フィリップスエレクトロニクスジャパン

ホーム の中の inNavi Suiteの中の フィリップスエレクトロニクスジャパンの中の Technical Noteの中の MRI−次世代RFパルス送信技術“MultiTransmit”─原理と臨床応用

Technical Note

2009年9月号
Step up MRI 2009−各社技術開発の最前線

MRI−次世代RFパルス送信技術“MultiTransmit”─原理と臨床応用

小原 真
クリニカルサイエンス

全身用3.0T MRIの導入開始から3年あまりが経過した。導入当時に課題とされていた信号不均一性の問題が改善され,3.0Tの体幹部領域での臨床応用が可能となり,現在に至るまで急速に普及してきている。論を待つまでもなく,パラメータの調整を施すことなく1.5Tに比較して約2倍のSNRが得られるわけであるから,3.0Tに注目が集まるのは当然のことである。
さて,頭部領域では,1.5Tと比較して明らかなアドバンテージを認める評価が多数を占めるのであるが,体幹部領域での評価は,「3.0Tでも検査が可能となった」という類のものが依然として多く,1.5Tと比較したアドバンテージに関しては,疑問を投じる声も多い。信号不均一性の影響による検査の可否が論じられた時期があったことを考えれば,体幹部検査が実現していること自体,技術的には相当な進歩である。しかし,患者によって信号の不均一性が目立つ(1.5Tに比べて検査の安定性が低い)こと,コントラストの低下があること,そして,SARの制限に伴う撮像時間の延長やパラメータ設定の自由度の低さなどに関して,依然として改善が望まれている。これら3.0Tの課題は,実際に体内に照射される送信RFパルスの強さや分布が,理論値と乖離していることに強く関係している。フィリップスが開発した“MultiTransmit”システムは,この理論値と実際の“乖離”を極力少なくし,3.0Tが直面する課題に対する,より抜本的な解決策となりうる技術である。本稿では,MultiTransmitシステムを従来送信法と比較しながら解説し,その必要性,有用性に関して説明する。

◆MultiTransmitの送信理論

MultiTransmitは,複数の供給源からRFパルスを送信するシステムのことを指す。一般的に使用されているバードゲージコイルを用いたquadratureタイプの送信コイルは,図1 aに示すとおり,RFパルス供給源は1つであり,そこから出力されたパルスがパワースプリッターによって,振幅が同じで位相が90°異なるsine波とcosine波となって2チャンネルの送信コイルに分配され,人体へと照射される。この送信システムは,理論上,送信RFパルスの均一性が高く,しかも送信効率が高いことから,現在市販されているMRIのほとんどのシステムで採用されている。
しかし3.0Tシステムになると,体内でのRFパルス波長が被写体と同レベルまで短くなり,sine波とcosine波の理想的な関係で送信された2つのRFパルスが,体内ではその関係を保てなくなる部位が生じる。そのような部位は,極端にRFパルスが弱まったり強まったりするため,信号不均一や局所SARの増大を招くことがある。この問題を改善するには,人体内でのRFパルスの変化をあらかじめ考慮に入れて,2つのコイルから送信されるRFパルスの出力差や位相差を最適化する必要がある。しかも,RFパルスの分布は部位や体形によって一人ひとり異なるため,患者ごとの最適化が要求される。そのようなフレキシブルなRFパルスの調節を可能にするために,図1 bに示すような複数のRFパルス供給源を有し,位相や振幅の調節を独立して施行できるのがMultiTransmitシステムである。

図1 quadrature送信システムとMultiTransmitシステム
図1 quadrature送信システムとMultiTransmitシステム
a:quadrature送信システム。RFパルス供給源は1つで,出力されたRFパルスがパワースプリッターによって,2チャンネルの送信コイルに分配される。この際,振幅は同じで位相が90°異なるsine波とcosine波に分けられる。
b:MultiTransmitシステム。2つのRFパルス供給源を有する。出力するRFパルスの振幅や位相を独立して調節するため,対象物内のRF分布に応じたフレキシブルなRFパルス送信が可能となる。

◆患者ごとに最適化されるRFパルス環境

送信RFパルスの体内での状態は,撮像部位や患者の体形などによって異なる。MultiTransmitを用いる場合,キャリブレーションスキャンによってRFパルスの分布を測定する。次に,そのパルス分布をモデル式にあてはめて,分散が最小となるように各素子からの送信RFパルスの振幅と位相の値を算出する。このプロセスを患者ごとに行うことで,常に最適なRFパルス環境を実現することができる。
図2は,MultiTransmitで撮像された15名の乳腺のボランティア画像(左:3D T1W,右:脂肪抑制併用3D T1W)の3列表示である。大きさや形状が異なる場合でも,均一な信号強度や脂肪抑制効果が確保されていることがわかる。図3には,腹水および脾臓に拡張を認める患者を従来送信法で撮像した画像(図3 a,c)およびMultiTransmitで撮像した画像(図3 b,d),図4では胎児を従来送信法で撮像した画像(図4 a)とMultiTransmitで撮像した画像(図4 b)を比較している。MultiTransmitにより,従来,信号不均一の影響で困難であった検査も可能となることがわかる。

