シーメンス・ジャパン株式会社

ホーム の中の inNavi Suiteの中の シーメンス・ジャパンの中の Technical Noteの中の 東京慈恵会医科大学附属病院における頭部領域でのDynaCTの臨床経験

Technical Note

2005年10月号別冊付録
革新のインターベンショナル3Dイメージング DynaCT & AXIOM FDi concept

東京慈恵会医科大学附属病院における頭部領域でのDynaCTの臨床経験

東京慈恵会医科大学附属病院脳血管内治療センターは,安全で低侵襲な脳血管内治療の実現を目的に,新しい機器や治療デバイスの研究開発も行う脳血管治療専門の診療部門である。2005年5月に新型FDバイプレーン方式「AXIOM Artis dBA」が導入されるのと同時に,本格的な「DynaCT」の稼働が開始され,さまざまな臨床応用が検討されている。センター長である村山雄一教授に,血管内治療におけるDynaCTの有用性をうかがった。

ORアンギオシステムの導入

2003年11月,I.I.バイプレーン方式の「AXIOM Artis BA」が脳血管内治療専用装置として導入された。このシステムは村山教授の発案により,手術室(OR)フロアに設置されている。寝台に傾斜制御機構を持たせることで,同一寝台で脳血管内治療のみでなく,開頭手術も行えるシステムとなっており,世界初の頭部用ORアンギオ装置として稼働が開始された。手技中の不測の事態に備え,緊急時の対応性や安全性を高めることができるほか,脳血管内治療と開頭手術を併用した,最新のハイブリッド治療にも対応できるよう設計されている。

 

  DynaCTを積極的に運用して いる村山雄一センター長(前列中央)と脳血管内治療センターの先生方。「DynaCTの臨床評価」入江是明医師(後列右から2人目)や「三次元画像の精度評価」高尾洋之医師(前列左)など,技術面も含めた幅広いテーマに,脳外科医の立場から取り組んでいる。
DynaCTを積極的に運用している村山雄一センター長(前列中央)と脳血管内治療センターの先生方。「DynaCTの臨床評価」入江是明医師(後列右から2人目)や「三次元画像の精度評価」高尾洋之医師(前列左)など,技術面も含めた幅広いテーマに,脳外科医の立場から取り組んでいる。

東京慈恵会医科大学附属病院求められる高精度な三次元画像

このBAシステムの機能性や画像性能に関して,スタッフの先生方からさまざまな検討が加えられた。特に,脳動脈瘤の治療において不可欠となっている病変部の三次元表示に関しては,より正確かつ治療に適した表示形態が追究された。この点について村山教授は,「脳動脈瘤に対するコイル塞栓術においては,動脈瘤およびネック部の形状と大きさの正確な把握が不可欠です。このため,術中の三次元画像にも,目的に沿った多様な表示形態が求められます」と述べている。さらに2004年9月には,軟部組織の3D描出能向上を目的とした,DynaCTの原型とも言うべき特殊機能が試験的に導入され,アンギオ装置だけでなく,CTやMRIも含めた3装置間での精度評価が行われるなど,より正確で安全な治療をめざした三次元画像の検討が進められた。


DynaCTの運用開始

2005年5月,I.I.検出器を最新FD検出器に更新するため,新型FDバイプレーン方式「AXIOM Artis dBA 」が設置された。これに伴い,先行して試験稼働していたI.I.方式による軟部組織3D表示機能がFD方式へと発展し,本格的なDynaCTとしての運用が始まった。運用に関しては未知の部分も多いことから,頭頸部を中心に,出血有無の確認,狭窄・石灰化位置確認,留置ステントの描出,開頭手術前のナビゲーション用画像など,さまざまな用途における応用が検討され,また,I.I.検出器やCTとの画像の比較なども行われた。
これら一連の試験的とも言うべきDynaCTの運用を通して,村山教授は次のように評価している。
「血管内治療中にアンギオ装置を使って,CTのような画像がその場で生成できるDynaCTは画期的であり,安全性・侵襲性の観点から大きな有用性があります」
また,CTとの画質比較の点では,「軟部組織の描出能がCTのレベルまでには至らないというのは否めません。しかし,実際には体内に残留する造影剤の効果もあり,比較的良好なコントラストの画像が得られます。血管内治療中の使用においては,十分な画像が得られていると評価できるでしょう」と指摘した。

DynaCTの将来

「当施設でのOR対応アンギオシステムが典型的な例ですが,機器やデバイスには,“より安全で,より低侵襲な治療”を実現できるか,という視点での評価が求められます。この意味でDynaCTの意義は大きく,脳血管内治療において安全性を高め,さらに運用性も高める画像ツールとして,今後重要な選択肢のひとつになってくるでしょう」
治療の安全性を高めるためには,情報の精度を高めること,そして,あらゆる事態に備えた万全のシステムを整えておくことが不可欠だと語る村山教授。今後,DynaCTもその一翼を担うことが期待されている。


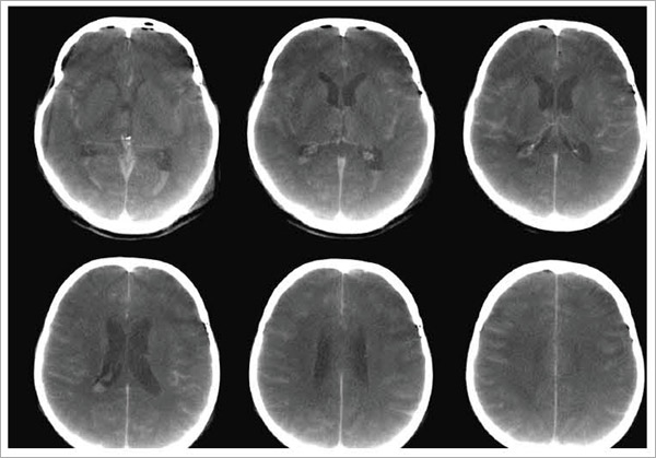
図1 クモ膜下出血(造影)
図1 クモ膜下出血(造影)
DynaCT/DAによるMPR(アキシャル像)

図2 AVM(造影)
図2 AVM(造影)
DynaCT/DSAによるVR画像
図3 頸椎狭窄患者への外科治療
図3 頸椎狭窄患者への外科治療

東京慈恵会医科大学附属病院
東京慈恵会医科大学附属病院
〒105-8471
東京都港区西新橋3-19-18
TEL 03-3433-1111(代表)
http://www.jikei.ac.jp/hospital/index.html