ホーム
inNavi Suite
シーメンス・ジャパン
Technical Note
ストレインイメージング ─ 超音波を用いた組織ひずみの映像化
2012年4月号
Abdominal Imagingにおけるモダリティ別技術の到達点
最初の医用超音波イメージングは,1970年代に開発された反射エコー強度の強さを輝度変化で表すBモード法である。生体構造の断面図を,簡便にリアルタイムに表示して形態診断ができることから,臨床的有用性が高く評価され普及してきた。現在でも,これが超音波診断法の基本となっている。80年代半ばになると,第2の超音波イメージング法として,カラードプラ法が開発された。超音波のドップラー効果を利用して血流情報を映像化するものである。
そして今,第3の超音波イメージング法として注目されているのが,ストレインイメージングである。これは,外から力を加えたときの対象物の変形を映像化することによって,触診で得られていた硬さの情報を客観的に表現することができる。また,Bモード法では映像化されにくい腫瘍や組織が,より明瞭に表示されることもある。
本稿では,腹部領域におけるストレインイメージングの最新状況について述べる。
■ストレインイメージングを得る方法
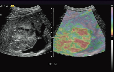
ストレインイメージングは,外部より力を加えて,各部がどれだけ形や位置を変えるかを測定して得ることができる。最初に開発されたのが,超音波プローブを手で押すことで体表から組織を圧迫する方法(Elasticity Imaging)である。乳腺領域ではこうした用手的圧迫が比較的容易であるため,Elasticity Imagingは,腫瘍の鑑別に多く利用されるようになってきた。しかし腹部領域では,対象が深部にあるため,体表からの圧迫が十分に作用せず,Elasticity Imagingが難しくなる。そこでシーメンスの“eSie Touch Elasticity Imaging”では,演算プロトコルの工夫によってきわめて小さな力(プローブを持つ手の自然なわずかな揺れや,心拍動による臓器の動きなど)で機能することに成功し,腹部領域にも適用できるようになった(図1)。
一方,超音波パルスが透過するときの物理的作用(音響放射圧)を利用して,組織を変位させ,変位量をマッピングする“Virtual Touch Tissue Imaging(VTTI)”も新しく開発された。検者依存性が少なく,より再現性の良いストレインイメージングとして腹部領域への応用が期待されている。

図1 eSie Touch Elasticity Imagingによる臨床例:転移性肝がん
■Virtual Touch Tissue Imaging
超音波を組織に照射すると,透過していく過程において組織を後方に移動させる力が働く。この物理現象がAcoustic Radiation Force Impulse(ARFI)である(図2)。

図2 Acoustic Radiation Force Impulse
収束超音波パルスが,組織に対して後方に押す力Fを発生させる。
これは,一般の超音波検査中にも発生しているが,普通は微弱すぎて利用されることはない。こうしたARFIの作用を積極的に応用して組織に変位を与え,ストレインイメージングを得るのがVTTIである。ARFIの作用を起こさせるために,通常のBモード走査用のパルスよりも,時間的に長いパルスを用いている。これは,プッシュパルスと呼ばれ,持続時間は300μs程度である。VTTIの測定プロセスを図3に示す。

図3 Virtual Touch Tissue Imagingの動作プロセス
■VTTIの特長と臨床応用
音響放射圧を利用したVTTIは,力学的作用を利用するElasticity Imagingと同様に,組織の硬さの分布を表すと考えられる。しかしElasticity Imagingと比較して,次のような特長を有している。
(1) 圧迫のためにプローブを動かす必要がない。
(2) プローブで押しにくい部位でも比較的容易に描出できる。
(3) 細い超音波ビームで組織を押すため,細部の描写に優れている(Elasticity Imagingはプローブの幅で全体的に押す)。
(4) 硬い組織に囲まれている小さな軟らかい性状を表現しやすい。
(5) 施行者依存性が低い。
(6) 再現性が良い。
臨床応用例を図4に示す。

図4 VTTIによる臨床例
現在の超音波画像診断は,Bモード法による組織の形態診断を基本として,さらに,カラードプラ法による血管形態と血流機能診断を加えて成り立っている。近年,ここにストレインイメージングという異なる視点からのイメージングが加わったことを示してきた。これからは,3つのイメージングが相互に補完し合いながら,より客観的かつ高い精度の診断の実現が期待される。ストレインイメージングは,ここに示した原理以外にも内部を伝わる弾性波速度を測ることによって,定量的に硬度を求めイメージングする方法も実用化されつつあり,今後急速な進歩が見込まれている。