ホーム
inNavi Suite
シーメンス・ジャパン
別冊付録
The 2nd Definition Symposium Report
心臓I SOMATOM Definition Flashの臨床応用
![]()
Session T Cardiac Imaging
心臓T SOMATOM Definition Flashの臨床応用

済生会松山病院では,2008年1月に「SOMATOM Definition(以下,Definition)」を導入し,2009年12月に「SOMATOM Definition Flash(以下,Definition Flash)」にバージョンアップした。本講演では,Definition Flashの心臓イメージングの撮影方法について概説し,当院での臨床画像とIRIS(Iterative Reconstruction in Image Space)を用いたノイズ低減,Dual Energy Imaging(以下,DEイメージング)を用いた石灰化除去の試み,CTによる治療効果判定の取り組みなどについて紹介する。
■Definition Flashによる心臓撮影のメカニズムとスキャンモード
Definition Flashは,2つの管球と128スライスの検出器を搭載し,ガントリ回転速度0.28s,時間分解能75msと,Definitionに比べて大きく性能が向上している。
心臓CTにおいて,時間分解能は重要な要素となる。従来のSingle Source CTの時間分解能は150〜200msで,心拍数が70bpmを超えると画像化が難しかった。Definition Flashでは,75msの時間分解能で検査が可能なため,70bpm以上でも十分に評価が可能な画像が得られるようになった。
さらに,2つの検出器で異なる軌道データを収集・統合するHigh Pitch Double Spiral Scan(高速二重螺旋スキャン)によって,広範囲の高速,低被ばくでの撮影が可能になった(図1)。高心拍や不整脈,心房細動がある場合でも,ほとんどの症例でβブロッカーを使用しない検査が可能になっている。

図1 High Pitch Double Spiral Scan
Definition Flashの冠動脈撮影では,(1)Flash Spiral Cardio(以下,Flash Spiral),(2)Adaptive Cardio Sequence(以下,Sequence),(3)Normal Spiral(以下,Normal)の3つのモードで撮影できる(図2)。Flash Spiralでは,1心拍の拡張期に合わせて心臓全体を約0.25s,1mSv以下の低被ばくの検査が行える。これは,High Pitch Double Spiral Scanでの460mm/sの撮影速度で実現されたもので,全肺0.6s(息止め不要),小児は鎮静不要,全身4sの高速撮影が可能になった(図3)。
![]() 図2 冠動脈CTの3つのスキャンモード |
![]() 図3 Flash Spiralによる超高速撮影 |
当院では,心拍数が65bpm以下はFlash Spiralで,65〜80bpmの間はSequenceで,それ以上であればNormalモードで撮影している。βブロッカーは,PVC(心室性期外収縮)が見られたり,120bpm以上の高心拍の場合には使用するが,基本的には使わない方針で,心拍数によって撮影モードを使い分けるようにしている。Definition Flash導入後の撮影モードの内訳は,Normal 414例,Sequence 120例,Flash Spiral 61例となっている(2010年7月現在)。
当院では,Definition Flashを用いた動脈硬化・心臓ドック,メタボ・ドックを開始した。これまで86人の受診者に対して検査を行い,動脈硬化・心臓ドックでPCI 1例,CABG 2例,肺がん手術2例,メタボ・ドックでPCI 1例の治療につながっている。この驚くべき結果は,通常の人間ドックに比べて,ハイリスクの受診者が多いためと思われるが,DSCTによる検査の有効性を実感した。
■Definition Flashによる症例提示
● 症例1:心房中隔欠損の術前評価
非常に大きな心房中隔欠損による心不全症例の術前検査として,経食道エコーとの比較を目的に心臓CTを撮影した(図4)。非常に鮮明な画像が得られ,かつVR像は360度回転して見ることができるため,心臓外科医から高く評価された。

図4 症例1:心房中隔欠損の術前評価
● 症例2:弁置換術後の評価
図5は弁置換術後のDefinition Flashによる心臓CT画像である。再手術を行った症例だが,弁の動きや角度,周囲の動脈硬化の程度などを判定するのにCTが非常に有効だった。Definition Flashの4Dシネ画像で弁の部分のみを取り出し,拡張期と収縮期で動きを観察することで,血栓の付着の状況などの判断が可能になる。

図5 症例2:弁置換術後の評価
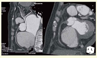
● 症例3:心拍数110,心房細動の評価
急性心筋梗塞で来院した際にカテーテル室が使用中だったため,待ち時間にDSCTを撮影した。心拍数80〜110bpm,心房細動ありの悪条件だったが,βブロッカーを使用せずに画像が得られた(図6)。左冠動脈にプラークはあるが正常で,右冠動脈は入口部から閉塞している。血管造影では冠動脈に異常は見られず,スパズムが関与した心筋梗塞だったことがわかった症例である。

図6 症例3:高心拍・心房細動の急性心筋梗塞例
● 症例4:ステントの内腔評価
CTOに対してPCIを行ったが,最初にガイドワイヤーが新生内膜に入り偽腔を作り,その後に真腔に通し直してステントを留置した。8か月後のフォローアップのCTで,血管内の血流が2つに分かれていることが確認され,OCTを施行したところ二腔構造となっていた(図7)。ステント内腔の評価は,石灰化が少なければ,2.5mm程度でも内膜の確認が可能と考えられる。

図7 症例4:CTOのPCI後の血管内腔評価
● 症例5:IRISによる石灰化除去
逐次近似法を用いた画像再構成法であるIRISによるノイズ低減と,DEイメージングを用いた石灰化除去を試みた(図8)。トライアル段階だが,従来のバックプロジェクション(FBP)法に比べて,血管壁がスムーズに描出されている。

図8 症例5:IRISによるノイズ低減と石灰化除去の試み
● 症例6:冠動脈治療効果判定
Definition Flashによる心臓CTで期待されるのは,冠動脈疾患に対する治療効果の評価である。プラークの脆弱性をCTで判定し,治療効果の指標に使うことができれば,薬物療法の治療効果をCTでモニタして,外来での管理が可能になる。最初の段階として,PCIの際にDefinition Flashの画像とIVUSなど他のモダリティとの比較検討を行い,CT画像の有用性を検証している。図9は,留置されたステントの先に新たな狭窄(→)が認められた症例で,ステント内再狭窄は認められなかった。ストロングスタチンで治療を行ったにもかかわらず,病変が進行した。狭窄度は75%程度だったがCT値が低く,PCIが施行された。

図9 症例6:冠動脈治療効果判定
■まとめ
当院は,救急医療を担う病院として多くの患者の検査を行っているため,心臓に特化した撮影を行う余裕はないが,検査を担当する診療放射線技師の協力を得て月間90〜100件,1日5〜10件以上の心臓CTを行っている。今後も,日常臨床におけるDefinition Flashの可能性を追究していきたいと考えている。