患者さまを含めた多くの症例を治療の対象にできることはメリットであろう。

図5 EP Navigator
図5 EP Navigator
3D画像をカットし,後壁の様子を確認しながらのカテーテル操作も可能である。

図6 3D-ATGによる左心房の描出(a)とCTスキャナによる左心房の描出(b)
図6 3D-ATGによる左心房の描出(a)とCTスキャナによる左心房の描出(b)

いままで術者自身が頭の中で統合していたさまざまなモダリティ画像を,目の前の透視画像に統合することでストレスフリーな環境を提供していくことが,フィリップスのLive 3D Guidanceのコンセプトである。より直感的な環境を提供することで,正確さと迅速性を改善させることができる。これらの機能は術者はもとより,患者さまにとっても大きなメリットとなる。
これからもユーザーが思い描く理想の環境をシンプルなインターフェイスで提供し続けていくことが,われわれの使命である。ぜひ多くのフィードバックをいただきたいと思う。



【問い合わせ先】 フィリップスお客様窓口 フリーダイアル:0120-556-494