ホーム
inNavi Suite
東芝メディカルシステムズ
Seminar Report
検診におけるデジタルX線テレビ装置の有用性とFPD搭載型への期待 高橋伸之 船員保険北海道健康管理センター診療検査部放射線科
![]()
第27回診療放射線技師総合学術大会/第18回東アジア学術交流大会ランチョンセミナーLS-5
FPD搭載デジタルX-TVがもたらす臨床価値 ―ここ10年の技術的進歩と今後への期待―
第27回診療放射線技師総合学術大会/第18回東アジア学術交流大会が,2011年9月16日(金)〜18日(日)の3日間,青森市文化会館とホテル青森を会場に開催された。2日目に行われた東芝メディカルシステムズ(株)共催のランチョンセミナーでは,財団法人青森県総合健診センター医療技術部放射線課の稲葉雅志氏が座長を務め,船員保険北海道健康管理センターの高橋伸之氏と,慶應義塾大学病院中央放射線技術室の都築史郎氏が講演した。
検診におけるデジタルX線テレビ装置の有用性とFPD搭載型への期待
高橋伸之(船員保険北海道健康管理センター診療検査部放射線科)

2010年の厚生労働省の通達により,診療放射線技師の積極的活用として「画像診断における読影の補助を行うこと」が明記されたことは,がん検診の場に大きな影響を及ぼしている。本講演では,読影の補助に有用であると考えられるデジタルX線テレビ装置の特長について述べるとともに,当施設の取り組みについて報告する。
■デジタル撮影の特長
読影の補助として期待されることは,精度向上であり,特にデジタルの特長が精度向上に結びつくと考える。デジタルの特長は数多くあるが,中でも精度向上に大きく寄与するものとして,(1) 撮影像をリアルタイムに確認できること,(2) フィルムレス,(3) 過去画像を容易に参照できることの3つを挙げたい。(1) は,撮影時の利点であり,(3) は読影時の利点である。
■リアルタイム確認の有用性
当施設では,「検査中に見逃したがんを読影時に拾い上げることは,至難である」という意識で検診にあたっている。日本消化器がん検診精度管理評価機構が規定する基準撮影法で検査を行うと,基準撮影法1は約4分,基準撮影法2は約10分を要する。一方,読影にかかる時間は,当施設で言えば1分程度であり,その所要時間の違いを見るだけでも,検査中に病変を拾い上げることが重要であることがわかる。当施設では,拾い上げたがんの約90%は検査中に発見している。つまり,撮影者が追加撮影およびレポート記載をしたものが,約90%あるということである。
基準撮影法では,最初に行う背臥位正面位撮影時が,病変の拾い上げに最も有効なタイミングであると考える。その理由は,仰向けで余分な力が入らないことに加え,最初の撮影のため,まだ十二指腸へのバリウムの流出が少なく,かつ蠕動も活発でないので障害陰影が少なく,全体をチェックしやすいためである。
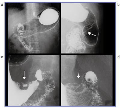
背臥位正面位撮影時,異常所見が認められ,追加撮影をして検査中に病変を拾い上げた画像を供覧する(図1,2)。
●症例1(図1)
背臥位正面位(a)ではわからず,回転中に気づいた症例である。通常見られない異常な線(b←)の部分を意識して,後半に追加撮影を行った。腹臥位圧迫して病変を描出し(c),不整なバリウム斑と周辺の厚みのある隆起などの病態,形態を撮影像として残すことで(d),医師の読影に役立つ。

図1 症例1
●症例2(図2)
a→にいびつなバリウムの溜まりが認められる。検査後半に蠕動が激しくなり,撮影のタイミングが合いにくいため,連続撮影を行い(b),撮影像を得た症例である。
なお,追加撮影のポイントとしては,異常所見の部分を正面視し,その部分にバリウムを流す,椎体が重なって見えにくければ少し椎体を外す,の3点を意識すると良いと考えられる。

図2 症例2:連続撮影
■撮影者の重要な役割
このように,検査中の病変の拾い上げ,追加撮影が非常に重要である。病変の拾い上げが撮影者の技量に直結することも,デジタルの特長と言える。
前述したデジタルの特長を改めて説明すると,1つは撮影像をリアルタイムに確認できることである。背臥位正面位は病変に気づきやすいタイミングではあるが,実際,短時間の透視観察では拾い上げが難しい症例も数多くある。その場合,透視に加え撮影像をよく観察することで,透視時間を延長することなく病変の拾い上げを可能にする。特長の2つ目は,特に圧迫時などに多いが,イメージした撮影像を得るために複数回撮影する場合にも,フィルムレスのためコストを考えることなく実施できる点である。
また,検査で病変を見逃さないことの重要性は当然だが,必要のない精密検査を減らす,つまり擬陽性を減らすことも重要である。医師が読影する画像は検査中に確認できるものであるので,あいまいな画像のために要精密検査判定となるようなことはあってはならない。不明瞭な画像であったり,何か疑いが残るような画像は,検査中にチェックできるので,随時,追加撮影をして解消することが撮影者の責任であると言えよう。
「読影の補助」には大きな責任も含まれるが,デジタルの有用性が非常に発揮できるものであると言える。当施設では,フィルムからデジタルに移行したことで,要精密検査率が,約10%から5%弱に減少している。



■過去画像参照の有用性
過去画像の参照に関しては,胃部においても有用である。それは,カテゴリー分類や画質管理,撮影法の検討,統計的な検討にも有用であり,症例の遡及的検討は当然不可欠である。これらの作業において,簡便に過去画像を参照できれば時間や労力を大幅に短縮できるが,これは,デジタルの大きな特長の1つである。そして,これらをトータルに行うことで,スキルアップにもつながり,その結果,精度向上に貢献すると言える。
■FPD搭載型の実力
以上のような特長により,デジタル装置は検診に貢献しているが,I.I.-DRの画質,特に解像度に満足していない人もいるように思う。
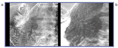
そこで,登場するのがFPD搭載デジタルX線テレビ装置である。図3,4は同一受診者の比較画像であるが,I.I.(a)に比べ,FPDの画像(b)の解像度が向上していることがわかる。また図5aは,一見すると,陥凹境界が明瞭であり,それに随伴する帯状隆起ということでは,未分化型癌のように見えるが,拡大してみると(図5b)正常粘膜よりも粒の小さな顆粒状陰影が観察され,辺縁に薄く染み出し所見が認められることから,分化型癌であることがわかる。100万画素I.I.では,このような細部の描出は難しい。
このように,FPDは高い解像力を持ち,かつデジタルの特長を有していることから,今後,期待できる装置であるが,透視画像の画質や速射性,経済性のさらなる向上が望まれる。
これらの要望に応える装置「Raffine」が,昨2010年,東芝メディカルシステムズ(株)から発売された。当施設でも2011年8月より同装置を導入している。Raffineでは,解像度の高い透視像,撮影像を得ることが可能となっているが,今後は高画質によるデータ容量の増加について検討が必要である。サーバを増設するにもコスト,設置スペースの問題があり,今後のサポートを,同社には期待したい。