ホーム
inNavi Suite
シーメンス・ジャパン
Technical Note
腹部領域における「syngo.via」の 最新技術
2012年4月号
Abdominal Imagingにおけるモダリティ別技術の到達点
検査オーダーの発行から検査の実施,読影,レポート配信までの“ターンアラウンドタイム”を最短にすることをめざし,シーメンスはそれを実現するための1つのキーコンポーネントとして「syngo.via」を発表した。syngo.viaは,画像のポストプロセッシングアプリケーションをサーバ側に集約し,それらの画像処理をすべてサーバ側で実行することを可能にするソリューションである。
その機能的特長は,(1) Auto Processing,(2) Accessibility,(3) Anytime, Anywhereという3つのAによって実現される。syngo.viaは,電子カルテやRISからの検査情報を事前に取得し,サーバに画像が転送された時点で最適なアプリケーションを選択し,あらかじめ設定した読影に必要な画像処理を自動的に実施する。画像を呼び出すと,瞬時に3D・解析処理がされた画像が表示され,すぐに読影を行うことができる。この自動処理機能に加え,モダリティやさまざまなITシステムとの有機的な結合により必要な画像や診断レポートをいつでも,どこでも画像診断に携わる医師が利用できる環境を構築する基本性能を有する。
2011年にリリースされた新バージョンでは,従来の2倍以上のアプリケーションを追加し,そのアプリケーションの数は62と大幅に増加した。本稿では,その中でも腹部領域で評価の高い3つのアプリケーションについて紹介する。
■MM Oncology Engine
“MM Oncology Engine”は,肝臓,その他の臓器に対する比較読影用のアプリケーションとしてさまざまな機能を有している。前述の自動処理機能により,CT,PET等の過去画像の取得,位置合わせ,マルチモダリティ間でのフュージョンまでが読影準備として実施される。読影用にさまざまなレイアウトが存在するが,画像を表示した段階でアキシャルはもちろん,サジタル,コロナルのMPR画像が種々の同期設定がなされた状態で表示されるため(図1),ストレスなく読影を開始することができる。

図1 MM Oncology Engine
比較読影における便利な機能として,計測結果のリスト化が挙げられる。計測結果については,計測した位置の画像と一緒に,Finding Navigatorにレイヤーとして自動的にリスト化され,保存される。過去画像に計測結果があれば,Finding Navigator上で過去の計測結果をクリックすると,瞬時に過去の計測結果とその断面が表示される。同時に,同期した現在の画像も表示され,経時的変化をスムーズに確認することができる。また,計測結果は過去画像からコピーし,現在の画像に貼り付け,あるいは過去の計測条件と同一条件で計測できるようになっており,これらの情報は,自動的にsyngo.via上のレポートに反映される。レポート内では計測結果の変化率が自動計算され,時系列に並べられた計測結果とともに表として記載されるため,腫瘍の縮小,増大といった経時的評価が簡便にできる。この計測結果はHL7形式でも出力ができ,治療を行うTarget Volumeを指定する治療計画装置に転送すれば,計測値の再入力の手間をなくし,入力ミスを防ぐことができる。
実際の計測機能として,CT Segmentation,MR Segmentation,PET Segmentationを有しており,任意の断面上からワンクリックで腫瘍体積,RECIST(1.0,1.1)/WHO,SUV max,SUV avg,SUV peak等の計測が可能となっている。その中で,PET画像に用いられるSUV peakは1cm3球SUVの平均の最大値を計測できるため,従来までのSUV max,SUV avgに比べ,統計ノイズによる影響の少ない計測値を得ることができる。これにより,SUV maxに加えて総合的に評価することにより治療効果判定の信頼性,再現性の向上を期待できる。
■CT Dual Energy
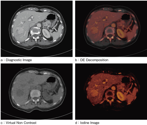
シーメンス社製のCT装置「SOMATOM Definition Flash」,あるいは「SOMATOM Definition」では,2つの異なる管電圧での撮影が可能である。高電圧と低電圧のデータをさまざまな形で解析することにより,造影剤や骨,軟部組織など,いままで分離が難しかった情報も分離,強調が可能である。最近では,腹部領域においてもDual Energy Imagingを用いた臨床応用が進んでいる。脂肪,軟部組織,造影剤の3つの組成を用いて解析を行う“Liver VNC”は,造影された画像から仮想的に,非造影画像の作成や,逆に造影剤を強調したIodine Imageを作成することができる(図2)。通常のCT画像だけでは肝臓等の腫瘍内の濃染状態が判断し難い場合にも,造影剤を強調するIodine Imageを用いることで,より詳しい病変情報を得ることができる。腫瘍濃染の情報が得られることは,がんの分化度判定へつながるであろう。

図2 CT Dual Energy
腎臓などの結石評価に用いる“Kidney Stone”(図3)にも新技術が追加された。従来までの結石の2分科に加え,結石の体積を自動測定する機能が加わり,結石破砕における治療計画への応用が期待される。また,結石が存在する断面の自動認識機能が搭載されたため,読影効率の向上が期待される。

図3 Kidney Stone
■Dynamic Angio
SOMATOM Definitionシリーズでは,経時的にボリュームデータを取得するAdaptive 4D Spiralという撮影が可能で,こちらの画像をハンドリングできるアプリケーションが“Dynamic Angio”である。Dynamic Angioでは,複数時相からなるデータの骨抜き,4D Noise Reduction,Motion Correctionが可能で,これにより,病変観察に不要な部分を除去し,ノイズの除去,位置合わせを行うことができる。上記処理済みの全データの4D再生を行うことで,肝臓等への血液の灌流状態を把握することができ,また,それぞれの位相データを任意に足し合わせることが可能なため,複数時相の血管状態を把握することができる。これらの機能を活用することで,肝臓等における腫瘍の栄養血管の同定や治療計画への貢献が期待される。
本稿では,syngo.viaの腹部領域向けのアプリケーションを紹介したが,新バージョンでアプリケーションが大幅に増加し,その他の領域においても多くのアプリケーションを有している。
今後はすべてのモダリティへの対応に向け,“Volume Perfusion”をはじめ種々のアプリケーションを搭載,また自動化していくが,単にアプリケーションを増やすのではなく,いかに業務の効率化が図れるか,また,検査オーダーの発行から読影・レポート配信までの時間“ターンアラウンドタイム”の短縮を図れるかを常に意識し,医療に携わるすべて方をストレスフリーに導く製品作りを続けていくことで,質の高い医療情報の提供,診断支援に貢献していけるものと考える。