ホーム
inNavi Suite
東芝メディカルシステムズ
Seminar Report
腹部領域におけるVantage Titan 3Tの使用経験 高橋 哲
![]()
第47回日本医学放射線学会秋季臨床大会ランチョンセミナーLS-3
3テスラMRIの新たな可能性
第47回日本医学放射線学会秋季臨床大会が,2011年10月21日(金)〜23日(日)の3日間,海峡メッセ下関・下関市生涯学習プラザ(山口県下関市)で開催された。21日に行われた東芝メディカルシステムズ(株)共催のランチョンセミナーでは,神戸大学大学院医学研究科内科系講座放射線医学分野教授の杉村和朗氏を座長として,神戸大学医学部附属病院放射線科の煖エ哲氏と,東京女子医科大学画像診断学・核医学講座准教授の田嶋強氏が講演した。
腹部領域におけるVantage Titan 3Tの使用経験
高橋 哲(神戸大学医学部附属病院放射線科)

本邦で3T MRIの臨床応用が開始されてから約6年が経過し,臨床機として普及段階となってきた。本講演では,今回,神戸大学医学部附属病院に導入された,東芝メディカルシステムズの3T MRI「Vantage Titan 3T」(以下,Titan 3T)の腹部領域,特に泌尿器科疾患の臨床応用経験について報告する。
■前立腺領域で3T MRIに期待,要求されること
3T MRIでは,静磁場強度の上昇に伴う空間分解能と時間分解能の向上が期待される。また,T1緩和時間の延長によって,MRAでのコントラストの向上や,非造影MRI,ASL(arterial spin labeling)などでの高い信号強度を生かした撮像が可能になる。
前立腺領域で3T MRIに要求されることは,くるみ大と小さな臓器である前立腺を高い空間分解能で撮像することである。また,高い時間分解能を生かして,詳細なダイナミックスタディや,従来は時間的な制約から適応が難しかった3Dボリュームデータの収集などが現実的になることが期待される。さらに,より高いb値での詳細な拡散強調画像(DWI),高コントラスト分解能による血流情報の収集,非造影技術の応用やMRスペクトロスコピーなどへの期待も大きい。
Titan 3Tでは,T2強調画像による3Dボリュームデータの収集が可能なFASE3D_MPVがあり,前立腺ダイナミックスタディにおいて良好な脂肪抑制を可能にするEnhanced Fat Free,非造影血管描出技術であるTime-spatial inversion pulse(Time-SLIP)法を搭載している。
■FASE3D_MPV
●2Dと3Dの比較
前立腺MRIの撮像プロトコルの基本は,2DのT2強調画像(2D-TSE)による3方向の撮像である。しかし,最近の報告では,3DのT2強調画像(3D-TSE)での撮像でも2Dと同等の腫瘍の検出・診断能があるとされている。これらの報告では,学術的な比較の必要性から3D-TSEと2D-TSEとのスライス厚をそろえて検討されており,3D-TSEの1mm以下の薄いスライス厚での画質や,ボリュームデータによるインタラクティブなMPRによる診断能まで含めた検討はされていない。
当院でも,2DのT2強調画像の多断面と,3DのT2強調画像にDWIやダイナミックスタディを組み合わせて比較読影を行い,前立腺がんの深達度および精嚢浸潤の診断能について検討を行ったが,2Dと3Dで診断能に差は見られなかった。
3D-TSEによるT2強調画像では,2DのT2強調画像と同等,あるいはそれ以上の診断能があると考えられる。撮像時間についても,3T MRIでは3Dの撮像時間が短縮され,2Dの3方向からの撮像に比べて効率の良い検査が可能になった。

