東芝メディカルシステムズ

ホーム の中の inNavi Suiteの中の 東芝メディカルシステムズの中の Seminar Reportの中の TOSHIBA 3Tの初期臨床経験ー循環器領域を中心に 似鳥俊明 杏林大学医学部放射線医学教室教授

Seminar Report

第21回日本心血管画像動態学会ランチョンセミナー2
循環器CT・MRI診断の最前線

第21回日本心血管画像動態学会が2011年1月21日(金),22日(土)の2日間,愛媛県県民文化会館(ひめぎんホール)で開催された。初日には東芝メディカルシステムズ社共催のランチョンセミナーが行われ,藤田保健衛生大学医療科学部放射線学科の安野泰史氏を座長に,岩手医科大学附属病院循環器医療センター循環器放射線科の吉岡邦浩氏が「Aquilion ONE」,杏林大学医学部放射線医学教室の似鳥俊明氏が「Vantage Titan 3T」の最新トピックスを報告した。ここでは,循環器領域を中心に3T MRIの初期臨床経験を報告した似鳥氏の講演を概説する。

TOSHIBA 3Tの初期臨床経験ー循環器領域を中心に

似鳥 俊明(杏林大学医学部放射線医学教室教授)

似鳥 俊明
似鳥 俊明
1978年岩手医科大学医学部卒業。東京大学医学部附属病院外科系研修医。83年に杏林大学放射線医学教室助手となり,89年から米国カリフォルニア大学サンフランシスコ校(UCSF)留学。94年に杏林大学医学部放射線医学教室助教授,2001年から現職。

当院では,東芝メディカルシステムズの3T MRI「Vantage Titan 3T」(以下,Titan 3T)の臨床1号機が,2010年9月1日から稼働している。Titan 3Tの特徴の1つとして,オープンボアであることが挙げられる(図1)。患者開口径が71cmと非常に広いため,体格の大きな患者さんや閉所恐怖症の患者さんなどでも検査が可能である。また,患者開口径が広いことで,検査時に患者さんとガントリの間に空間ができるため,緊急性のある患者さんや,モニターなどの器具がつけられた状態の患者さん,通常の体位がとれない患者さんにも適用できる。さらに,Titan 3Tでは,東芝独自の静音機構“Pianissimo”が搭載されており,稼働時の音が1.5T MRI並みに小さいという特徴もある。 本講演では,Titan 3Tの臨床的有用性について循環器領域を中心に報告する。

図1 オープンボアが特徴のVantage Titan 3T
図1 オープンボアが特徴のVantage Titan 3T

3T MRIの技術的特徴と“Multi-phase Transmission”

3T MRIでは,どれくらいNMR信号が増すのか,2つの物理の法則に基づいて説明する。まず,磁化ベクトルは静磁場強度に比例するという法則がある。また,受信コイルに誘導される電流は周波数に比例するという法則も関与する。この磁束がコイルを横切るときに発生する起電力は磁束の時間変化に比例するというFaradayの電磁誘導の法則によると,3T MRIの共鳴周波数は,1.5T装置の2倍となる128MHzとなる。これらのことから,信号強度は静磁場強度の二乗に比例し,3T MRIの信号強度は1.5T装置と比較して,理論上最大4倍に増加する。
しかし,静磁場強度が上昇すると,以下の要因でSNRが低下する。すなわち,(1) 被検体から出る熱ノイズ,(2) 装置電気回路から発生するシステムノイズ, (3) 磁化率効果,化学シフト効果の増大でスピンの周波数と共鳴周波数との差が広がることにより発生するノイズ,(4) 共鳴周波数の上昇によるT1 緩和時間延長が縦磁化の回復を遅らせ信号強度を下げる,といった要因である。このため,3T MRIのSNRは1.5Tの約2倍が限界とされている。
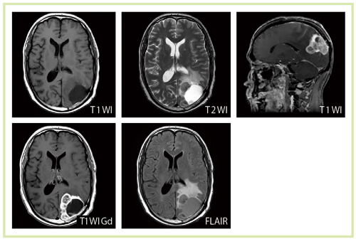
また,3T MRIでは,RF磁場の不均一が増大するという大きな問題がある。このため,3T MRIが登場して以来,頭部領域などでは有用性が高いものの,腹部領域や循環器領域への適用は難しいとされてきた。メーカー側もこの問題の解決に取り組んでおり, Multi-phase Transmissionと呼ばれる技術が開発された。RF強度分布を均一化して,画像ムラを低減する技術である。東芝メディカルシステムズでは,本邦初の3T装置に,現在世界でも最もスペックの高い,RFアンプ2台,4ポート給電を採用した(図2)。Titan 3Tでは,この技術によって画像ムラを低減した画像が得られるようになり,従来,3T MRIの課題であった上腹部,胸部領域の撮像にも適用できるようになった(図3,4)。

図2 RF強度分布を均一化するMulti-phase Transmission
図2 RF強度分布を均一化するMulti-phase Transmission

図3 脳腫瘍症例における種々のシーケンスによる画像(Titan 3T)
図3 脳腫瘍症例における種々のシーケンスによる画像(Titan 3T)

図4 乳がんの多発肝転移症例(Titan 3T)
図4 乳がんの多発肝転移症例(Titan 3T)

循環器領域における Titan 3Tの初期臨床経験

3T MRIによる心臓は,susceptibility artifactの影響やSAR(specific absorption rate)の制約のために,従来は撮像が困難な領域であった。しかし,Titan 3Tでは非常に明瞭な画像が得られている(図5〜8)。

