ホーム
inNavi Suite
東芝メディカルシステムズ
Seminar Report
当院における機器評価と装置メーカに期待する技術革新 都築 史郎 慶應義塾大学病院中央放射線技術室
![]()
第27回診療放射線技師総合学術大会/第18回東アジア学術交流大会ランチョンセミナーLS-5
FPD搭載デジタルX-TVがもたらす臨床価値 ―ここ10年の技術的進歩と今後への期待―
第27回診療放射線技師総合学術大会/第18回東アジア学術交流大会が,2011年9月16日(金)〜18日(日)の3日間,青森市文化会館とホテル青森を会場に開催された。2日目に行われた東芝メディカルシステムズ(株)共催のランチョンセミナーでは,財団法人青森県総合健診センター医療技術部放射線課の稲葉雅志氏が座長を務め,船員保険北海道健康管理センターの高橋伸之氏と,慶應義塾大学病院中央放射線技術室の都築史郎氏が講演した。
当院における機器評価と装置メーカに期待する技術革新
都築 史郎(慶應義塾大学病院中央放射線技術室)

当院では,東芝社との共同研究として1987年にDR装置1号機を導入以来,数々の変遷を経て,現在はFPD装置を用いて高精細な画像を得るに至っている。本講演では,その過程でのエピソードを紹介するとともに,FPD装置の特性・機能を十分に発揮するための診療放射線技師(以下,技師)の役割について考えていく。
■当院の撮影装置デジタル化の変遷
今から30年前,当院の熊倉賢二医師が微細がんを撮影できるX線TV装置SHZを東芝社と共同開発した。そして,熊倉医師とともに杉野吉則医師がDRの開発に携わり,87年に共同研究用DR装置1号機が導入されたが,この装置は撮影条件が0.1秒に限定されていた。その後,90年にはフォトタイマー,サブトラクション,連続撮影などのデジタル機能をほぼ備えた装置が開発され,93年にはCCDRとなり,DRの時代を迎えることになる。
FPD装置は,2001年にX線TV装置DAA-400Aに搭載し,2002年にCアーム型Ultimax(14インチFPD搭載),2008年にZEXIRA(17インチFPD搭載)を導入した。I.I.-DRと比べ,FPD装置はスリムになり,さらにCアームと組み合わせることで,非常に大きな力を発揮する。
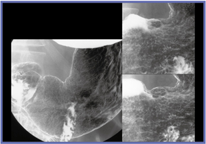
FPD装置1号機は,透視が見えにくい状態で撮影されたが,非常に精細な画像を得ることができた(図1,2)。偶然にも被検者が胃がんUc(表面陥凹)であったことも,評価を行う上で良い条件となった。1号機の評価は,非常にきれいに写るの一言に尽きる。透視が難しいことが大きな課題となっていたが,98年に現在の透視技術の完成に至った。
![]() 図1 FPD装置1号機の撮影像 わずかな表面陥凹が確認できる。 |
![]() 図2 FPD装置1号機の撮影像 アレアが喪失した部分が広がった表層拡大型胃がん |
■FPD装置を最大限に活用するための診療放射線技師の仕事

FPD装置の特性や機能を十分に発揮するための,技師の仕事について報告する。
1)とにかくきれいに写る
FPD装置は,消化管撮影画像において画期的な高精細を実現した。そして,さまざまな理論上の有用性には矛盾がなく,これまでの装置とは決定的に違うと言える。
Cアームと組み合わせると,アームを振ったときにSIDの距離が広がってしまうが,図3にあるように,SIDが90〜110cmの幅では限界解像度に大きな開きがないことを利用して,Cアームを有効に活用している。Cアームと合体することで,FPDの機能を120%以上発揮することができる。
2)きれいに写せばきれいに写る
きれいに写るものも,きれいに写そうとしなければ写らないのであり,技師は良い画像を撮ることを意識しなければならない。バリウムをきれいに付着させる(図4),Cアームを活用して病変を正面からとらえる(図5)といったことにきちんと取り組むことが重要である。
![]() 図4 バリウムの付着が良好な画像 |
![]() 図5 アーム回転による病変観察 |
3)きれいに写すために何をするか
きれいに写すためには,(1) ルーチン撮影でも精密検査の手法をできる限り取り入れること,(2) 撮影手技を会得すること,(3) バリウムの流れを観察すること,の3点が重要であると考える。

●精密検査時の当院の工夫
図6に,精密検査時の主な撮影法と当院の工夫を示す。
当院では,鎮痙剤を使い,後壁撮影の前に前壁を撮影している。その利点として,空気十分な時期での撮影が有効であること,小腸への流出が最小限で撮影できること,前壁撮影による小腸流出が少ないこと,360°回転直後の前壁粘膜はバリウム付着が良く,最適な撮影時期であることが挙げられる。ただし,腹部を圧迫するためにゲップが出やすく,注意が必要である。
●撮影手技の会得
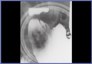
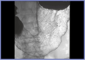
精度向上に直接つながる熟練した撮影技術の会得には,日常的にびらんを撮影することが有効である。びらんは,アレアとともに胃の凹凸の中では最小サイズであるため,これを意識的に撮影することが日々の訓練となる。がんは,日常的にはほとんど遭遇しない(発見率0.3%程度)が,びらんの所見は18%程度ある。当院のびらん所見を調べたところ,形状はたこいぼびらんが80%を占め,占拠部位は83%が前庭部に集中していた。前庭部前壁二重造影,前庭部空気少量二重造影,圧迫,後壁二重造影などでびらんを撮影することが,技術向上に有効であろう。前庭部のバリウムと空気が入れ替わる一瞬のびらん撮影(図7),ていねいに圧迫してびらんをびらんらしくとらえる(図8)など,びらん撮影はテクニックを磨く上で重要である。
図9は,前庭部びらん撮影技術が生かされ,前壁圧迫フトンが有効であった一例で,透視中に一瞬見えたUc様の病変をとらえることができた。
図10は,一瞬見えた透亮像をフトン圧迫して撮影したもので,ルーチンでも精密検査に近い撮影が可能である。
図11のような所見を発見した場合は,ローリングをしてはならない。小腸流出が少ない前壁撮影で得られる情報をすべてとらえておく必要があり,何も考えずにローリングをすると,小腸流出による障害陰影で撮影困難となる。
![]() 図7 前庭部空気少量二重造影 |
![]() 図8 圧迫撮影 |
![]() 図9 症例1:ルーチン撮影で発見された Uc様病変 |
![]() 図10 症例2:検診で発見されたUc病変 |
![]() 図11 症例3:検診で発見されUc病変,ローリング不可例 |
|
●バリウムの流れの観察
バリウムの流れ,付着の確認には,背臥位の体位変換が重要である。左右への交互変換を積極的に行い,バリウムの流れを観察することで,積極的にびらんを撮影することができる。
■精度の高い画像を得るために
バリウム検査では,内視鏡検査を意識して,精度の高い画像を得るような撮影をしなければならない。現在では,検診で所見があれば直接撮影を経ずに内視鏡検査に回る。だからこそ,検診で最高の画像を撮影する必要があると考える。
当院の環境としては,東芝メディカルシステムズ(株)のFPD装置や,粘膜示現能の優れた高濃度低粘性バリウムがあり,あとは技師が,精密検査の画像を目標として努力しなければならない。技師は検診の現状を改革する気概で,消化管撮影における現状の検査精度を引き上げ,内視鏡検査と共存し,検査を補完し合うだけの精度があることを明示していかなければならないだろう。