ホーム
inNavi Suite
シーメンス・ジャパン
別冊付録
The 3rd Definition Symposium Report
SessionU:Cardio-Vascular Imaging 心臓U:循環器診療にDefinition Flashを活かす ─心臓専用機としてのワークフローの構築 山本浩之(倉敷中央病院心臓病センター 循環器内科)
![]()
SessionU:Cardio-Vascular Imaging
心臓U:循環器診療にDefinition Flashを活かす ─心臓専用機としてのワークフローの構築
山本浩之(倉敷中央病院心臓病センター 循環器内科)

倉敷中央病院心臓病センターでは,2011年3月,128スライス2管球搭載の「SOMATOM Definition Flash(以下,Definition Flash)」を導入した。それまでは64MDCTによる心臓CTを行っていたが,冠動脈造影検査(CAG)を減らすまでには至らなかった。Definition FlashのHigh Pitch Double Spiral Scanによる適応患者の拡大と,Dual Energy Imagingによる冠動脈以外への適応拡大が導入のねらいである。当センターは,CAGを中心とした診療フローが出来上がっているが,Definition Flash導入により,CAGの減少が期待される。本講演では,Definition Flash導入で新たに構築されたフローや,循環器疾患の診断・治療効果判定の臨床例を報告する。
■ 当センターにおけるDefinition Flashの診療フロー
当センターでは,Definition Flashを地下のアンギオ室に設置し,外来からの動線の短縮や救急対応の向上を図っている。診療放射線技師2名とコアメンバーの循環器内科医5名が担当し,医師のうち1人は常駐して,造影剤の副作用のチェックや読影にあたる。
心臓CT検査は,循環器内科,心臓血管外科,小児科から電子カルテを通してオーダを受け,RISを介してDefinition Flashと,画像解析処理システム「syngo.via」にワークリストが送られる。syngo.viaでは,前処理と解析処理がほぼ自動で行われ,医師がsyngo.viaにレポートを記載し送信している(図1)。当センターはsyngo.viaの端末を十数台設置し,外来や病棟,アンギオ室,オペ室などから閲覧でき,随時医師が解析することもできる(図2)。
![]() 図1 心臓病センターでの心臓CTのワークフロー |
![]() 図2 syngo.viaによる画像閲覧 |
■ Definition Flashの検査方法
Definition Flash導入後,2011年7月までに492例の撮影を行ってきた。患者は平均67.1歳,平均の検査前心拍数は71.5bpmである。導入前は,できるだけβブロッカーを使用して良好な画像を得るようにしていたが(使用率50.4%),導入後は使用率が18.7%に減少した。また,内服βブロッカーは導入1か月以降は使用せず,静注βブロッカーのみとし,今後は新しいβブロッカー「コアベータ」への変更を期待している。
Definition Flashには,“Flash Spiral Cardio”(被ばく線量約1mSv), “Flash Cardio Sequence”(被ばく線量1〜5mSv),“Normal Spiral”(被ばく線量5mSv〜)の3つの撮影モードがあり,当センターではそれぞれ13%,18.9%,68.1%に使用しているが,今後,低被ばくモードの使用が増やせるものと考える。また,撮影を困難にする不整脈は,ケースに応じた撮影モードを選択することで良好な画像を得られており,心電図editを要した症例は5%のみである。
冠動脈を中心に,胸部,腹部,下肢の動脈へと撮影範囲が広がっても,Flash Spiral Cardioを使うことで,圧倒的な被ばく低減と,平均5mLの造影剤減量が可能となった。
■ 症例提示
症例の診断名の内訳は,虚血性心疾患が73.2%と最も多く,以降,大動脈疾患,末梢血管疾患,弁膜疾患,不整脈,感染性心内膜炎,肺血栓塞栓症の順となる。360例の虚血性心疾患のうち,虚血性心疾患の疑いで撮影したものが296例,そのうち有意狭窄ありでCAGを行ったのが57例,さらにPCIを行ったのは32例となる。心臓CTで確定的な診断ができ,CAGを行わずにPCIを施行した症例が8例あるが,今後はこのような症例が増加するものと期待される。