●Titan 3TでのFASE3D_MPVによる前立腺がん症例画像
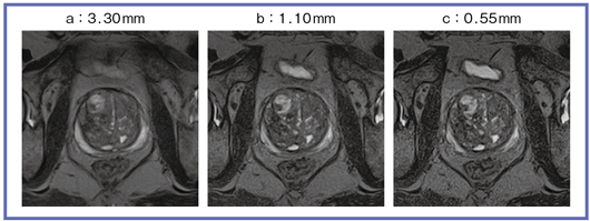
Titan 3TのFASE3D_MPVでは,in-planeの解像度は2Dとほぼ同等で,非常に薄いスライスの画像が撮像できる。図1は,2D-FSE+JETで撮像した3mmスライスの画像との比較だが,FASE3D_MPVでは0.9mmでの撮像が可能となっている。3D-TSEでは,前立腺辺縁域の信号が高くなるため,腫瘍が明瞭に描出される。また,薄いスライスとコントラストの向上によって,移行域の結節性過形成の腺成分を反映するT2強調高信号も観察できる。今後の3Dシーケンスの調整によって,さらなる画質の向上が期待される(図2)。
前立腺がんの全摘術では,前立腺尖部における断端陽性の可能性が高く,外科医に対して前立腺尖部の形状や周囲の組織との位置関係を三次元的に提示することができれば,より精細な術前シミュレーションが可能になると考えられる。3D撮像は,単に2Dを置き換えるだけではなく,MPRなどボリュームデータを生かすことにより,より詳細な情報を臨床側に提供することが期待される。

図2 FASE3D_MPVでMPRの再構成スライス厚を変化させたもの

■Enhanced Fat Free
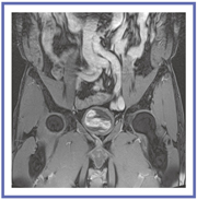
Enhanced Fat Freeは,Titan 3Tに搭載された脂肪抑制技術である。脂肪選択的に90°以上の励起を行い,Spoiler Gradientによって横磁化成分を分散し,残存する縦磁化成分に再度脂肪選択的に90°励起を行いSpoiler Gradientにより脂肪成分からの信号を分散し,均一な脂肪抑制効果を得る方法である。Enhanced Fat Freeによって,前立腺のダイナミックスタディでも均一な脂肪抑制が得られており,造影効果もはっきりと確認できる。これはFOVの大きな冠状断の場合でも同様で,広範囲かつ均一で良好な脂肪抑制が実現されている(図3)。
■非造影技術

東芝の非造影技術である“Time-SLIP法”は,RFパルスによるラベリングで造影剤を使用することなく血流を描出するが,前立腺領域では骨盤から前立腺周囲への血管が明瞭に描出される(図4)。Time-SLIP法の信号は,T1緩和時間や血流などさまざまな情報を含んだものであり,今後の検討が重要と考える。
■Open Bore Magnet

腎臓の手術は,側臥位で行われることが多く,最近はlaparoscopic surgery(腹腔鏡下手術)が増えている。腹腔鏡下手術では,鉗子やカメラを刺すポートの位置決めが重要であり,術前に血管や臓器の正確な位置関係の評価が必要となる。
術前の画像検査は仰臥位で行われるため,手術の際の体位の違いによる乖離が問題となっていた。Titan 3Tの71cmオープンボアによって,仰臥位と左右側臥位で撮像を行い,腎臓および腎血管の移動・偏位を比較してみた(図5)。腎動脈は,大動脈からの分岐角が仰臥位と側臥位では大きく変わっていることが観察できる(図6)。また,腎臓も同様に,側臥位で上となる側の腎が,腹側へ偏位していた(図7)。
このことから腹腔鏡下手術による腎臓の部分切除術では,外科医が腎門部へのアプローチを想定する際に,従来の画像情報では実際の臓器の位置情報にズレが生じていたことが示唆された。側臥位での撮像が可能なTitan 3Tのオープンボアによって,より正確な術前シミュレーションが可能になると期待される。
![]() 図6 検査体位による腎血管の移動 |
![]() 図7 検査体位による腎臓の偏位(右腎) |
■まとめ
これまで高度で特殊な装置と位置づけられてきた3T MRIは,普及段階に入ったと言える。今後,腹部,泌尿器科領域において臨床医の要求に応える画像情報の提供が大きく期待される。