ホーム
inNavi Suite
シーメンス・ジャパン
別冊付録
The 3rd Definition Symposium Report
SessionX:Dual Energy Imaging 頭部:Brain Hemorrhage 渡邉嘉之(大阪大学大学院医学研究科 放射線医学講座)
![]()
SessionX:Dual Energy Imaging
頭部:Brain Hemorrhage
渡邉嘉之(大阪大学大学院医学研究科 放射線医学講座)

Dual Energy Imaging(以下,DEイージング)の解析アプリケーションには,肺塞栓を診断する“Lung PBV"などの疾患に特化したものや,実効エネルギー換算が可能な“monoenergetic",ノイズと造影のバランスを最適化する“optimum contrast"などがあり,目的に合わせて選ぶことで適した画像を得ることができる。本講演では,DEイメージングの解析法を簡単に解説するとともに,頭部領域における血腫と造影剤の鑑別に有用なアプリケーションである,“brain hemorrhage"について紹介する。
■ DEイメージングの解析法
DEイメージングは,高低2つの管電圧で撮影し,物質のCT値の変化を解析することで,物質を鑑別する。DEイメージング解析法の基本的な考え方には,既知の組成をその他の組成群から分離する方法(Two-material decomposition)と,造影剤を抑制・除去,または抽出する方法(Three-material decomposition)がある。
● Two-material decomposition
High-kVとLow-kVでCT値が違う既知の物質があれば,その間に分離線を引いて組成を分離することができる(図1a)。
頭部領域で使用頻度が高い解析アプリケーション“head bone removal"は,CTアンギオの骨除去などに使用する(図2)。骨・石灰化と認識されたボクセルのCT値を−1000にすることで,ワンクリックで骨のないMIP画像を作成することができる。また,頭頸部まで広範囲に撮影した場合にも,簡単に骨除去,MIP画像作成ができ(図3),非常に有用性が高いと言える。
● Three-material decomposition
Three-material decompositionは,CT値が異なる既知の組成が3つあると設定し,その中から造影剤(ヨード)を検出する(図1b)。頭部領域の“brain hemorrhage"(図4)の場合は,水,血液,造影剤の3つの異なる組成があり,水と血液のCT値を結ぶ直線上に血腫(●)がくると考えられるが,実際は●印に持ち上がっているため,この持ち上がり分が造影剤の濃度と考えられる。
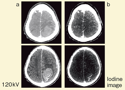
DEイメージングでは,100kVの画像と140kVの画像を撮影し,通常は,これらを加算平均した120kV相当の画像で診断を行うが,brain hemorrhageで処理すると,virtual noncontrast(疑似単純画像)とiodine image(ヨード画像)の2種類の画像を得ることができる(図5)。
![]() 図1 DEイメージングの解析法 |
![]() 図2 head bone removal |
![]() 図3 head bone removalによるMIP画像 |
![]() 図4 brain hemorrhage |
![]() 図5 早期相での血腫内造影効果 |
■ brain hemorrhageによる頭蓋内血腫の造影効果の検討
DEイメージングにて造影検査を施行した頭蓋内出血患者15名を対象に,血腫の造影効果について検討した。造影は早期相/遅延相(2分後)の2相を撮影し,brain hemorrhage処理にてvirtual noncontrastとiodine imageを作成。さらに,それらを合成してカラーコードしたフュージョン画像を作成した。
15例中9例において早期相での血腫内造影効果が見られ,120kV相当の画像とヨード画像で比較検討したところ,9例中3例については,ヨード画像の方が描出良好であった。なお,残りの6例については,同程度の描出能であった。
● 症例1:早期相での造影効果
図6は頭部外傷で,単純CTにより,脳挫傷による血腫と硬膜下血腫が認められた症例である。造影CT(120kV相当の合成画像)では血腫内の造影効果の判定は難しいが(図6b),brain hemorrhageによるヨード画像では,淡い造影効果が認められる(図6d↑)。遅延相でも同じ部位での造影が認められたことから,早期相でも造影剤が描出されることがわかる症例である。

