ホーム
inNavi Suite
東芝メディカルシステムズ
Seminar Report
Open Bore 3T MRIと320列面検出器CTの最新臨床応用 320列面検出器CTの臨床応用 赤羽 正章
![]()
第46回日本医学放射線学会秋季臨床大会ランチョンセミナー
Open Bore 3T MRIと320列面検出器CTの最新臨床応用
第46回日本医学放射線学会秋季臨床大会が2010年9月18日(土)〜20日(月)の3日間,パシフィコ横浜で開催された。9月20日には,東芝メディカルシステムズ(株)共催のランチョンセミナーが行われ,倉敷中央病院放射線科の渡邊祐司氏が座長を務め,杏林大学医学部放射線医学教室の本谷啓太氏と,東京大学大学院医学系研究科放射線診断学の赤羽正章氏が講演した。
320列面検出器CTの臨床応用
赤羽 正章(東京大学医学部附属病院放射線部)

東芝メディカルシステムズ社製320列の面検出器を搭載したArea Detector CT「Aquilion ONE」は,Z軸方向16cm幅の面検出器の特長を生かした撮影方法や,先進的なアプリケーションを駆使した撮影が特長である。本講演では,面検出器を搭載したAquilion ONEの臨床応用とその可能性について述べる。
面検出器を搭載したAquilion ONEの可能性
320列面検出器の最大の特長は,Z軸方向の幅が16cmあることだ。64列までの検出器に比べて,320列では明らかに検出器の幅が広がり,"面"としてとらえられる大きさになった。これによって,Aquilion ONEではアキシャルスキャンで広範囲の撮影が可能になり,ヘリカルスキャンで問題となっていた,Z軸方向のボケや時相の相違,体動によるバンディングアーチファクトが解消された。
さらに,高画質なアキシャルスキャンの連続撮影によって,ダイナミックボリュームスキャンと言われる4D画像の作成,心電同期ヘリカルスキャンによるフラッシュヘリカルスキャンが可能である。また,320列面検出器を,通常の透視として利用する可能性も考えられる。法律的な問題をクリアする必要があるが,CTの検出器を透視に使うことでインターベンションでの有用性が広がると考えている。
面検出器による高画質のアキシャルスキャン
●心臓撮影
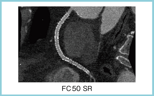
Aquilion ONEのアキシャルスキャンでは,1回のスキャンで心臓全体をカバーし,ブレのない高画質のデータが得られる。1心拍で撮影されたボリュームデータから再構成を行うため,従来のような心位相の相違や位置の違いによるズレがない画像が得られる。また,不整脈に対しても,システム側で自動的に対応する機能を搭載し,全体として心臓検査のワークフローが改善する。さらに,1回転1心拍の撮影によって,被ばく線量も従来の1/3〜1/4に低減されている。図1はステント留置後のRCAの画像だが,ステント内腔がきれいに描出されている。ステント留置症例では,高分解能の画像再構成によって,さらにステントのアーチファクトを減らし,ズームによって内腔の評価が可能になる。
高心拍症例では,時間分解能の向上のために,セグメント再構成を使った撮影を行う。Aquilion ONEでは,従来のマルチスライスCTとは異なり,どの位置でも同じタイミングのスキャンデータから画像再構成を行うため,セグメント再構成でも時相の相違によるアーチファクトがない画像を得ることができる。図2は,左側がセグメント再構成,右側がハーフ再構成の画像で,同じ生データからの再構成だが,セグメント再構成の方がRCAやLADの分枝がブレなく描出されている。セグメント再構成法は,320列のようなボリュームスキャンが可能な装置において,最も威力を発揮する再構成法だと考えられる。

図1 1心拍のアキシャルスキャンによる冠動脈CTA

図2 Aquilion ONEでのセグメント再構成とハーフ再構成の比較
●小児撮影
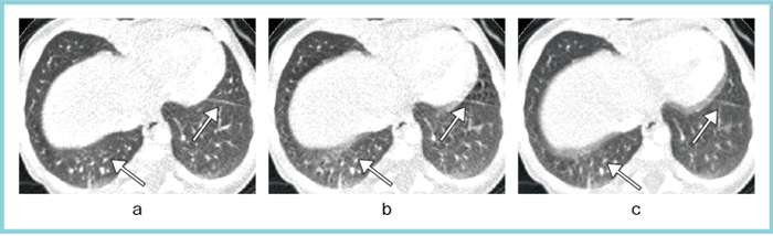
1回での広範囲の撮影は,小児の胸部撮影でもメリットが大きい。小児の撮影では,通常のヘリカルスキャンでは高速撮影を行っても呼吸や心臓の動きによって位相が変わり,バンディングアーチファクトが発生する。Aquilion ONEでは,1回のボリュームスキャンとハーフ再構成によって時間分解能が向上し,ブレの少ない画像が得られる(図3)。
ハーフ再構成の際には,使用するデータを正しく選択することが必要である。われわれの施設では,模擬心電波形が出せる装置などを利用して,心電波形を入力しながら撮影を行い,再構成の際に波形情報を参照して,最適な時相のデータを抽出できるように調節する工夫をしている。図4は,aが最良の部分を選択したハーフ再構成,bが運任せの中央リコン,cがフルリコンだが,aでは肺も心臓もブレのないフェーズが選択できている。これによって,小児の血管系の3D画像なども精度の高い血管像の再構成が可能で,先天性心奇形や大血管奇形の診断に有用である。

