ホーム
inNavi Suite
シーメンス・ジャパン
Technical Note
体幹部領域でのNew CT Like Imaging ─ DynaCT 360の最新技術紹介
2012年4月号
Abdominal Imagingにおけるモダリティ別技術の到達点
近年における医療機器装置の進歩は目覚しく,現在ではI.I.装置に代わり平面検出器(FD)搭載型血管撮影装置が主流となっている。そして,この画像受光器の進化により,3次元画像処理はCT Like Imagingへとさらなる進化を遂げた。
この3次元画像処理の進歩は,血管撮影装置自身の進歩を促進させる結果となり,さらに新しい3次元撮影を可能にした多軸型血管撮影装置「Artis zeego」の誕生へとつながった。この装置は,合計6軸から構成されるロボットアームの先端にCアームが搭載され,そのCアーム先端の2軸にX線管と平面検出器を装備している。
■Flexible Isocenter System



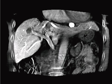
このロボットアームのユニークな回転撮影により,Cアーム装置による世界初の大口径でのC-arm Cone Beam CT(以下,C-arm CT)撮影を可能にした“Large Volume syngo DynaCT”(以下,LV DynaCT)も同時に発表された。この結果,従来のC-arm CTでは不可能であった肝臓のほぼ全域を撮影範囲とし,3次元画像の再構成が可能となった(図1)。
このLV DynaCTは,FIS(Flexible Isocenter System)により,コーンビーム中心から外れた点を回転中心に設定し,左右独立したオフセット回転撮影を実行,その後2つのオフセットデータを統合することにより,従来のDynaCT撮影範囲の2倍近い回転撮影視野を実現した(図2)。ただし,LV DynaCT撮影には,左右のオフセット回転撮影時間と,その左右移行時間という合計撮影時間の問題があった。オフセット回転撮影は,左右それぞれの体幹部を6秒間で220°の回転撮影を行い,左右オフセット回転撮影までの移行時間は4秒,合計16秒間の撮影が必要となる。
腹部領域の一般的なC-arm CT撮影で必須条件となる息止めは,この息止め時間が短くなるほど,患者負担の低減や撮影中の体動に起因するアーチファクトの低減といったC-arm CT画像の画質に直結する要素となる。さらに,息止め時間の短縮は,撮影時間の短縮を意味し,結果的に使用造影剤量,および患者被ばくの低減にも直結する。特に,腹部領域でのC-arm CT撮影では,画質の向上はもちろんだが,常に,患者横断面の全域を補う十分な撮影範囲と患者負担を低減させる短時間回転撮影が,腹部IVRにとって最善であることに間違いない。
そして,われわれの技術は,ついに,この両方の実現を可能にした。それが,“syngo DynaCT 360”である。
このDynaCT 360は,従来の体幹部DynaCT撮影(8秒,20秒)やLV DynaCT撮影(16秒)よりもさらに短い回転撮影時間となる6秒モードとなり,C-arm CT撮影範囲に関しても,従来のLV DynaCT撮影範囲と同等の撮影視野(Φ35cm×25cm)を確保している(図3)。この撮影技術は,LV DynaCTで行われていた220°のオフセット回転撮影を大きく上回り,全周囲となる360°の回転撮影が可能である(図4)。360°の回転撮影は,DynaCT画像の画質向上にも寄与している。従来,220°までの部分的な回転撮影から3次元画像を再構成するためには,それぞれの投影画像に対してフィルタ補正逆投影法から3次元画像再構成を行い,それ以外の撮影されていない角度範囲の画像情報に関しては,それぞれの投影角度に対して同一投影画像情報の重複を考慮し,部分的な角度範囲まで積分を拡大する必要があった。その結果,異なる投影角度からの投影データを加重し,対向データの補正を実行していた。
しかし,DynaCT 360であれば,その対向データ補正を考慮する必要がなく,360°の全周囲を実際の画像情報からフィルタ補正逆投影法を用いた3次元画像再構成を実行し,今までよりも画質完成度の高いCT Like Imagingを実現している。

図4 DynaCT 360のオフセット360°回転撮影
■術中支援ツールの最新情報
次に,体幹部領域におけるDynaCT画像を利用した術中支援ツールの最新3Dアプリケーションを紹介する。
1.syngo iGuide Needleguidance
肺,腎臓,肝臓,骨髄など各臓器の診断に用いられる針生検や,肝臓の悪性腫瘍の治療法である経皮的ラジオ波焼灼術(RFA)などの穿刺ガイドを行う術中支援ツールが,この“syngo iGuide Needleguidance”である(図5)。穿刺部位の体表位置から目的臓器までの距離,穿刺部位からの直上視野角度とその直交する側面視野の角度をソフトウェアによって自動計算し,目的臓器までの穿刺を正確に支援する。また,LV DynaCTやDynaCT 360画像であれば,穿刺部位の体表と目的臓器の位置を,大柄な被検者でもその撮影視野を十分に確保することが可能となる。

図5 LV DynaCT画像による針生検の術中画像(画像提供:Siemens AG)
2.syngo Embolization Guidance
iGuideと同様に,TAEの手技を迅速に支援するツールが,“syngo Embolization Guidance”である。術中に撮影されたDynaCT画像から,血管塞栓術で重要となる腫瘍血管の位置を容易に判別し,術中のマイクロカテーテルを速やかに目的血管まで誘導する(図6)。明確な目的血管の同定は,治療時間の短縮につながり,被検者負担の大きな要因となる被ばくと使用造影剤量の低減を手助けする。

図6 HCCへの支配血管の識別(画像提供:Siemens AG)
術中支援における3D画像の役割は大きくなってきており,その治療方法に応じたデバイスもさらなる進化を遂げている。つまり,血管内治療技術の進歩には,ハード/ソフトウェアの発達が必要不可欠な相互関係にあると思う。
われわれの技術開発が,血管内治療技術の進歩をさらに促進させられるように,そして,医療従事者の皆様へは,患者様へのさらなる質の高い医療を提供できるよう,われわれの技術力でサポートしていきたいと思う。