ホーム
inNavi Suite
シーメンス・ジャパン
Technical Note
eSie Touch Elasticity Imagingとさらなる展開
2011年8月号
超音波エラストグラフィの技術と特徴
シーメンス社のエラストグラフィへの取り組みは比較的早く,1990年代より基礎研究を独自に進めてきた。2003年には,リアルタイム表示のエラストグラフィの臨床応用が,北米放射線学会で発表されている1)。
その後,演算時間の大幅な短縮と精度の向上によって完成度を高め,2007年に“eSie Touch Elasticity Imaging”として製品化した。しかし,シーメンス社はここでとどまることなく,用手的圧迫方式の課題であった,“施行者依存性”を低減させるために,音波照射力を使ったエラストグラフィである“Virtual Touch Tissue Imaging”を2009年に初めて製品化した。
さらに,硬さの定量的測定を行うために,地質調査で実用化されている弾性波探査法の原理を応用して,“Virtual Touch Tissue Quantification”として超音波診断装置に組み込むことに成功した。
それぞれ特性の異なる3種類の硬さの測定方法を備えた超音波診断装置「ACUSON S2000」の登場により,乳腺領域だけでなく,慢性肝炎における肝硬度測定など,組織硬度の研究が深耕され2),3),さらなる発展が期待されている。
■eSie Touch Elasticity Imaging
eSie Touch Elasticity Imagingは,超音波画像に対してブロックマッチングのアルゴリズムを適応し,力を加えたことによる画像のズレを検出する。それをもとに組織の歪みを高速に演算して,リアルタイムのエラストグラフィを表示する方式である。表示マップは,3種類の中から選択できる(図1)。
これは,きわめて小さな力で機能するという特長を持っているため,圧迫することをほとんど意識せず,軽くタッチする感覚でよい。主に,プローブを持つ手の自然なわずかな揺れや被検者の呼吸運動,心拍動のリバウンドなどが,歪みの検出のもととなっている。このため,eSie Touch Elasticity Imagingでは,押し方の違いによる施行者依存性が低く,操作がとても簡単である。
さらに,安定したイメージングを容易に取得できるように,映像化の信頼性を示すインジケーター(Quality Factor:QF)を備えている。これは,瞬時瞬時に映像化される硬さの情報の安定度を,数値で表示したものである(図1 a)。硬さの情報が,時間経過でまったく変化しない場合がQF=100%であり,相関性が低くなるほど0%に近づく。QF>60%となるようにスキャンするのが目安である。フリーズ後,イメージメモリのループの中から,QFの高いものを選択できるので便利である。また,ROIの位置や大きさで表示の色付けが変わらないことも,操作を簡単にしている。
半定量的な測定機能として,Strain Ratioを備えている。これは,画像上の2つの領域の歪みの比を計算する(図1 c)。硬さの違いが比較的少ないとされる脂肪組織を基準に選べば,腫瘍の硬さをある程度定量的に測ることが可能とされている。しかし,現実には硬さの安定した基準物が得にくいことと,組織に加わる力が場所によって異なるため,Strain Ratioの値は相当に変動することを注意しなければならない。

図1 eSie Touch Elasticity Imagingの例(非浸潤性乳管癌)
3種類のマッピングを同一症例で比較。Strain Ratioは,(1),(2),(3)各領域ともmを基準として測定した。
(画像ご提供:りんくう総合医療センター・位藤俊一先生)
■手で押さないエラストグラフィ
用手的圧迫の代わりに,音波照射力の作用,すなわち“Acoustic Radiation Force Impulse(ARFI:アーフィー)”で組織にわずかな変位をもたらし,変位量を検出して硬さの違いをイメージングする方法が開発された。それが,Virtual Touch Tissue Imaging(VTTI)である。
適切なスキャン断面さえ決めてしまえば,まったくプローブを動かすことなく,押しボタン1つで瞬時に撮像できる(図2)。このため,施行者依存性は比較的低いと言える。
VTTIでは,超音波ビーム幅の細かさで組織を限局的に圧迫していくため,微細な観察に優れている。

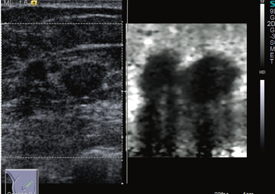
図2 Virtual Touch Tissue Imagingの例(浸潤性乳管癌)
(画像ご提供:りんくう総合医療センター・位藤俊一先生)
■硬さの数値測定
一般に,固体に衝撃を与えると弾性波が発生する。これには縦波と横波があり,それぞれ内部を伝搬する。このうち,横波である剪断弾性波に着目し,その伝搬速度(Vs[m/s])を測ることによって,組織の硬さを定量的に評価するのが,Virtual Touch Tissue Quantification(VTTQ)である。Vsの値が大きいほど,硬い組織であることを意味する。
VTTQでは,剪断弾性波を生体内の測定したい近傍で発生させる手段として,前述のARFIを用いる。収束超音波パルスが照射され,限局的に力の作用を受けた組織には,剪断歪みが生じる。力を取り除くと復元力が働き,組織は振動する。それが剪断弾性波となって,周囲に水平方向に伝搬する。これは,プローブでは感知できない方向であるため,小さなROIの内部を超音波断層法で高速スキャンを行い,組織の微細振動を検出して,剪断弾性波の伝搬速度を求める(図3,4)。
VTTQにおいて,小さなROIに絞っているのは,剪断弾性波が発生した直後の伝搬速度に限って測定を行うことで,高い精度と安定性を保つためである。

図3 Virtual Touch Tissue Quantificationの動作プロセス

図4 Virtual Touch Tissue Quantificationの例(浸潤性乳管癌)
(画像ご提供:りんくう総合医療センター・位藤俊一先生)
本稿では,硬さを測るアプリケーションとしてエラストグラフィ(eSie Touch Elasticity Imaging)以外にも,ARFI技術を採用したVirtual Touch Tissue ImagingとVirtual Touch Tissue Quantificationがあることを紹介した。エラストグラフィが実用段階を迎えつつある中で,これら新手法の出現によって,さらにその理解が深まり,臨床適応の最適方法が明らかになることを願っている。
| ●参考文献 | |
| 1) | Hall, T.J. : Beyond the basic Elasticity imaging with US. RadioGraphics, 23, 1657〜1671, 2003. |
| 2) | 飯島尋子・他 : Acoustic Radiation Force Impulse による非侵襲的肝線維化診断法の有用性. 肝臓, 51・1, 54〜55, 2010. |
| 3) | Tozaki, M., et al. : Ultrasonographic Elastography of the Breast using the Acoustic Radiation Force Impulse Technology ; Preliminary study. Japanese Journal of Radiology 2011(in press). |