ホーム
inNavi Suite
シーメンス・ジャパン
別冊付録
MAGNETOM
高スループットと高画質を両立したMRIで地域に質の高い医療を提供
![]()
1.5T MAGNETOM ESSENZA
高スループットと高画質を両立したMRIで地域に質の高い医療を提供
医療法人財団石心会 さやま総合クリニック
医療法人財団石心会 さやま総合クリニックは2009年6月,さらなる高度な診療の提供をめざしてシーメンス社の1.5T MRI「MAGNETOM ESSENZA」を導入した。同クリニックは,シーメンス社の128スライスMSCT「SOMATOM Definition AS+」のアジア・オセアニア地域の第一号機を導入したほか,数々の高度な画像診断装置を有し,23の診療科を標榜して,大学病院に匹敵する専門外来診療を提供している。加えて,検査スループットに優れたMAGNETOM ESSENZAを導入したことで,関連病院である狭山病院などにもさまざまな恩恵をもたらしている。同クリニックにおける,MAGNETOM ESSENZA導入のねらいと現状を報告する。
![]() 持田和夫 統括事務部長 |
![]() 田中利明 事務長 |
![]() 斎藤拓郎 医師 |
![]() 間山金太郎 室長 |
![]() 上野浩輝 技師 |
狭山市最大のクリニックとして高度な専門医療を提供

さやま総合クリニックは2003年3月,医療法人財団石心会 狭山病院の機能分化を目的に,同院の外来部門を独立させて開設された。運営母体である石心会グループは,1973年に設立以来,地域に根差した高度な医療および福祉サービスの提供に努め,川崎地区と狭山地区に病院,クリニック,老人保健センター,特別養護老人ホームなどを展開。川崎地区では主に循環器・脳神経・消化器に特化した診療を,狭山地区では地域中核病院として幅広く,かつ高度な医療の提供を行っている。
狭山地区においては,狭山市で最大の349床,診療科目23科を標榜する狭山病院が,人口160万人を擁する医療圏の急性期医療と救急医療の中心を担っており,救急搬送は年間6000件に上る。一方,
1日に1200人以上が受診する同クリニックでは,128スライスMSCT「SOMATOM Definition AS+」や1.5T MRI「MAGNETOM ESSENZA」などの高度な医療機器を配備し,早期診断と高度な専門診療を担うとともに,2009年4月には建物内4階に健診センターを開設し,予防医療にも力を注いでいる。
また同時に,地域医療連携にも積極的に取り組んでいる。2004年に埼玉県から地域医療支援病院に承認された狭山病院には
地域医療連携室が設けられ,同クリニックと狭山病院への紹介患者の振り分けを行っている。一方,慢性疾患の患者さんについては,地域の412名の登録医に逆紹介を行い,患者さんにとって真に必要な医療の提供に努めている。
検査待ち期間の短縮をめざしMAGNETOM ESSENZAを導入

