ホーム
inNavi Suite
シーメンス・ジャパン
別冊付録
The 2nd Definition Symposium Report
General Dual Energy CT
![]()
Session U Dual Energy Imaging
General Dual Energy CT

Dual Source CT「SOMATOM Definition」(以下,DSCT)では高速な心臓CTの場合,2つの管球の管電圧を同じ120kVに設定して撮影する。一方,Dual Energy Imaging(以下,DEイメージング)の場合,1つの管球を140kV,もう1つを80kVに設定して,
2つの管電圧の画像を撮影し,同時に得られたデータを解析してさまざまな画像を作成する。本講演では,DEイメージングの基礎と解析方法,そして,その応用について解説する。
■DEイメージングの基礎
X線が物質を通過するときには,光電吸収(原子にX線が吸収される現象)と,コンプトン散乱(X線が原子中の電子により散乱される現象)による吸収が起こる。照射するX線のエネルギーと原子番号の間には相関関係があり,管電圧(実効エネルギー)を変化させると,物質は固有のCT値の変化を示す。光電効果は,X線のエネルギーが大きくなると減少し,物質の原子番号が大きくなると増加するという相関があり,ヨードなど原子番号が大きな物質ほど変化が大きい。DEイメージングは上記の理論に基づき,2つの異なる管電圧の画像を撮影し,CT値の変化を解析することで,物質の組織組成を判定していく。
■DEイメージングの解析方法:利用するアプリケーション
DEイメージングの解析アプリケーションは,大きく3つに分けることができる。
1つ目は,物質の分離を行う“Two- material decomposition”で,bone removal CTA(骨と造影剤の分離)やhard plaque(骨,石灰化プラークと造影剤の識別)に分類される。2つ目は,物質の定量を行う“Three-material decomposition”で,組織の中に造影剤がどのくらい含まれているかを定量するLiverVNC(肝の濃染評価),LungPBV(肺血管床の濃染評価),HeartPBV(心筋の濃染評価)が挙げられる。3つ目は,合成画像で,composite image(低電圧と高電圧画像の合成),monoenergetic image(仮想単色エネルギー画像),optimum contrast(最適コントラスト合成画像)に分類される。
●Two-material decomposition
1)Bone removal CTA
DEイメージングで,造影剤(ヨード)と骨のCT値の間にラインを引いて分離するTwo-material decomposition(図1)では,骨のCT値を-1000にして取り除いてMIPを作成する“bone removal MIP”が得られる。血管周囲の石灰化(hard plaque)を残した画像や,骨と石灰化プラークを取り除いたDSAのような画像も作成できる(図2)。石灰化プラークを取り除けることが最大の特長であり,血管の狭窄の判定が容易に行えるようになる。
![]() 図1 Two-material decompositionの原理 |
![]() 図2 bone removal CTA |
2)Hard plaque
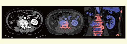
石灰化を赤色,造影剤を青色に分類すると,造影された血管と石灰化プラークが明瞭に識別できる。腹部領域に応用すると,肝細胞がんの骨転移例では,濃染する腫瘍と骨が視覚的にわかりやすく表示され,識別可能となる(図3)。

図3 肝細胞がんのhard plaque画像
● Three-material decomposition
1)LiverVNC(virtual non-contrast)
Three-material decompositionは,組織中の脂肪と軟部組織と造影剤の3つの異なる組成のCT値を識別し,ヨード造影剤量を測定することができる。肝臓の造影後の画像(図4)における●印のポイントを造影剤の濃度曲線に沿って移動させていくと,脂肪と軟部組織の交点と重なるところが肝実質のCT値となる(図4)。すなわち,造影後の画像から,造影剤を取り除いた仮想化した単純CT像(VNC)と,ヨード造影剤分布画像(ヨードマップ)が作成できる。LiverVNCは,単純CTを省略できる可能性が示唆されており,今後の検討が待たれる。

図4 Three-material decompositionの原理とLiverVNC,ヨードマップ
2)LungPBV(perfused blood volume)
肺野領域においても,各ボクセルの造影剤量が灌流血液量(blood volume)に相当するため,造影剤濃度から肺灌流血液量マップ(perfused blood volume map)が作成できる。肺塞栓症などの評価に有用であり,肺シンチグラムの代替検査としての可能性も示唆されている(図5)。

図5 肺塞栓症のLungPBV
● 合成画像
1)Composite image
80kVと140kVの画像からさまざまなcomposite imageが作成できるが,Definitionの場合は80kVを30%,140kVを70%の割合で,通常の120kVに近似した画像を作成する(図6)。SOMATOM Definition Flash(以下,Definition Flash)では,フォトンシールドをかけることによって実効エネルギーが上がるため,それぞれ50%程度に変更して120kV相当の画像を作成している。肝細胞がんのcomposite imageにおけるCNRは80kVの低管電圧の方が高く,造影剤の濃染コントラストが良くなるため,低管電圧の割合を増加させることで,腫瘍の検出率が向上する。

図6 肝細胞がんのcomposite image
2)Monoenergetic image
monoenergetic image(仮想単色エネルギー画像)は,実効エネルギー換算が可能な画像再構成である(図7)。monoenergetic imageでは実効エネルギーをそろえることができるので,異なる装置間(またはDSCT同士でも)でのCT画像の比較が可能になる。

図7 monoenergetic image
3)Optimum contrast
optimum contrastは,低管電圧をより有効に利用する手法である。ノイズの少ないきれいな画像で腫瘍濃染を検出するためのnon-linear blending(CT値に合わせて80kVと140kVの合成比率を自由に変更する)手法である(図8)。大動脈ステントグラフト術後のエンドリークの検出にも有用である。

図8 optimum contrastの原理
■Flash Spiral & Dual Energy
2010年1月,奈良県立医科大学病院にDefinition Flashが導入された。われわれは,閉塞性動脈硬化症(ASO)に対するスクリーニングでは上行大動脈や冠動脈の評価も行うようにしているが,Flash SpiralとDual Energyの使い分けを検討中である。現状では,胸部領域から腎動脈レベルにかけてはFlash Spiralを用い,腎動脈以下からはDual Energyを使って評価するようにしている。それによって,石灰化の強い症例でも評価が可能になっている(図9)。

図9 Flash SpiralとDual Energyの使い分け
■まとめ
DSCTによるDEイメージングのメリットは,bone removal CTA等種々のアプリケーションや解析処理が日常臨床で利用できることに加えて,診断目的に適した再構成画像が取得できるようになったことである。また,低管電圧CTを適切に利用できるようになったことも挙げられる。