従来,冠動脈バイパス術後の効果判定はCAGで行っていたが,Definition Flash導入後は,最初にCT撮影を行うのがルーチンワークフローとなり,19例の術後早期確認を行っている。心臓CTにて十分な判定ができ,CAGを行わずに退院となったケースも73%あった。
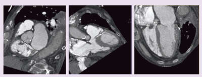
●症例1:狭心症
狭心症の診断のため64MDCTで撮影し,1年間の薬物療法後にFlash Spiral Cardioでフォローアップした症例を示す(図3,4)。図3のように,画質は治療前後でほぼ同等であるが,Flash Spiral Cardioでは実効線量と造影剤量が圧倒的に軽減できている。
図4は,Flash Spiral Cardioで撮影したCPR画像である。CT値がわずかに上昇していることから薬物治療の効果が見られたが,狭窄度はあまり変化がなかったことから,経過観察となっている。
![]() 図3 症例1:64MDCTとDefinition Flash (Flash Spiral Cardio)の比較 |
![]() 図4 症例1:Flash Spiral CardioのCPR画像 |
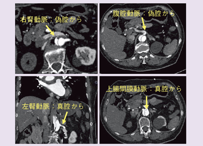
●症例2:急性大動脈解離
Definition Flashは,救急疾患においても有用性を発揮する。図5,6は胸痛,心筋梗塞疑いで緊急搬送された症例で,アンギオ室搬入前の超音波検査で,大動脈にintima flapを認め大動脈解離が疑われたため,CT撮影となった。図5aで,上行大動脈にflapが認められ,さらに,通常CTではとらえることが難しいEntryが確認でき(図5b〜d),逆行性解離と順行性解離の両方を持った解離であることがわかる。
同時に腹部の情報も得ることができ(図6),右腎動脈が偽腔から出ており,濃染が不良なことから閉塞していると考えられる。また,左腎動脈,上腸間膜動脈は真腔から,腹腔動脈は偽腔から出ていることも確認できたが,冠動脈に有意狭窄が認められなかったことから,手術適応のStanford Type Aと判断し,緊急手術となった。
![]() 図5 症例2:急性大動脈解離(Stanford Type A) |
![]() 図6 症例2:急性大動脈解離(腹部) |
●症例3:慢性肺血栓塞栓症
慢性肺血栓塞栓症は,急性とは異なり,末梢の肺動脈の閉塞や狭窄,右室の拡大が特徴である。症例3は,呼吸機能低下で入院となった患者で,以前に肺血流シンチグラフィを撮影しており,右の上肺野と下肺野,左の下肺野に多発性の欠損が認められていた(図7)。今回,肺動脈CTと同時にDual Energyを用いたLung Perfused Blood Volume(Lung PBV)を追加し,シンチグラフィと比較したところ,同じ部位に欠損が認められたことから(図8),このような撮影法も有用であると考える。
![]() 図7 症例3:肺血流シンチグラフィ(慢性肺血栓塞栓症) |
![]() 図8 症例3:Lung PBV |
●症例4:感染性心内膜炎
当センターではデバイス植え込み術が増加しているが,ペースメーカーのリード感染による感染性心内膜炎は,非常に診断がつきにくく,苦慮している。そのような症例に対して,心エコー検査に加えてCT撮影を行うことで,早期診断が可能となる。
図9のように,CT画像ではリードと三尖弁の交差部に疣腫を認めることができ,早期にリード感染を診断することができる。本症例の場合は,経胸壁心エコーで疣腫を同定できたが,エコーはアーチファクトで見えにくい場合もあるため,CT撮影が診断に寄与すると言える。

図9 症例4:感染性心内膜炎
■ まとめ
Definition Flashを導入し,syngo.viaと組み合わせることで,循環器診療の緊急性にも対応できる診療フローを構築した。そして,Definition Flashにより,冠動脈疾患以外の多くの循環器疾患の診断・治療効果判定に適応が拡大した。今後は,より被ばく低減に留意するとともに,Definition Flashの多彩な機能を使用して,臨床に有意な情報を提供していきたい。