シーメンス・ジャパン株式会社

ホーム の中の inNavi Suiteの中の シーメンス・ジャパンの中の Technical Noteの中の 新潟大学医歯学総合病院における頭部領域でのDynaCTの臨床経験

Technical Note

2005年10月号別冊付録
革新のインターベンショナル3Dイメージング DynaCT & AXIOM FDi concept

新潟大学医歯学総合病院における頭部領域でのDynaCTの臨床経験

新潟大学医歯学総合病院では,血管撮影室の機器設備更新に伴い,最新のFD搭載装置が設置され,2005年5月からはDynaCTの稼働が開始された。脳神経外科部門の伊藤 靖総括医長と放射線部門の吉村秀太郎主任技師に,DynaCTの運用についてお話をうかがった。

血管撮影室に最新FD装置を導入

新潟大学医歯学総合病院では,老朽化してきた血管撮影室の機器設備更新に伴い,最新のFD搭載装置やIVR-CTシステム,画像ネットワーク設備などが一括して導入された。まず2004年末,脳血管撮影室に頭部用FD方式バイプレーン装置としては国内初の設置となる「AXIOM Artis dBA」が導入されている。続いて2005年3月には,隣接する腹部血管撮影室に,FD方式天井懸垂アンギオ装置と16スライスのMSCTとのコンバインによるIVR-CTシステム「AXIOM Artis dTA/Sensation 16 Sliding Gantry」が設置された。各撮影室は頭部専用,腹部専用に特化した形で各機器が構成されており,運用に当たる放射線部門,脳神経外科部門との協力体制もあり,高度医療に効率良く安全に対応できる検査治療環境が実現している。

  脳血管内治療を担当する脳神経外科分野の伊藤 靖総括医長(前列中央),放射線部の岡本浩一郎副部長(前列左端),大越幸和技師長(前列右端),吉村秀太郎主任技師(後列左端),ならびに血管撮影室技師スタッフの先生方。
脳血管内治療を担当する脳神経外科分野の伊藤 靖総括医長(前列中央),放射線部の岡本浩一郎副部長(前列左端),大越幸和技師長(前列右端),吉村秀太郎主任技師(後列左端),ならびに血管撮影室技師スタッフの先生方。

東京慈恵会医科大学附属病院DynaCTの運用開始

2005年5月,脳血管撮影用dBAシステム上に「DynaCT」が搭載された。従来,主に動脈瘤などの病変部描出に使用されていた三次元画像表示機能に,新たに周辺組織を含めた軟部組織の描出機能が加わったことになる。搭載後,直ちに実際の臨床においてDynaCT撮影が試行され,その描出能について検討が加えられた。この時のDynaCTへの印象について,脳神経外科分野の伊藤総括医長は次のように語っている。
「事前診断から出血が疑われていた患者さんに対し,手技前のDynaCT撮影を行いました。出てきた画像は思ったよりも良好に描出されており,予測された出血部位もわずかながら確認できました。これはいけるかも,というのが最初の印象です」
実際には安全性を考慮し,後にCT装置による撮影が行われている。その際,DynaCTとCTの画像が比較され,その評価を通して伊藤総括医長のDynaCTへの印象は確信に変わった。
「念のために撮影したCT画像を見た時に,DynaCTの描出能が十分であることを確信しました。CTほど良好ではないものの,血管撮影室で軟部組織画像が得られることに大きな可能性を感じました」
これらの経験を生かし,現在はIVRである血管内治療において,DynaCTが ルーチンで施行され始めている。「特に脳動脈瘤治療においては安全性を考慮し,術後のDynaCTによる画像確認は必須となっています。また,状況によっては術中DynaCTを施行し,より正確な治療のための判断材料として役立たせることもあります」と伊藤総括医長は語った。


放射線部門スタッフによるサポート

脳神経外科部門によるDynaCTの臨床応用と並行し,放射線部門では,画質と処理時間を考慮した最適条件の設定など,技術面,運用面における検討も加えられている。これらの意義について,放射線部の吉村主任技師は次のように述べている。
「照明方法の考案や治療用補助具の作製,さらに独自の被ばく管理機器の設置など,患者様が安全に,少ない負担で治療を受けてもらえるよう,撮影室の整備を行いました。同様にDynaCTにおいても,画質,被ばく,処理時間といった観点から検討を加え,使用目的に応じた最適な設定で撮影できるよう整備しておくことが,術者,そして,患者様の両方にとって必要だと考えています」

患者様の視点に立ったDynaCTの運用

より安全な治療を求める脳神経外科部門,そして,それを技術面で支える放射線部門。新潟大学医歯学総合病院では両者のチームワークにより,患者様に優しい検査・治療環境が構築されており,DynaCTも状況に応じて効果的に利用されている。


図1 塞栓術後(PVA form)のmeningioma
図1 塞栓術後(PVA form)のmeningioma

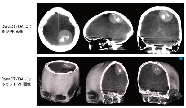
図2 脳腫瘍(造影)
図2 脳腫瘍(造影)
図3 頸動脈ステント(留置後)
図3 頸動脈ステント(留置後)

新潟大学医歯学総合病院
新潟大学医歯学総合病院
〒105-8471
新潟県新潟市旭町通1-754
TEL 025-227-2471
http://www.nuh.niigata-u.ac.jp/