図3 小児撮影でのボリュームスキャンとハーフ再構成による胸部画像

図4 心電波形を参照したハーフ画像再構成
a:ハーフリコン(最適),b:ハーフリコン(中央),c:フルリコン
ダイナミックボリュームスキャンの応用
アキシャルスキャンを連続して行うダイナミックボリュームスキャンでは,時間分解能,空間分解能の高い画像が得られる。図5は手指の外傷で,術前に血行動態の確認のために撮影したが,3D CTアンギオを4フェーズ撮影し,4Dデータを作成した。
また,放射線治療の分野ではAquilion ONEの連続撮影データから,ターゲットの動きを把握して照射精度を向上する研究を,当院の中川恵一准教授,山下英臣助教らと行っている。肺の腫瘤に対する放射線治療の際に,呼吸の位相による結節の動きをAquilion ONEで収集し,確率密度分布を計算する。この計算に基づき同期照射を行うことで,腫瘍に絞った放射線治療が可能になり,高い治療効果と少ない合併症が期待できる。
さらに,ダイナミックボリュームスキャンでは,造影剤を使用したパーフュージョンデータの収集が期待される。1つの臓器をカバーするような上腹部のパーフュージョンでは,呼吸による変動が課題となるが,Aquilion ONEではレジストレーションによって動きを補正する手法を搭載しており,精度の向上が期待されている。

図5 手指外傷のダイナミックボリュームスキャン
フラッシュヘリカルスキャン
心電同期フラッシュヘリカルスキャンは,レトロスペクティブな心電同期再構成を前提としたローピッチ撮影法で,広範囲な高速撮影が可能になる(図6)。Aquilion ONEでは,160列でテーブルスピードが約4.5cm/秒のヘリカルスキャンができる。特長としては,(1) 管電流変調を,"心位相70〜80%のみ"のような設定にすることで,必要な心位相でのみ曝射できる。X線の照射をプロスペクティブにコントロールすることで,ステップ&シュート法と同様な考え方で飛躍的な被ばく低減が得られること,(2) ハーフ再構成を前提とすることで,通常よりテーブル移動速度を上げることができ,毎秒4cmを超える高速スキャンでヘリカルデータが得られること,などが挙げられる。

図6 心電同期フラッシュヘリカルスキャン
これによって,トリプルルールアウトと言われる,大動脈疾患と肺塞栓と冠動脈疾患を同時に撮影する造影CTをより広範囲に検査がすることが可能になる(図7)。さらに,管電流変調を工夫することで,従来のCTでは難しかった大動脈乖離の腎動脈のフラップの描出や,心臓の周囲の肺の評価などの臨床応用が可能になることが期待される。
心電同期フラッシュヘリカルスキャンを心臓領域以外にも適応させるためには,さらなる被ばく低減と,心電図の装着を簡便にする必要がある。被ばくに関しては管電流変調や再構成法の工夫によって対応が可能で,心電計の電極は上肢への装着でも波形をピックアップでき,より手軽に心電同期スキャンを行うことができると考えられる。

図7 胸部造影CTによるトリプルルールアウト
CTガイド下のインターベンション
Aquilion ONEの320列の"面"検出器としての特性を生かしたCTガイド下インターベンションに関しては,法律的な問題があり,臨床応用にまで至っていないが期待は大きい(図8)。CTガイド下生検やドレナージの際に,カテーテルの先端を経時的に観察したい場面はよくあるが,CT透視は被ばくの観点で多用できない。Aquilion ONEの面検出器では,CT透視の数百分の1の被ばくで,通常の二次元の透視のような画像が得られる。近年,フラットパネルディテクタ搭載の血管撮影装置によるCTライクイメージの利用が広がっているが,画質に優るCTにおいて透視画像が利用できるようになれば,インターベンションにおける利便性の拡大が期待される。

図8 面検出器の透視画像によるインターベンション