ホーム
inNavi Suite
シーメンス・ジャパン
別冊付録
The 2nd Definition Symposium Report
腹部 肝画像診断におけるDual Energy Imagingの意義
![]()
Session U Dual Energy Imaging
腹部 肝画像診断におけるDual Energy Imagingの意義

2009年のECR(欧州放射線学会)でのSOMATOM Definition Flash(以下,Definition Flash)との衝撃の出会いから1年, 2010年3月,当院にDefinition Flashが導入された。当院のCT装置4台(Definition Flashのほか,64列MDCT 2台,救急部の16列MDCT 1台)で2010年6月の1か月間に計2548件の検査を行い,そのうちDefinition Flashは661件と,ほぼ主力の装置として使われている。また,当院のCTによる肝臓精査は6月が220件,うちルーチンでDual Energy Imaging(以下,DEイメージング)を行うDefinition Flashでの検査は76件と,肝臓においても主力の装置となっている。Definition FlashではB管球のFoVがDefinition の26cmから33cmに増大し,腹部全体をカバーできるようになったことから,今後,肝臓への応用が進むものと思われる(図1)。
本講演では,肝画像診断におけるDEイメージングの意義について,臨床画像を中心に解説する。

図1 DefinitionとDefinition FlashのFoVの違い
■被ばく量低減
CTを用いた肝臓領域の血流動態解析手法には,多相造影CT,CT perfusion,シネCTHAなどがあるが,いずれも複数回のスキャンを行うため被ばく量が多くなる。したがって,CTを用いた肝血流動態解析には,低被ばくのCTが望まれている。既存の従来機種とDefinition FlashのDEイメージングで撮影した同一患者・同一プロトコールの画像を比較すると,従来機種のDLPは7600 mGy・cm,Definition FlashのDLPは3600 mGy・cmと,明らかにDefinition Flashの方が少なくなっていることが認められる。
図2はAP shuntの症例だが,被ばく量が減少しても病変はしっかり描出されている。また,結腸がん肝転移の症例では,少ない被ばく量にもかかわらず,小さな肝転移の描出能は従来機種と同等であることが認められる(図3)。
![]() 図2 AP shuntの症例(68歳,男性,C型慢性肝炎) |
![]() 図3 結腸がん肝転移の症例(53歳,男性) |
■Virtual non-contrast(VNC):ヨードマップの有用性
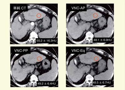
肝細胞がん(HCC)の動脈相画像からVNCを作成した(図4)。VNCでも,肝細胞がんは背景肝に比べて低吸収域として認識できる。同時に作成できるヨードマップでは,造影剤の取り込みから多血性病変であることが明らかである。また,動脈相のほかに,門脈相,平衡相のVNCを作成し,同じ場所にROIをとってCT値を比較したところ,非常に均質な値が測定され,信頼性が高いことが証明された(図5)。そのほか,大動脈の石灰化(図6)や体内金属,脂肪肝などが良好に認識可能であり,石灰化とリピオドールの区別にも有効であった。
VNCで単純CTを省略できれば被ばく低減につながることが示唆されているが,腎臓ではすでに,腫瘤性病変の検出能に関して有効性を認める論文(Grsser,A.,et al.Radioligy,252,2009.)が発表されている。肝臓では,背景肝と病変部の微妙な濃度差を認識することが診断の手がかりとなる場合もあるため,VNCで単純CTが省略可能かどうか,今後の検証が待たれる。
![]() 図4 肝細胞がん(HCC)の動脈相画像から作成したVNC |
![]() 図5 単純CTとVNCの背景肝臓CT値の比較 |
![]() 図6 大動脈石灰化症例のVNC |
|
一方,ヨードマップ上のROIのCT値はヨード量を反映するため,定量化が可能である(図7,8)。ごくわずかな造影効果の有無の判断に利用可能で,3D化することでCTAや3D-DIC imageを作成できる(図9)。肝血流画像診断の観点からは,VNCよりもヨードマップの方が新たな血流パラメータとしての有用性が期待される。
例えば,分子標的治療薬(ソラフェニブ)では,腫瘍のサイズ変化を起こさずに血流のみを落として効果を上げる可能性があるため,従来のサイズクライテリアではなく,血管新生の評価を含めた画像評価,サロゲートマーカーが必要とされる。現在,ソラフェニブ投与前後の肝細胞がんの血流解析をDefinition FlashのCT perfusionにより行っているが,より簡単な血流評価の指標として,ヨードマップの応用を検討中である(図10)。
![]() 図7 ヨードマップ上のROI値はヨード量を反映 |
![]() 図8 肝細胞がんの造影CTで各相のヨードマップからヨード量の変化を算出 |
![]() 図9 ヨードマップの応用例:MIPによるCTAの作成 |
![]() 図10 分子標的治療の治療効果判定ツールとしてのヨードマップの応用 |
■Composite image(合成画像):optimum contrast
低管電圧画像は,造影コントラストは高いがノイズが多く,高管電圧画像は造影コントラストは低めだがノイズも少ない。これら両者を合成するcomposite imageにより,ノイズとコントラストのトレードオフの克服が期待できる。図11は,100kVと140kVの画像を種々の割合で合成したoptimum contrastで,多血性病変の濃染の見え方が変化している。このような微細な濃染の検出能の向上は,血流画像診断の精度向上につながるものと考えられる。

図11 composite image:optimum contrastの一例
■まとめ
肝画像診断におけるDEイメージングの意義は,被ばく量低減,VNCとヨードマップによる新たな血流パラメータの創出,composite imageによる微細濃染の明瞭化などである。DEイメージングは,肝病変血行動態解析の有力なツールとなるポテンシャルを持っていると考える。