フィリップスエレクトロニクスジャパン

ホーム の中の inNavi Suiteの中の フィリップスエレクトロニクスジャパンの中の Technical Noteの中の DR/DA(FPD)−血管撮影装置の腹部領域における最新IVR支援機能

Technical Note

2010年4月号
Abdominal Imagingにおけるモダリティ別技術の到達点

DR/DA(FPD)−血管撮影装置の腹部領域における最新IVR支援機能

安藤博明
マーケティング本部Xray統括部

CT/MRIの革新的技術開発により,描出能力が劇的に向上し,さらなる診断領域の広がりを見せている。このような背景の中で,血管撮影装置の役割は,診断装置から,腫瘍に対し血流を生み出す栄養血管の塞栓や狭窄病変部の拡張治療などを行う治療専用装置として変貌を遂げている。近年,腹部領域の血管内治療においては,セレクティブからスーパーセレクティブ,さらにはウルトラセレクティブと,より深部に対する治療方法が開発されたことにより,さらに複雑な血管走行を把握することや,治療器具アクセスルートの正確な確保が非常に重要性を増しているため,サブミリ単位の血管を明瞭に把握できる高品位のDSA画像,治療評価を術中に行える治療支援機能,そして,高度診断画像取得を実現したCT/MRI装置との統合が行えるナビゲーション機能など,さらなる高度な機能開発が求められている。
本稿では,腹部領域における血管撮影装置の最新技術としてさらなる高品位な画質を実現した“2K Imaging System”,治療支援機能“XperCT”およびCT/MRI装置との統合を実現したナビゲーション機能“CT/MR RoadMapping”について述べる。

■2K Imaging System

腹部領域における血管内治療は主に,腫瘍性病変に対する動脈塞栓治療や,血管性病変に対する治療(血管狭窄,閉塞に対する拡張治療や動脈奇形,動脈瘤に対する塞栓治療)が挙げられる。特に,肝細胞がん(HCC)肝動脈塞栓療法(TAE)においては,Ultra SelectiveTAEと言われる治療方法が開発され超選択的治療が可能となったことで,tumor stain(腫瘍濃染)やfeeder(栄養血管)を深部まで把握できる,さらなるHigh Image Quality(高画質)が血管撮影装置に求められるようになった。
これらを背景にフィリップスは,従来の装置と比較して4倍のマトリックスでの画像収集を実現した2K Imaging System(図1)により,サブミリ単位の血管描出が可能となった(図2)。この2K Imagingの導入により,治療方針を決定づける血管走行の確定診断,または同定に対し期待が高まっている。

図1 2K Image System
図1 2K Image System

図2 HCC-TACE
図2 HCC-TACE

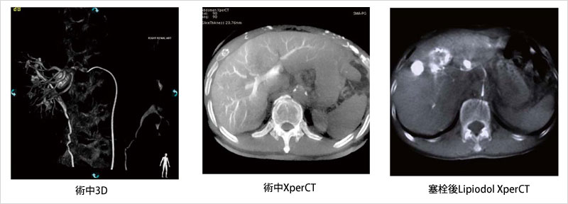
■XperCT

2K Imagingの導入により,イメージインテンシファイア(I.I.)搭載装置より高画質での画像情報が提供できるだけでなく,ダイナミックレンジが広くなったことから,低コントラスト領域の描出を可能とするXperCTを開発し,血管撮影装置のみで肝細胞がん栄養血管の確定診断,治療方法の決定や出血有無の確認などが可能となり,治療中行われるCT室への患者移動もより軽減できるものと考える。
このXperCTは,血管撮影装置における回転撮影画像からコーンビームCT(CBCT)の原理を応用し,CTを使用せずに軟部組織の表示(図3)を可能にした。動静脈奇形(AVM)における血管走行の確認,プラーク性状判断,肝細胞がんにおける肝動脈塞栓療法時の肝動脈造影(CTHA),経動脈性門脈造影(CTAP)への応用が進んでいる。肝細胞がんに対する経カテーテル的肝動脈化学塞栓療法(TACE)時には,存在診断,栄養血管の同定,塞栓範囲の確認(Lipiodol CT),濃染の不明瞭な腫瘍に対する塞栓効果の確認に対し有用であり,治療中のみならずPre/Postの支援機能として期待されている。

図3 腹部XperCT画像
図3 腹部XperCT画像

■CT/MR RoadMapping

より高度な治療方法が確立された現在,2K ImagingおよびXperCTの登場により,病変部により近い血管走行(feeder)の確定および治療に使用するデバイスのアクセスルートの同定,さらにPre/Postでの治療効果の確認が可能となった。
ここまで述べた,2K ImagingやXperCTに関しては,治療のストラテジーや評価を行う上で有用とされているが,高度化した治療部位まで同定されたルートに沿ってデバイスを進める確立した手段はなく,そのために二次元画像上でのロードマップ機能や3D血管画像を用いたロードマップ機能により手技を進めているのがこれまでの状況であった。より正確にかつ安全にデバイス操作を行うためには,背景や組織の形態や血管像を組み合わせた映像情報が必要不可欠とされている。また,それらの情報取得のためには追加のX線照射の必要がなく,低被ばくで行えることも重要であるとされている。フィリップスは診断で得られた臨床学的構造を明瞭に把握できるCT/MR画像と,リアルタイム透視をフュージョンする最新のナビゲーションツールを開発し,“CT/MR RoadMapping”として販売開始した。血管撮影装置のCアーム角度,SID(検出器-焦点間距離),拡大率(視野サイズ),テーブルのスライド方向など,すべての動作に対してCT/MR画像と透視画像が完全追従し,アクセスルートに対してターゲットまでの深部にわたり安全かつ正確にデバイスを進めることを可能とするツールである(図4,5)。

図4 CTとMRIの診断画像情報を血管撮影装置に統合
図4 CTとMRIの診断画像情報を血管撮影装置に統合

図5 CT/MR RoadMapping
図5 CT/MR RoadMapping

本稿にて,腹部領域における血管撮影装置の役割および最新治療技術に適応した血管撮影装置の機能として,2K Imaging,XperCT,CT/MR RoadMappingについて述べた。
これらの機能は,治療専用機として確立した装置に要求される病変部への血管走行の確定診断または同定,術中の塞栓効果および度合いの確認,デバイスアクセス支援の3つの重要な要素をすべて網羅できるものである。特に,デバイスアクセス支援機能として提供するCT/MR RoadMappingは,診断で収集された高精細画像を使用するため,血管撮影装置においてさらなるX線照射の必要がない上,無駄な被ばくを軽減することが可能となるばかりでなく,複雑な病変部までの血管走行に対して安全かつ容易にデバイスを進めることが実現できると考える。これらの3要素に関係する機能を組み合わせることにより,最新医療にマッチした新たな治療方法が確立していくものと確信する。



【問い合わせ先】 フィリップスお客様窓口 フリーダイアル:0120-556-494