シーメンス・ジャパン株式会社

ホーム の中の inNavi Suiteの中の シーメンス・ジャパンの中の Technical Noteの中の 腹部領域におけるDual Energyイメージングの有用性

Technical Note

2008年4月号
Abdominal Imagingにおけるモダリティ別技術の到達点

CT−腹部領域におけるDual Energyイメージングの有用性

宮西佐代子
マーケティング本部CTグループ

世界初のDual Source CT「SOMATOM Definition」は,シーメンスの高い技術力の集約により,いままでのCTの概念を超えた画期的な装置である。史上最速の83msの時間分解能を最大限に生かすことによって,循環器領域においては心臓CTの最高峰としての地位を確実なものとした。さらに,新しいイメージング技術であるDual Energyイメージングを臨床適用できる唯一の存在として注目を浴びており,現在7分野に最適化されたアプリケーションソフトウエアがリリースされている。
本稿では,これらの中から腹部領域において有用なアプリケーションソフトウエアについて概説する。


■ Dual Energyイメージングとは

SOMATOM Definitionは,ガントリ内に2組のX線管球と検出器がそれぞれ90°だけオフセットされた配置を有している。搭載しているX線管球は,「SOMATOM Sensation 64-Slice Configuration」にも採用されている大容量ながら小型で,堅牢なことで定評のあるSTRATONである。
Dual Energyイメージングの撮影時には,この2組のSTRATONから140kVと80kVの異なる管電圧のX線を同時照射しながらスパイラルスキャンによってデータ収集を行う。
Dual Energyイメージングは,物質の減弱がX線の平均エネルギーによって異なることを利用した画像化の手法である。異なる2つの管電圧に依存して,それぞれの組織,例えば,骨・造影剤・脂肪・軟部組織などは組織組成に依存した異なるコントラスト差を生じるため,それぞれを適切に分離した画像化が可能となる。
シーメンスでは,骨と造影剤のような2つの異なる組成の分離を行う一般的な“2-material-decomposition”をベースとして,それをさらに拡張し,脂肪・軟部組織・造影剤のような3つの異なる組成を識別することができる“3-material-decomposition”を開発し,SOMATOM Definitionに搭載した。

■ DE Composition

Dual Energyモードで撮影を行うと,140kV,80kV,Mixイメージの3種類の画像が再構成される。Mixイメージとは,140kVと80kVとの画像を任意の比率(DE Composition)で重み付け加算した画像である。デフォルト値としてDE Compositionは0.3となっており,140kVを70%,80kVを30%の比率で重み付け加算処理を行い,120kV相当の画像としてルーチンの読影に利用可能である。この比率は任意で変更することができるため,1回のスキャンによりさまざまな画像を作成することが可能である。


■ Body Bone Removalアプリケーション

2-material-decompositionのアルゴリズムにより,骨と血管とを分離することが可能である。通常のワークステーションにおける骨抜き処理と異なり,組成を認識した分離処理を行っているため,例えば,骨と血管が近接した部位においても高精度,かつ短時間で容易に分離できる。結果として,日常の診療におけるワークフローの短縮につながるだけでなく,診断結果を早く要求される救急領域においても有用である。
さらに,単なる骨の分離だけでなく,図1のように石灰化の分離もできるため,従来は困難であった石灰化を伴う血管の内腔評価も可能となる。


図1 Dual Energyイメージングによる石灰化と血管の分離
図1 Dual Energyイメージングによる石灰化と血管の分離
本症例は右総腸骨動脈が閉塞した症例である。煩雑な作業を行うことなく,短時間でaのように骨と血管の分離を行うことができる。さらに,bのように石灰化も除去することができるため,通常の撮影では困難であった石灰化を伴う血管の内腔評価が可能となる。
(画像ご提供:奈良県立医科大学様)

■ Kidney Stonesアプリケーション

腎・尿管結石は,尿酸結石,シスチン結石,リン酸結石,シュウ酸結石,または,これらの混合結石などに分類される。本アプリケーションでは2-material-decompositionのアルゴリズムを用いて,尿酸結石とそれ以外の成分の結石に組成分類することが可能である。
尿管結石の治療は大きさ・組成によって治療方針が決定されるが,一般的に尿酸結石は薬物療法が有用であることが多いと言われている。
通常のCT撮影では結石の有無や大きさ,水腎症の有無などの情報しか得られないが,Dual Energyで撮影することにより,尿酸結石を赤色に,シュウ酸結石を青色に表示することが可能となる。これまで得られていた情報に加えて,結石の組成がわかるため,治療方針をより早く決定づけることができる。


■ Liver VNCアプリケーション

本アプリケーションは3-material-decompositionのアルゴリズムを用いて,脂肪・軟部組織・造影剤の分離を行っている。
3-material-decompositionは,脂肪 (A),軟部組織(B),造影剤(C)の3つの組成から構成されている画像において理想的な状態と仮定すると,図2のように3点を基準としたクラスターを形成する。このとき,AとBを結ぶ線上には脂肪と軟部組織のみが存在し,ある点がAに近づくほど脂肪の割合が増加し,Bに近づくと軟部組織の割合が増加する。また,AとCを結ぶ線上,ならびにBとCを結ぶ線上においても同様のことが成り立つ。
この理論を利用し画像化したものがLiver VNC(Virtual Non-Contrast)である。図3のように,仮想的な非造影の画像を作成したり,造影剤の比率を変化させた画像を作成したりすることが可能となる。


図2 3-material-decompositionのアルゴリズム
図2 3-material-decompositionのアルゴリズム
2-material-decompositionを拡張した3-material-decompositionは,同時に3つの組織の組成解析が可能である。

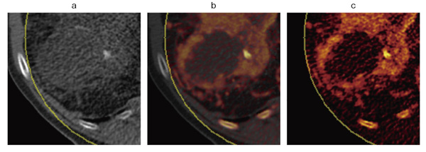
図3 Dual EnergyイメージングによるLiver VNC
図3 Dual EnergyイメージングによるLiver VNC
Dual Energyモードで撮影を行い,Liver VNCアプリケーションにて作成された仮想的な非造影の画像(a)である。造影剤の比率を50%(b),100%(c)と変化させることで,壊死部を除いた全体が強い濃染を示していることが明瞭となり,Necrotic Tumorであることがわかる.さらに,壊死部の領域・境界も明瞭に把握可能である。
〔画像ご提供:ミュンヘン大学様(ドイツ)〕

現在,X線CTにおけるDual Energy イメージングは数種のデータ収集方法が提案されている。しかし,空間的・時間的にずれがなく,さらにそれぞれの管電圧ごとに独立して線量を制御することができる点などにおいて,Dual Source CTは大きなアドバンテージを有していると言える。それが,SOMATOM Definitionを唯一無二の実践的Dual EnergyイメージングCTと言わしめる理由であろう。
日本国内においても,Dual Energy イメージングが臨床の現場で稼働を開始して1年が経過しようとしている。今後,ますます臨床に応用され,その有用性が多数報告されることが期待できる。



【問い合わせ先】 マーケティング本部CTグループ  TEL 03-5423-4062