図5 急性心筋梗塞症例(60歳代,男性)のT2強調画像 (脂肪抑制black blood TSE)(Titan 3T) SNRや浮腫心筋,正常心筋のCNRが向上
図5 急性心筋梗塞症例(60歳代,男性)のT2強調画像
(脂肪抑制black blood TSE)(Titan 3T)
SNRや浮腫心筋,正常心筋のCNRが向上

図6 心臓MRI(1)(Titan 3T)
図6 心臓MRI(1)(Titan 3T)

図7 心臓MRI(2)(Titan 3T)
図7 心臓MRI(2)(Titan 3T)

図8 87bpmの高心拍な被検者の心臓MRI(Titan 3T)
図8 87bpmの高心拍な被検者の心臓MRI(Titan 3T)

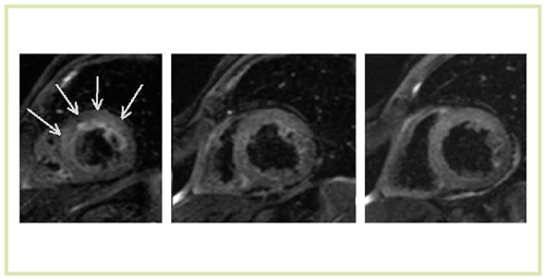
心臓MRIにおける3T装置では,1.5T装置で主流となっていたTrueSSFP法が利用しづらい。これは静磁場とRF磁場の不均一や,SARの制約を受けるためである。3T装置によるシネMRIでは,susceptibility artifactやbanding artifactが目立つようになる(図9)。この問題については,中心周波数(f0)をシフトさせることで,アーチファクトを抑えるといった回避策が考え出された。中心周波数(f0)を0ppm,1.0ppm,1.5ppmと変化させると,図10のようにbanding artifactが画面上方にシフトすることがわかる。心臓の場合,関心領域が狭いので,心臓以外にbanding artifactをずらすことで,良好な画像を得ることができる(図11)。
しかし,まだ改善の余地も残されている。例えば,心筋perfusion MRIの場合,TrueSSFP法を用いると局所磁場不均一による擬似defectが出現し,画質不良となる。そのため,現状ではIR-FFE法で代用している。一方,心臓MRIにおける3T装置では,組織のT1緩和時間が延長することで,tagging法における標識が長時間持続するという大きな特徴がある(図12)。

図9 3T MRIによる正常ボランティアのシネMRI 磁化率アーチファクトやバンディングアーチファクトが目立つ。 TR/TE=4.2/2.1,FA46
図9 3T MRIによる正常ボランティアのシネMRI
磁化率アーチファクトやバンディングアーチファクトが目立つ。 TR/TE=4.2/2.1,FA46

図10 banding artifactの回避策
図10 banding artifactの回避策

図11 SSFP法によるシネMRI(Titan 3T) 陳旧性心筋梗塞 TR/TE=3.4/1.7,FA42
図11 SSFP法によるシネMRI(Titan 3T)
陳旧性心筋梗塞
TR/TE=3.4/1.7,FA42

図12 1.5Tと3Tでのtagging法の比較 T1緩和時間の延長により,tagging標識が長時間持続する。
図12 1.5Tと3Tでのtagging法の比較
T1緩和時間の延長により,tagging標識が長時間持続する。

3Tの高SNRを thin sliceに生かす

さらに,心臓MRIにおける3T装置の特徴として最も強調すべきは,SNRの高さをthin sliceに生かすことができることである。1.5T装置では,thin slice画像は実用的ではなかったが,3T MRIでは積極的に使えるようになった(図13,14)。thin slice 撮像のメリットを,われわれは心臓の遅延造影法として,whole heart late gadorinium enhancement法に用いることとした。マルチスライスCTの撮影のように,心臓を薄いスライス厚で撮像し,それを再構成することで,短軸像,長軸像,四腔断像など,いろいろな方向からの観察が可能になる。1.5T装置の場合,スライス厚が3mm,スライス間補間が1.5mmであったが,3T MRIではそれぞれ1.5mm,0.75mmとなり,高い空間分解能を持った再構成画像を得ることができる(図15)。
このほか,非造影のMRAにおいても,FBI法,Time-SLIP法とも,3T MRIでは高精細に描出することができる (図16)。

図13 多発性硬化症症例(Titan 3T)
図13 多発性硬化症症例(Titan 3T)

図14 肝細胞がん症例(Titan 3T) 肝細胞相 TR/TE=3.7/1.3 MX=588*640 NS=100 ST=2 Time=19s
図14 肝細胞がん症例(Titan 3T)
肝細胞相
TR/TE=3.7/1.3 MX=588*640 NS=100 ST=2 Time=19s

図15 Whole heart late gadorinium enhancement法 a:1.5T,b:3T
図15 Whole heart late gadorinium enhancement法
a:1.5T,b:3T

図16 非造影MRA(Titan 3T) a:下肢動脈MRA(FBI法) TR/TE=3423/60 ST=1.0 NS=100 b:腎動脈MRA(Time-SLIP法) TR/TE=4.8/2.4 ST=1.0 NS=80
図16 非造影MRA(Titan 3T)
a:下肢動脈MRA(FBI法) TR/TE=3423/60 ST=1.0 NS=100 b:腎動脈MRA(Time-SLIP法) TR/TE=4.8/2.4 ST=1.0 NS=80

まとめ

本講演では,循環器領域を中心にTitan 3Tにおける初期臨床経験を報告した。非常に微細なNMR信号をいかに増やすかという努力を続けてきた技術者の方々に,改めて敬意を表したい。

Seminar Report一覧へ

▲ページトップへ