図2 MultiTransmitで撮像された15名の乳腺のボランティア画像
図2 MultiTransmitで撮像された15名の乳腺のボランティア画像
各列の左は3Dのグラディエントエコー系シーケンスで撮像したT1強調像(3D T1W),右は脂肪抑制を併用した画像(3D T1WFS)となる。大きさや形状が異なっても均一な信号強度や脂肪抑制効果が確保されていることがわかる。
(Courtesy : University of Vermont, USA)


図3 腹水および脾臓に拡張を認めたケース
図3 腹水および脾臓に拡張を認めたケース
(画像ご提供:東海大学病院様)

図4 胎児を撮像したケース
図4 胎児を撮像したケース
(Courtesy : University of Vermont, USA)

◆MultiTransmitによるコントラストの改善効果

図5に,3.0Tで得られた腹部画像を示す。図5 aでは,信号強度が極端に低下している領域が認められている。これが,3.0Tで問題となるRFパルスの不均一に伴う信号低下である。図5 bは,プリスキャンによって局所的なRFパルスの不均一領域を推測し,その領域の信号強度を補正するアルゴリズム(Body Tuned CLEAR:BTC)を用いて再構成を行った画像である。BTCを用いることで,図5 aに比べて信号の不均一が改善している。それに対して,図5 cはMultiTransmitを用いて得られた画像である。BTCを用いなくても,照射RFパルスをより均一にすることで,信号の顕著な低下を防いでいる。図5 d〜fは,図5 aで認められる信号低下領域を中心に,図5 a〜cそれぞれを拡大した画像である。図5 b図5 cでは,どちらも信号の均一性は高まっているが,拡大図である図5 e図5 fを比較すると,図5 f図5 eに比べて血液と周囲肝組織のコントラストが向上しているのがわかる。これは,RFパルスの不均一が生じている部位では,設定どおりのフリップアングルでRFパルス照射が行えていないため,図5 bで施されたような後処理で信号を均一化しても,コントラストまでは補正できないことを意味している。
MultiTrtansmitは,照射RFパルスを最適化することによってフリップアングルが設定値に近づくため,信号不均一だけでなく,コントラストの改善にもつながる,より抜本的な解決策であることが理解できる。

図5 MultiTransmitと従来送信法による画像コントラストの比較
図5 MultiTransmitと従来送信法による画像コントラストの比較
a:従来送信法によって撮像された腹部画像。信号強度が極端に低下している領域を認める。
b:信号補正技術(Body Tuned CLEAR:BTC)を用いて再構成を行った画像。aに比べて信号の不均一が改善している。
c:MultiTransmitを用いて撮像した画像。BTCを用いなくても,信号の均一性が高まっている。
d〜f:aで認められる信号低下領域を中心に,a〜cそれぞれを拡大。血液と周囲肝臓組織のコントラストを比較すると,fが最も高いことがわかる。
(画像ご提供:東海大学病院様)

◆SAR減少に伴う撮像時間の短縮

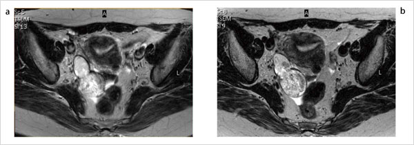
MultiTransmitによりRFパルス均一性が向上すると,局所SAR増大のリスクが軽減することから,従来の送信法で撮像した場合と比較して,安全基準による撮像時間の延長などを軽減することができる。この撮像時間の短縮効果は,空間分解能の向上へと使用することも可能となる。図6では,従来送信法により3分30秒で撮像した骨盤の画像(図6 a)と,MultiTransmitを用いて4分30秒で撮像した高分解能画像(図6 b)を比較している。1.5Tでは,SNRの限界によって撮像が難しかった高分解能撮像も,検査として現実的な時間で施行可能となることから,いよいよ3.0Tの特徴を生かした体幹部検査の実現が期待される。

図6 MultiTransmitを用いた高空間分解能画像
図6 MultiTransmitを用いた高空間分解能画像
a:従来送信法を用いて撮像した画像。ボクセルサイズは0.82mm×0.82mm×7mmで,撮像時間は3分30秒である。
b:MultiTransmitを用いて撮像した画像。ボクセルサイズは0.58mm×0.58mm×3mmで,撮像時間は4分30秒である。
(画像ご提供:東海大学病院様)

◆今後の方向性

MultiTransmitによるRFパルス均一性の向上,コントラストの向上,検査の安定性の向上,撮像時間の短縮,高分解能スキャンの実現は,いままでの3.0Tの課題を高いレベルで解決できる可能性を持っている。今後の臨床応用が進められていくにつれて,1.5Tに比べたアドバンテージが明確になり,質の高い体幹部3.0T検査が確立していくことを期待している。



【問い合わせ先】 フィリップスお客様窓口 フリーダイアル:0120-556-494