ホーム
inNavi Suite
シーメンス・ジャパン
別冊付録
The 2nd Definition Symposium Report
肺 肺領域におけるDual Energy Imaging−肺血栓塞栓症を中心に−
![]()
Session U Dual Energy Imaging
肺 肺領域におけるDual Energy Imaging−肺血栓塞栓症を中心に−

肺におけるDual Energy Imaging(以下,DEイメージング)の臨床応用には,肺灌流画像(Lung Perfused Blood Volume:LungPBV),仮想非造影CTおよび造影剤抽出像,Ventilation Imagingがある。LungPBVは,肺胞レベルのヨード造影剤分布を画像化するもので,適応としては肺血栓塞栓症,肺気腫,血管炎などがある。本講演では,肺血栓塞栓症の臨床応用について,急性と慢性に分けて述べる。
■肺血栓塞栓症におけるDEイメージング
肺野領域におけるDEイメージングは,ヨード,空気,軟部組織の3点を基準としたThree-material decompositionで行う。ヨード造影剤のCT値から肺野内のヨード分布を表示する画像を作成し,CT angiography(CTA)の元画像と重ね合わせて評価する。DEイメージングでは,80kVと140kVの合成画像(アキシャル,コロナル,CTA)で血栓を評価し,上記のフュージョンイメージ,LungPBV像などで血流を確認し,CT venographyで静脈血栓の診断を行う(図1)。

図1 DEイメージングによる肺血栓塞栓症の評価
■急性肺血栓塞栓症におけるCT画像診断の役割
急性肺血栓塞栓症におけるCTの役割は,急性期診断,重症度診断,治療効果判定,他の疾患との鑑別の4つに分けられる。
● 急性期診断
日本循環器学会の『肺血栓塞栓症および深部静脈血栓症の診断,治療,予防に関するガイドライン(2009年)』の診断手順では,臨床的に肺血栓塞栓症の可能性が高い場合には,直ちに造影CT,肺動脈造影あるいは肺血流シンチグラフィを行うことが勧められている。一方,疑いが低い場合にはDダイマーで評価し,値が高い場合に画像診断が必要だとしている。
肺血栓塞栓症の画像診断では,現在CTが中心になりつつあり,CTPAでは肺動脈主幹部から区域枝レベルの血栓が明瞭に描出できる。PIOPEDUの報告でも,CTPAの診断能は感度83%であり,さらにCT venographyを併用した場合には感度90%,特異度96%と,良好な成績が示されている。
一方で,CTPAでは末梢の亜区域枝以下の塞栓の評価は判断が難しいことがあるが,LungPBVは塞栓部分に肺血流シンチグラフィと一致するような欠損像を示し,併用することで診断能の向上に貢献すると考えられる(図2)。

図2 LungPBVを用いた急性肺血栓塞栓症の診断
Thiemeらは2008年にEJR誌で,肺血流シンチグラムをゴールドスタンダードとして,LungPBVの良好な診断能を報告している。しかしながら,LungPBVでは,肺動脈内に血栓があっても完全閉塞でない場合や(図3),完全閉塞例でも気管支動脈などの側副血行路が発達している場合には欠損として描出されないことも少なからずあり,読影の際には注意が必要である。
われわれは,肺血栓塞栓が疑われた113例(血栓あり33例,血栓なし80例)について,LungPBVのアプリケーションによって求められるCT値を検討したところ,血栓あり群と血栓なし群で有意差を認めた。したがって,LungPBVは肺の血流量をある程度は反映していると考えられるが,肺血栓塞栓症の初期診断における有用性については今後,さらに検討を行っていく必要がある。
![]() |
![]() |
| 図3 両下葉の肺血栓塞栓症のCTPAとLungPBV CTPA(左)で両下葉に血栓が認められるが,LungPBV(右)では右下葉には欠損が描出されていない。 |
|
● 重症度診断
急性肺血栓塞栓症の臨床重症度分類は,ガイドラインでは重症度の高い方からCardiac arrest/Collapse,Massive,Submassive,Non-massiveの4つに分けられているが,この重症度とLungPBVのCT値についても検討した。図4は,両側の左右肺動脈の肺門部レベルに大きな血栓がある症例のLungPBVだが,MassiveタイプではCT値16HU,Non-massiveタイプは30HUとなっている。肺血栓塞栓症34症例で,重症(Cardiac arrest/Collapse+Massive),中等度(Submassive),軽症(Non-massive)の3つの群に分けて評価を行ったところ,統計学的には軽症群と他の2群では有意な差が認められたが,中等度と重症では有意差が見られなかった。

図4 LungPBVと重症度との関係
● 治療効果判定
急性肺血栓塞栓症に対して,血栓溶解療法を施行し,その治療効果を前後のLungPBVによるCT値の計測を行って評価した。図5のように,両下肺野では発症時のLungPBVは,24HU,28HUから38HUに改善している一方で,上肺野は41HUから38HU,34HUに若干低下している。おそらく,発症時には上肺野で代償性過灌流が起こっていたのではないかと推察される。

図5 血栓溶解療法前後のLungPBVのCT値の変化
● 他の疾患との鑑別
肝臓に多数の転移巣があり,下大動脈内にも腫瘍塞栓を来している子宮がん肝転移の症例で,発熱に伴いCTを撮影したが,両下葉主体に胸膜に沿って陰影が見られた。腫瘍塞栓が疑われるが肺炎との鑑別が難しく,LungPBVを行ったところ(図6),陰影周囲にくさび状の欠損像が見られ,腫瘍塞栓と診断できた。

図6 子宮がん,肝転移症例のLungPBV
LungPBVのくさび形の欠損像から腫瘍塞栓と診断された。
■慢性肺血栓塞栓症のDEイメージング
慢性肺血栓塞栓症は,器質化血栓によって肺動脈が慢性閉塞して発症するが,6か月以上にわたり肺血流分布ならびに肺循環動態の異常が大きく変化しないことが条件となる。成因としては,急性例からの移行が考えられるが,実際には急性血栓塞栓症の既往がある症例は30%程度で,その他のさまざまな原因が推察される。また,慢性血栓塞栓症によって肺高血圧を来し,労作時息切れなどの症状を呈すると,慢性血栓塞栓症性肺高血圧症(CTEPH)と呼ばれる。さらに,acute on chronicと呼ばれる,慢性肺血栓塞栓症を背景とした急性の血栓症にも注意が必要である。
慢性肺血栓塞栓症のCT診断のポイントは,右室拡大や左室圧排,中枢肺動脈拡大,末梢肺動脈狭小化,特にacute on chronicでの肺動脈内血栓などに注意が必要である。また,単純CTでは,mosaic perfusionと言われる不均一な肺濃度低下が見られ,肺動脈血流低下と関連していると思われる。
慢性血栓塞栓症では,CTAで血栓が描出されない症例においても,LungPBVにおいて血流低下域が多発欠損像として描出される場合があり,本症の診断の補助になると考えられ,また,慢性例のacute on chronicと急性例の鑑別の一助にもなると思われる。
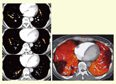
図7は慢性肺血栓塞栓症で,通常のCTでは血栓は描出されていないが,LungPBVでは,肺血流シンチグラフィと同じように多発する末梢の血流低下が見られる。

図7 慢性肺血栓塞栓症のLungPBV
■まとめ
肺血栓塞栓症のDEイメージングは,初期診断,重症度判定,治療効果判定で有効であり,肺動脈血栓塞栓症におけるone stop shopとしての役割が期待されるが,そのためには撮影法,造影法,LungPBVの表示法・定量化・評価法などを研究し,確立していくことが必要である。