高度な専門診療を柱とする同クリニックであるが,開設時にはMRIが導入されていなかった。その理由について,医療法人石心会狭山地区事業所の持田和夫統括事務部長は,「クリニックではMSCTや内視鏡による早期診断を中心に行っていました。病院にシーメンス社1.5T MRIの最上位機種であるMAGNETOM Avantoが導入されていましたので,役割分担という経営的な判断もありました」と説明する。そのため,MRI撮像が必要な症例については,狭山病院に検査を依頼して対応していた。
しかし,狭山病院では,MRIの撮像件数が年々増加し,MRIが1台にもかかわらず,月の撮像件数は平均600〜700件,多いときには800件以上にも上っていた。しかも,同クリニックからの検査依頼が,このうちの約300件を占めていたという。放射線室の間山金太郎室長は,このときの状況について,「1日の撮像件数を限定せずに,できるだけ多くの予約を受け入れ,さらに予約の合間には救急の検査も行って,平日の早朝から夜間まで,さらには土日にも撮像を行い,それでも検査待ちが3週間に及んでいました」と述べている。
このような状況が限界に達した2008年春,同クリニックへのMRIの導入が決定された。
MRIの選定は,放射線科部長の斎藤拓郎医師が中心となり,MAGNETOM Avantoと遜色のない高画質であること,ルーチンで使いやすく検査効率に優れていること,経済性の高い装置であること,という大きく3点が条件となった。また,持田統括事務部長は,「新しいMRI室は設置面積がやや狭く,加えて,搬入時には建物の外壁と正面玄関の回転ドアを壊さずに搬入できるサイズであること,という難しい条件も重なりました」と述べている。
これらを踏まえて各社の装置を比較した結果,最終的に,すべての条件をクリアしたMAGNETOM ESSENZAが選定された。
フレキシビリティに優れた究極のルーチン検査を実現
MAGNETOM ESSENZAは,ランニングコストを徹底的に抑えつつも,ハイクオリティであることをコンセプトに開発された。1.5T MRIの最上位機種であるMAGNETOM Avantoに匹敵する高機能を有しながら,日常の検査で威力を発揮する設計になっている。コイルとRFチャンネルの組み合わせにより,広範囲から部位別の撮像までが簡単に行えるTimコイルに加え,ガントリ内に配置された9つのコイルエレメントからなるアイソセンターマトリクスコイルによって,常に磁場中心での撮像が可能となるなど,フレキシビリティに優れている。また,コンソールには部位別のプロトコールが設定されているため,撮りたい部位を設定してボタンを押すだけで寝台が自動的に移動し,簡単に撮像することができる。さらに,ガントリ長は145cmと非常にコンパクトであり,最新のゼロ・ボイルオフ・マグネットが採用されているなど,経済性にも優れた,まさに“究極のルーチンMRI”である。
同クリニックでは,約1週間のトレーニングと画質の調整期間を経て,6月1日からMAGNETOM ESSENZAでの撮像を開始した。狭山病院のMAGNETOM Avantoでは主に疾患の精査と救急の検査,特殊検査,紹介患者の撮像を行い,MAGNETOM ESSENZAではルーチンの撮像と健診の脳ドックの検査を行っている。MAGNETOM ESSENZAの操作性について,放射線室の上野浩輝技師は,「検査スループットが非常に良く,コイルの選択も簡単です。コンソールの操作性もMAGNETOM Avantoとほとんど同じですので,すぐに通常通りの検査が行えました。また導入時に,パラメータをMAGNETOM Avantoの画質に合わせて設定してもらいましたので,稼働当初から,ほぼ同様のコントラストが得られています」と述べている。
MAGNETOM ESSENZAは汎用機でありながら,シーメンスのパラレルイメージングsyngo GRAPPA,三次元撮像法のsyngo SPACE,動きのアーチファクト抑制機能syngo BLADEなどの高機能も搭載されており,必要な検査は十分に行えているという。また,ガントリ長が短いことから,同院で検査数の多い腰椎や骨盤腔などの検査の際には,患者さんの頭がガントリの外に出るため,閉所恐怖症の患者さんでも,スムーズに検査が行えるケースが増加した。患者さんへのやさしさはもちろん,検査効率の向上にも大きく寄与している。
MAGNETOM Avantoと遜色ない高画質を評価
