ホーム
inNavi Suite
シーメンス・ジャパン
別冊付録
The 4th Definition Symposium Report
心臓 II :Definition FlashによるComprehensive Cardiac Study
![]()
Session II Cardio-Vascular Imaging
心臓 II :Definition FlashによるComprehensive Cardiac Study
北川覚也(三重大学医学部附属病院 中央放射線部)

三重大学医学部附属病院では,負荷心筋パーフュージョンCTの実施を主眼として,2012年1月に「SOMATOM Definition Flash(以下,Definition Flash)」を導入した。当院では,冠動脈CTの前にダイナミック負荷心筋パーフュージョンCTを撮影し,最後に遅延造影CTを行うComprehensive Cardiac CTを実施している。本講演では,冠動脈だけでなく,心筋虚血や梗塞,線維化の有無など,心臓を総合的に評価するComprehensive Cardiac CTの実際と,その有用性について報告する。
■Comprehensive Cardiac CTの実際
●症例1:80歳代,女性
5年前のCAGにて,RCA#2とLCX#13にそれぞれ75%の狭窄が認められたが,MRIで虚血所見がなかったため経過観察となった。今回,舌腫瘍が見つかり,術前に冠動脈を再度評価する必要があったが,心房性期外収縮の頻発によりMRIは困難と判断され,当院のComprehensive Cardiac CTプロトコールで検査を実施した。
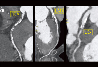
心拍数50〜111bpmと変動が大きかったが,冠動脈はきれいに描出され,RCAとLCXの狭窄が示唆された(図1)。curved MPR画像(図2)では,RCAはほぼ閉塞し,LCXにも強い狭窄が見られた。LADは石灰化のため,はっきりとした評価が難しかった。
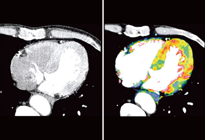
ダイナミック負荷心筋パーフュージョン撮影後,コンソール上で定量的な解析を行い,perfusion mapを作成した(図3)。下壁に強い血流の低下が確認でき,前壁の,対角枝の領域と思われる部位にも軽度の血流低下が認められた。LCXの領域にも虚血があったが,範囲は狭かった。遅延造影像では梗塞がないことは明らかだった。
LAD本幹に虚血所見がなく,強い狭窄もないことから,十分な注意は必要だが舌腫瘍の手術可能と判断された。
![]() 図1 症例1:冠動脈CTのVR画像 |
![]() 図2 症例1:curved MPR画像 |
![]() 図3 症例1:負荷心筋パーフュージョンと遅延造影CT(下段) |
●負荷心筋パーフュージョン
ダイナミック負荷心筋パーフュージョンCTは,shuttle mode scanで撮影する。4cm幅を2か所で交互に撮影するが,重なる部分があるため,全体で7cmを撮ることができる。心拍数63bpm未満では1心拍に1回,それ以上なら2心拍に1回で撮影する。
Definition Flashの優れた点の1つとして,負荷心筋パーフュージョンの画質が高いことが挙げられる。その背景には,専用の再構成アルゴリズムの搭載による75msの高時間分解能と,フルスキャン再構成による心筋CT値の安定性の両立がある。
●症例2:80歳代,男性
9年前にRCA#2にステント留置,LCX#13はPOBAを施行。胸痛が出現するようになったが,慢性腎不全で透析を受けており,MR造影剤を使用できないため,Comprehensive Cardiac CTを行った。
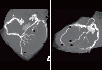
冠動脈の石灰化が非常に強く,冠動脈CTでの評価は容易ではない(図4)。curved MPR画像にて,LCX #13に強い狭窄があることは確認できたものの,RCAステント留置部やLAD,対角枝については,はっきりと評価できない(図5)。
perfusion mapを作成すると,前壁の対角枝の領域に一致して,血流異常のあることがわかる(図6)。LCXの領域にも,血流異常があり,心基部から中央部の下測壁の血流低下が確認された。
下壁を再度見直すと,RCAの領域にも虚血が認められた。
