ホーム
inNavi Suite
フィリップスエレクトロニクスジャパン
Technical Note
心臓領域におけるフィリップスCTの最新技術
2011年4月号
Cardiac Imagingにおけるモダリティ別技術の到達点
現在,心臓領域の診断を行うモダリティは多く,その中でも心臓CT検査は,64チャネルディテクター装置が開発,販売されて以降,革新的な発展が見られている。回転時間の向上,ディテクターの多列化,被ばく低減につながる逐次近似計算法などが,その中でも特徴的であり,これらはすべて被検者のために発展を続けている。弊社のCT装置においても,1回転0.27秒スキャンが可能な256スライス装置「Brilliance iCTシリーズ」(図1),64スライス装置「Brilliance CT 64」に逐次近似計算法を用いた画像再構成法“iDose4”が搭載された。
一方,解析においてもワークステーションの発展も目覚ましく,弊社の「Extended Brilliance Workspace(EBW)」には,心臓CT解析に必要な専用のアプリケーションが豊富に搭載されている。今回,プラーク解析ソフト“Plaque Analysis”や冠動脈造影支援ソフト“True View”が新たに開発され,総合心臓CT解析ソフト“Comprehensive Cardiac Analysis(C.C.A.)”に搭載された。これらは,フィリップスが提唱する“Cardiac Care Cycle”を実現するために必要不可欠なツールとなっている。本稿ではiDose4,C.C.A.,Plaque Analysis,True Viewについて紹介する。

図1 Brilliance iCTの外観
■iDose4
心臓CTだけではなく,すべての画像においてsignal(情報)とnoise(障害陰影)の関係(S/N)を切り離して考えることができない。より多くの情報を得ようとすると,被ばくの増加,撮影時間の延長など被検者に対してのデメリットも生じてくる。被ばくの低減と高いS/Nを両立するにはノイズの除去がカギとなるが,フィリップスでは,逐次近似計算法を用いて“De-Noise”を行うことで実施している。
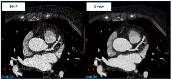
iDose4は,RAWデータレベルから逐次近似計算を行い,さらにアナトミカルモデル,統計学的ノイズモデルの2つのモデルに対して逐次近似計算を行っていく(図2)。これによりノイズだけではなく,CT特有のアーチファクトの発生を抑制することができる(図3)。

図2 iDose4の概念図

図3 iDose4の臨床画像
運用上において重要なことの1つは,ワークフローである。実際の撮影時には,iDoseレベル(1〜7)を選択することで撮影が可能となる。iDose4の撮影は,イメージクオリティ優先,低被ばく優先など,ユーザーの目的に合わせてiDoseレベル(1〜7)を選択するだけのシンプルな操作となっている。また,RAWデータレベルから行う逐次近似計算法は,膨大な計算時間がかかることが知られているため,画像再構成スピードも問題となってくる。そのため,iDose4では従来の画像再構成スピードを維持し,臨床的運用に弊害が起こらないよう新開発の高速画像計算ユニット“Rapid View IR”リコンストラクターが搭載されている。
このように,iDose4はハードウエア,ソフトウエアの組み合わせによって構成されている。これに,従来からのECG Dose Modulation,Prospective Cardiac Scan,低電圧撮影などの心臓CTアプリケーション,撮影法を組み合わせることにより,心臓CT検査がより低被ばく,かつ高画質で施行できる。
■Comprehensive Cardiac Analysis(C.C.A.)
心臓CT撮影は,いまやルーチン検査の1つとなり,多くの施設で施行されている。心臓CT検査は,撮影さえすれば終了とはならず,必ず解析を行わなくてはいけない。したがって総合的に見ると,心臓CT検査は多くの時間を必要とされる。そのため,C.C.A.では“ゼロクリック”での解析を可能とした。これは,撮影後のデータ転送,アプリケーションの起動,心臓区域分け,冠動脈の抽出,左心耳削除までも全自動で行う最新機能であり,作業時間を短縮することができる(図4)。また,C.C.A.のファンクションステージでは,左右の房室容量の測定,心機能解析が可能となっている。

図4 Comprehensive Cardiac Analysis(C.C.A.)
■Plaque Analysis
心臓CTのメリットとして,非侵襲的,陰性適中率が高いなど多くのメリットが示されてきた。その中にはプラークの性状評価の検討も含まれ,現在では冠動脈の二次元表示において,血管内腔のCT値を測定またはカラー表示することで確認されている。
しかし,プラークも三次元的に連続していることから,フィリップスではプラークをボリュームとしてとらえ,プラークの体積,CT値の正規化されたヒストグラムなどの情報を出力可能としている(図5)。ヒストグラムに関しては,ガウシアン分布を使用することで,プラークをその性状によって2,3のグループに分け,そのグループごとのピークを表示することができる。これらの結果から,投薬治療等におけるプラークの経時的観察を心臓CTで行うことができると考えられる。

図5 Plaque Analysis
■True View
心臓CTで病変が確認されると,必要に応じて治療を行う必要がある。ボリュームとして取得された心臓CTデータは,True Viewを用いることでPCIなどの治療の分野でも活用することができる。あらかじめ撮影された心臓CT画像から,三次元的な冠動脈の位置情報を血管撮影装置「Allura Xper FD」のアーム角度情報としてシンクロさせて使用することができ,被検者,術者の負担を軽減することができる(図6)。実際の手技中においても,True Viewとアームを連動したままリアルタイムに操作することが可能である。

図6 True View
最新技術はすべてエンドユーザーである被検者のためのものであり,簡単,かつ優しくなければならない。今回紹介した技術は“Cardiac Care Cycle”の考えのもとに,ストレスの少ない診断,治療,フォローアップに必要な技術として開発された。