図6 症例1:早期相での造影効果
● 症例2:出血を伴う腫瘍
図7は,小脳橋角部に高吸収を伴うSOLが認められた10歳代,男性の症例で,出血を伴う腫瘍と考えられる。造影CT(DE)では,造影部分が不明瞭である(図7b)。しかし,このような症例でも,brain hemorrhageによるフュージョン画像では,血腫内に造影効果を認めることができる(図7d↑)。

図7 症例2:出血を伴う腫瘍
● 症例3:転移性腫瘍
左頭頂葉に皮下出血があり,CTAでは動脈瘤などの異常血管はないが,早期相,遅延相で血腫内に造影剤漏出が認められる80歳代,男性の症例である(図8)。造影CT(DE)の遅延相を処理すると(図9),ヨード画像では,血腫内に薄い濃染が認められ(図9b),何らかの腫瘤性病変が疑われる。
この症例は,入院後に右上下肢の麻痺の進行,失語症状の増悪が見られたため,CT再検査を行ったところ血腫の増大が認められ,緊急開頭血腫除去術が施行された。血腫内に腫瘤病変があり,metastatic adenocarcinoma(転移性腺癌)と診断された。血腫内の淡く染まるような病変を,DEイメージングのbrain hemorrhageで検出できる可能性が示唆された症例である。
![]() 図8 症例3:転移性腫瘍(頭部CT) |
![]() 図9 症例3:転移性腫瘍(造影CT遅延相) |
■ 鑑別診断におけるDEイメージングの有用性
●海外におけるbrain hemorrhageの報告
2010年10月号のRadiologyに報告されたbrain hemorrhageの検証を紹介する1)。16名の急性期脳梗塞,2名の頭部外傷で,経動脈的または経静脈的に造影剤投与後に頭部CTを撮影した症例を対象とし,高吸収部位が,出血かヨード造影剤漏出かの鑑別を,DEイメージングで可能かどうかを検証している。
この検証では,sensitivityが100%,specificityが約91%となり,きわめて高い確率で出血とヨード造影剤の漏出が鑑別できるという結果となった。
●PTA後の鑑別:血管内治療への貢献
当院で経験した,左麻痺のためtPAを施行したが改善せず,PTAに至った症例では,DE-CTAでbone-removalを行うと,左ICAが閉塞していることが確認でき,PTAと血栓吸引を行い,再開通を得た。PTA直後のCTにおいて,高吸収の部分が認められ,これが出血か造影剤の漏出であるかが問題となった。出血の場合は,抗凝固療法を行うことはできないため,その鑑別が重要となる。2日後のフォローにおいて低吸収となったことが確認できたため,基底核だけが梗塞し,梗塞領域に造影剤が漏出していたことが考えられる。このような症例に対して,PTA後にDEイメージングを行えば,すぐに血腫か造影剤かの鑑別ができ,有用であると言える。
最近は,急性期脳梗塞に対してtPA静注療法だけでなく,メルシー(Merci)やペナンブラシステムといった,カテーテルを使って血栓を除去する治療法が認可され,今後,急性期に血管造影を行う機会が増加することが考えられる。血管造影後のCT撮影の際,脳実質内やクモ膜下腔に造影剤が漏出し,脳内出血やクモ膜下出血と区別が付かない症例では,DEイメージングが非常に有用となるであろう。
■ まとめ
brain hemorrhageは,出血と造影剤漏出の鑑別が可能であり,特に血腫内の淡い造影効果の検出にも有効である。また,造影剤投与後の単純CTにおける,出血と造影剤漏出の鑑別に有用な検査法であると言える。
| ●参考文献 | |
| 1) | Gupta, R., et al.:Evaluation of Dual-Energy CT for Differentiating Intracerebral Hemorrhage from Iodinated Contrast Material Staining. Radiology, 257, 205〜211, 2010. |