![]() 図4 症例2:冠動脈CT |
![]() 図5 症例2:curved MPR画像 |
![]() 図6 症例2:perfusion map |
■Volume Perfusion
このようなperfusion mapは,CTのコンソールに搭載された"Volume Perfusion"による定量的解析の結果である。
2010年以降に報告されたVolume Perfusionによる負荷時心筋血流の文献によると,CAD疑いのremote心筋における心筋血流と狭窄領域の心筋血流は,remote心筋が1.05〜1.43mL/min/g,狭窄領域が0.65〜0.9mL/min/gとされている。自検例も,下壁は0.69mL/min/g,LCX領域は0.54mL/min/g,正常部位では1.1mL/min/gであり,文献と合致していた。
Volume Perfusionの精度を動物モデルで検証した報告では,Volume Perfusionによる血流定量値とマイクロスフィア法による血流定量値の間には良い相関が認められるが,Volume Perfusionでは心筋血流を過小評価することが指摘されている。臨床での扱いについては,検討する余地があろう。
■4D Displayとperfusion mapの比較
心筋パーフュージョンCTの読影においては,4D Displayにより元画像を視覚的に評価するよりも,定量解析結果であるperfusion mapを評価する方が心筋血流異常を容易にとらえることができる(図7)。当院では,主にperfusion mapで読影し,補助的に4D動画を使用している。
症例2の中隔基部の血流異常の原因をよく見てみると,第1中隔枝に狭窄があり,遅延造影CTではその部に一致して,心筋の線維化が起こっていることもわかった。
このように,心筋血流の定量評価をルーチンに行えることは,大きな利点であると言える。ボクセルごとのMBF算出のための解析時間は,5分程度である。ほとんどが自動化されているため,再現性も高い。解析結果はDICOMで出力されるので,フュージョン画像の作成や,ROIを設定して血流値を計測することも容易である。

図7 4D Displayとperfusion map(症例2)
■当院のComprehensive Cardiac CTプロトコール
当院のプロトコールを図8に示す。撮影時間は,トポグラム開始から遅延造影終了まで平均32分であり,入室から退室まで40分程度で,すべての検査を行うことができる。
\被ばく線量についても検討した(図9)。100kVでの平均は8.7mSvだが,80kVでも同等の画質が得られるよう検討を重ねているところである。80kVで撮影できれば,理論的には約40%減の5mSv程度まで下げられる。検査全体では,15mSvを超えることがないようにしている。
![]() 図8 当院のComprehensive Cardiac CTプロトコール |
![]() 図9 Comprehensive Cardiac CTの被ばく線量 |
■7cmで心筋全体をカバーできるか?
shuttle mode scanの撮影範囲である7cmでは,30%の症例で心筋全体をカバーすることができない。しかし,極度の心拡大がない限り,適切な位置決めをすることで,99%のセグメント評価が可能になる。
適切な位置決め方法の1つが,呼吸モニタリング装置の使用である。もとは肺結節の放射線治療で用いる装置で,腹部や胸部の動きをトレースして表示し,患者さん自身がそれを見ながら,同じサイクルで呼吸を止めるものである。当院でもこれを使っており,再現性高く,均一な息止めができている。
また,負荷心筋パーフュージョンCTに合わせた収縮期のカルシウムスコアも,位置決めに利用している。さらに,70kV,36mAsの低線量なテストスキャンで,撮影位置を確認している。そのほか,腰の下にタオルを敷き,心臓が横隔膜に対して水平になるようにする工夫も取り入れている。
これらにより,ほとんどの例で心筋全体を7cmの範囲内でカバーできている。
■まとめ
Definition Flashにより,冠動脈の形態,負荷心筋血流,心筋遅延造影による総合的な評価が,検査時間40分,被ばく線量15mSv以下で可能になった。
Definition Flashによるダイナミック心筋パーフュージョン検査は,きわめて高い三次元的空間分解能をもって,心筋血流定量解析をルーチンで行える唯一の検査法と言える。