ホーム
inNavi Suite
シーメンス・ジャパン
別冊付録
MAGNETOM
Image Gallery 3T MRI MAGNETOM Skyra 京都大学医学部附属病院 / 国立成育医療研究センター病院
![]()
Image Gallery 3T MRI MAGNETOM Skyra
京都大学医学部附属病院 / 国立成育医療研究センター病院
*症例1~6は京都大学医学部附属病院,症例7,8は国立成育医療研究センター病院ご提供
●症例1 頭部MRA像

MRA,TR/TE:22/3.91,スライス厚:0.4mm(iso voxel),マトリックス:1024×768,撮像時間: 8分,iPAT factor:3
●症例2 T1強調画像の比較(MPRAGE と T1 SPACE)

従来,スタンダードで使用していた3Dグラジエントエコー法では,血流信号が高信号(○)になるため,造影剤投与後の増強効果を確認する際に邪魔になることがあった。スピンエコー系列のT1 SPACE法では,血流信号が低信号となるため造影効果が確認しやすくなると思われる。
a: MPRAGE,TR/TE:1900/2.1,スライス厚0.9mm(Iso voxel),マトリックス:256×256,iPAT facotr:2,撮像時間:4分30秒
b: T1 SPACE,TR/TE: 713/7.8,スライス厚0.9mm,マトリックス:256×256,iPAT facotr:4,撮像時間:7分2秒
●症例3 頸部プラーク撮像

MPR像。T1,T2強調画像ともにスピンエコータイプのSPACE法を用いている。いずれも三次元撮像を行っており,検査終了後に自由なスライス面を再構成して確認できる。
a:MRA,TA:5min,空間分解能:0.5mm iso voxel
b:SE Type,T1 SPACE,FS,TA:3min,空間分解能:0.8mm iso voxel
c:SE Type,T2 SPACE,FS,TA:3min,空間分解能:0.8mm iso voxel
●症例4 子宮頸がん

拡散強調画像はダイレクトサジタルにて撮像。拡散強調画像,T2強調画像ともにスライス厚2.5mm
a:diffusion,sagital,TR/TE: 4800/75,スライス厚2.5mm, マトリックス:96×128,b-value: 1000,iPAT facotr:2,撮像時間:4分10秒(b-value:0,100,500,1000)
b:TSE,TR/TE:3500/81,スライス厚2.5mm,マトリックス:291×448,iPAT facotr:3,撮像時間: 1分34秒
●症例5 腹水がある患者の上腹部画像

誘電パッドを用いずに,ルーチン検査と同様の設定で得られた画像
a: HASTE,TR/TE:1300/146,スライス厚5mm,マトリックス:320×320,iPAT facotr:2,撮像時間:0.65秒/1slice
b:Dynamic,TR/TE: 2.97/1.13,スライス厚3mm,マトリックス:168×320,iPAT facotr:2,撮像時間:16秒
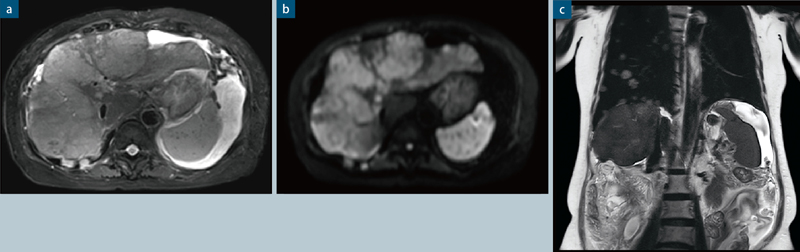
●症例6 転移性肺がん,転移性肝がん

30エレメントコイルで誘電パッドを用いずに撮像することで,効率的かつ快適な検査を行っている。アキシャル像(T2, diffusionとも)ではPACE法による呼吸同期,コロナル像では同期なしの安静呼吸下検査で患者負担を軽減している。
a: TSE,BLADE,SPAIR,TR/TE:3562/73,スライス厚5mm,マトリックス:256×256,iPAT facotr:3,撮像時間:54秒
b:diffusion,PACE,TR/TE:6573/54,スライス厚5mm,マトリックス:85×128,b-value: 1000,iPAT facotr:2, 撮像時間:2分30秒(b-value:150,500,1000)
c: HASTE,TR/TE:1300/146,スライス厚5mm,マトリックス:320×320,iPAT facotr:2,撮像時間:0.65秒/1slice
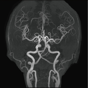
●症例7 脳血管障害疑い(85歳,女性)

成人のMRAでは,頭蓋内から頸部までの撮像が必要な場合も多いが,このような広範囲のMRAでも,細部まで評価可能な画像が得られている。
MRA,TR/TE:22/3.91,マトリックス:1024×768,撮像時間:13分36秒
●症例8 絨毛性疾患(39歳,女性)

空間分解能の実用性に加え,dynamic studyにおける病変部と正常部のコントラストがついた画像は,診断に有用である。
a:TSE,T2強調コロナル像:TR/TE:4500/91,スライス厚:4mm,マトリックス:448×448,撮像時間: 1分52秒
b:Dynamic,TR/TE:4.0/1.5,スライス厚:2mm,マトリックス:320×270,撮像時間:32秒