一方,実際の画質について,斎藤医師は,「MAGNETOM ESSENZAでは,磁場均一性に優れた脂肪抑制画像が得られており,MAGNETOM Avantoと比較しても遜色なく診断できています。また,syngo BLADEによって,小児や高齢者といった体動が抑制できない患者さんでも,以前より高画質が得られるようになりました」と高く評価している。
同クリニックではいまのところ,頭頸部領域と整形領域の撮像が約8割を占めている。頭頸部領域では,出血を疑う症例や外傷以外は基本的にMRIがファーストチョイスとなり,症例は脳梗塞や脳動脈瘤,一過性脳虚血発作(TIA)などが多い。MAGNETOM Avanto1台体制では,アキシャルのT2強調像,T2 FLAIR,T1強調像,拡散強調画像(DWI)を基本としていたが,MAGNETOM ESSENZAは検査スループットが高いため,同じ撮像時間でT2*強調像のほか,必要に応じてSWIまで追加できるようになった。また,整形領域では,腰椎椎間板ヘルニアや脊柱管狭窄症,半月板損傷,靭帯損傷などの撮像が多く行われている。腰椎では,T2強調像,T1強調像が2方向ずつに加えて,MRミエログラフィが追加された。このほか,腹部領域では,胆石の術前MRCP,T2強調像,T1強調像,DWIに加えて,3DのT1強調ダイナミックMRIであるsyngo VIBEを撮像している。息止め下約20秒で三次元画像が得られ,病変部の細かい部分まで容易に観察できるため,有用性が高いという。
さらに,上野技師は,MAGNETOM ESSENZAだけにオプションで搭載可能な“Focus Shoulder Array coil”について,次のように評価している。
「Focus Shoulder Array coilは,コイルの中に設置したシムコイルに合わせてシミングをかけられますので,磁場中心にポジショニングすることが困難な肩の撮像でも,磁場均一性の高いきわめて明瞭な画像が得られます。ルーチン検査時間の中で,これほど高精細な画像を得られたのは初めてです」
検査効率の向上により地域医療にも大きく貢献
MAGNETOM ESSENZAの導入によってもたらされたメリットは,同クリニック内だけにとどまらない。
現在,同クリニックでは1日に12〜13件,1か月に約300件の撮像が行われており,結果として,狭山病院のMAGNETOM Avantoの検査数が適正な約400件に抑えられるようになった。このため,検査待ちが3週間から2〜3日程度にまで短縮したほか,土日は予約を入れずにすむようになり,斎藤医師は,「MAGNETOM Avantoで追加の検査がすぐに入れられるようになり,より質の高い画像診断が可能になりました」と述べている。上野技師も,「以前は病院で救急の検査を入れたくても対応できず,1時間待ちということもありましたが,すぐに対応できるようになったことは,とても大きなメリットです」と強調する。また,待ち時間が短縮した結果,地域の連携医からの紹介が,月間約40件から90件にまで倍増した。さらに,同クリニックの田中利明事務長も,「病院でMRI検査を行うための患者さんの送迎が不要になりました。これは職員の負担軽減と同時に,患者さんの利便性の向上につながっています」と述べている。
このように,MAGNETOM ESSENZAは,石心会グループ全体の医療の質の向上に貢献しており,ひいては地域医療にも大きな恩恵をもたらしていると言える。斎藤医師は今後,MAGNETOM Avantoも含めたMAGNETOM Familyを活用し,乳腺や心臓の撮像にも挑戦したいと考えており,その能力を最大限に引き出すための取り組みは,今後も続けられていく。
(2009年8月20日取材)

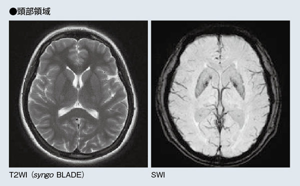
体動のある症例でも,syngo BLADEを用いることにより,ルーチン検査として十分な検査が行える。
ルーチン検査には用いていないが,syngo SWIにおいても静脈の描出は良好である。

Focus Shoulder Array coilにより,関心領域が磁場中心になくても良好なSNRが得られている。

腹部領域においては,呼吸をはじめとした体動の補正に優れているため,ルーチン検査でsyngo BLADEを用いている。
MRCPも,MAGNETOM Avantoと同等の画質が得られている。


医療法人財団石心会 さやま総合クリニック
〒350-1305 埼玉県狭山市入間川4-15-25
TEL 04-2900-2700
FAX 04-2900-2626
http://www.sayamahp.jp/clinic/index.php