ホーム
inNavi Suite
シーメンス・ジャパン
別冊付録
The 1st Definition Symposium Report
Special Report−Initial Experience of Definition Flash
![]()
Special Report−Initial Experience of Definition Flash
SOMATOM Definition Flash 国内第1号機の初期使用経験

当院は2009年7月,128スライスのDual Source CT「SOMATOM Definition Flash」(以下,Definition Flash)の国内第1号機を導入した。循環器専門病院のため,稼働から約3週間ですでに,小児16例を含む計102例の心臓検査を施行した。Definition Flashは成人ばかりでなく,小児に対しても非常に有用であり,小児患者が多い当院にとって最適な選択と考える。
本講演では,Definition Flashの初期使用経験を報告する。
住吉徹哉*1 高田香織*2 堀江賢二*2
丹羽辰徳*2 島袋 謙*2 島田征彦*2
水谷良行*2
*1 榊原記念病院循環器内科
*2 榊原記念病院放射線科
Definition Flash国内第1号機を導入−16スライスCTから128スライスDSCTへ
当院は,2003年12月に東京都府中市に移転した。2008年度の治療実績では,1244例行われた開心術のうち,小児が413例であり,小児患者が多いことが特徴の1つである。
Definition Flashの導入以前は16スライスCTを使用していたが,64スライスCTと比べるとやはり画質が劣るため,冠動脈CTに対するニーズが年々増加する一方,検査件数は頭打ちの状態となっていた。さらに,16スライスCTは,(1) 患者へのβブロッカーの投与が必須(服用前後でバイタルチェックを施行),(2) 20秒間の息止めが必要,(3) 心房細動・期外収縮頻発・頻脈患者は検査できない,(4) 煩雑な画像再構成処理が必要,(5) 推定20mSv以上の被ばく線量,(6) 冠動脈CT撮影加算の算定ができない,といったさまざまな問題があった。
こうした問題を解決すべく,Definition Flashの導入が決定された。
High Speed,Lowest Dose,Dual Energy
Definition Flashのキーワードは,“High Speed”,“Lowest Dose”,“Dual Energy”である。時間分解能75ms,46cm/sの撮影スピード,2つの管球と2つの128スライス検出器による同時撮影とデータ収集を実現したほか,FoVは,従来のDSCTよりもさらに拡大して330mmとなった。
今回は,“Dual Energy”についての使用経験が少ないため, “High Speed”と“Lowest Dose”に関する評価を報告する。
冠動脈CTのスキャンモード
Definition Flashには,Flash Cardio Spiral Mode,Flash Cardio Sequence Mode,Normal Spiral Modeの3つの冠動脈CTスキャンモード(図1)がある。
中でも,Definition Flashの一番の特徴が,Flash Cardio Spiral Modeである(図2)。2対のX線管球と検出器が,2つのラセン軌道を描きながら同時にデータを収集することで,より幅広い撮影範囲を1つのボリュームデータとして瞬時に収集する。心臓全体の画像を1つの心位相(1心拍)で,0.25〜0.29秒で撮影することができる。このスキャンモードでは,被ばく線量が1mSv前後の,きわめて低被ばくに抑えることができる。
Flash Cardio Sequence Modeにおいても,一般的なStep & Shoot方式よりも低い,約1〜5mSvでの撮影が可能である。また,Normal Spiral Modeは高心拍・不整脈・Af(心房細動)にも対応可能である。

図1 冠動脈CTのスキャンモード

図2 Flash Cardio Spiral Mode
Definition Flashの初期使用経験
●Flash Cardio Spiral Modeの症例提示
図3は,胸痛の精査で来院した器質的狭窄のない心拍数47bpmの症例で,スキャンタイム0.29秒,被ばく線量は0.97mSvであった。冠動脈が十分評価できており,胸痛のスクリーニングとしても有用と思われる。

図3 68歳,男性,胸痛精査
図4は,ステント留置のフォローアップで,スキャンタイム0.3秒,被ばく線量は1mSvであった。かなり強い石灰化がある症例であったが,ステント内腔が明瞭に描出できている。

図4 74歳,男性,ステント留置フォローアップ
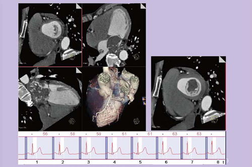
図5は,冠動脈バイパス術(CABG)で,グラフトを4本使用している症例のフォローアップであるが,アーチファクトもなく,十分評価可能な画像が得られている。

図5 78歳,男性,CABGフォローアップ
●Normal Spiral Modeの症例提示
Normal Spiral Modeでは,16スライスCTでは諦めていた心房細動の症例にも対応できるようになった。
図6は,超音波検査で左房粘液腫が疑われた症例で,緊急手術となったため,外科からの依頼で術前に冠動脈評価を行った。粘液腫が嵌頓しそうになっており,周辺にもかなり侵襲していることがわかる。血管成分も多く,悪性が強く疑われた。動画もスムーズに観察することが可能であり,形態から血管成分も含めた腫瘍の性状まで評価できるため,CTのみで外科医に対して十分に有用な情報を提供できる。

図6 47歳,男性,心臓腫瘍
●心電非同期撮影の症例提示
図7は,2歳,男児,巨大側副血行路(MAPCA)の症例である。鎮静剤および息止めなしの心電非同期で,スキャンタイム0.27秒,被ばく線量1.17mSvで撮影可能であった。小児の場合,従来の16スライスCTでは,医師数人がかりで患者を鎮静させ,呼吸状態に注意を払いながら検査を行う必要があり,検査時間も長くて大変であった。しかし,Definition Flashでは,軽い鎮静のみで息止めが不要になり,検査の省力化と効率化につながっている。

図7 2歳,男児,MAPCA(鎮静剤・息止めなし)
図8は,4歳,男児,心室中隔欠損・肺動脈閉鎖症の術後症例である。鎮静を軽くかけ,息止めなしで撮影し,スキャンタイム0.42秒,被ばく線量1.33mSvであった。小児外科からの要望であった冠動脈も,おおむね描出できている。

図8 4歳,男児,心室中隔欠損・肺動脈閉鎖症術後
図9は,以前にCABGを施行している胸部大動脈瘤(TAA)の術前症例である。スキャンタイム1.53秒で,広範囲の画像を取得することができ,手術に必要な情報を提供することが可能であった。

図9 65歳,女性,TAA術前
まとめ
Definition Flashの導入から3週間程度で102例の心臓CT検査を施行し,驚異的な低被ばくを実現した。低被ばくかつ超短時間撮影で明瞭な画像が得られるDefinition Flashは,小児,心房細動,バイパスなどの症例にも適応が可能であり,循環器の診断や治療戦略に大きな変革をもたらす可能性を含んでいる。