ホーム
inNavi Suite
東芝メディカルシステムズ
Seminar Report
新機能を活かした診療…拡がる臨床応用 丸山 紀史(千葉大学医学部附属病院消化器内科)
![]()
日本超音波医学会第85回学術集会 ランチョンセミナー1
腹部領域におけるAplio500の展望
日本超音波医学会第85回学術集会が2012年5月25日(金)〜27日(日)の3日間,グランドプリンスホテル新高輪で開催された。初日に行われた東芝メディカルシステムズ(株)共催のランチョンセミナー1では,大阪がん循環器病予防センターの田中幸子氏を座長に,千葉大学医学部附属病院消化器内科の丸山紀史氏と,国立がん研究センター中央病院放射線診断科の水口安則氏が講演した。
新機能を活かした診療…拡がる臨床応用
丸山 紀史(千葉大学医学部附属病院消化器内科)

東芝メディカルシステムズの超音波診断装置「Aplio 500」は,高画質を実現する新画像エンジンHigh Density Beamformingなどの高度な技術を採用したハイエンド装置であると同時に,非常に使いやすい設計となっている。ハイエンド装置としては比較的コンパクトで移動もしやすく,ベッドサイドでも活用できる。超音波装置本来の特性である簡便性と,高性能という両極の特性を併せ持つ装置だと言える。
Aplio 500には,臨床において有用な多くのアプリケーションが搭載されている。本講演では,新しい撮像技術である“Fly Thru”と,異なる画像同士の対応技術“Smart Fusion”について,当院における使用経験を紹介する。
■Fly Thru
Fly Thruは,管腔内の視点から管腔壁を見るように表示できるアプリケーションで,膵管,胆管,尿管,血管,乳管,消化管など,幅広い領域で用いられる。中枢から末梢へ,あるいは末梢から中枢へと,任意の方向から,管腔内をあたかも飛ぶように観察することができる(図1)。

図1 Fly Thru画面
67歳,女性,肝内胆管・総胆管拡張(十二指腸乳頭がん)
4Dプローブ「PVT-675MV」を用いて取得したボリュームデータを元に映像化し,視点は任意の管腔内を中心線に沿って移動する(図2)。自動走査と手動走査を選択でき,断層像を同時に表示することで内部構造も観察できる。従来の超音波3Dは,無限遠に視点を置いた平行投影法であり,奥行き感をつかむことが難しかった。それに対し,Fly Thruは遠近法に準ずる画像表示法であるため,内視鏡的な画像を表示することが可能となっている(図3)。図4のような数mmのポリープも,隆起性病変として明瞭に表現することができる。
![]() 図2 Fly Thruのシェーマ |
![]() 図3 Fly Thruの原理 |
![]() 図4 大腸ポリープ(↑)の描出 |
●Fly Thruの応用:肝表面の撮像
Fly Thruは本来,管腔内を観察するために開発されたアプリケーションであるが,考え方を変えると,“離れた視点から対象を見る画像表示法”としてとらえることもできる。そこで,水槽底面に0.2mm刻みで段階的に高低差を付けたファントムを用いて,Fly Thruの映像化の検討を行った。どの程度の高低差があれば凹凸として認識できるかをブラインドで読影したところ,わずか0.4mmの高低差があれば,Fly Thruで認識できることが明らかとなった(図5)。

図5 ファントム実験:凹凸(高低差)映像化の基礎的検討
この分解能の高さを生かして臨床応用する対象として,われわれが注目したのが肝臓表面の撮像である。肝臓の表面の凹凸は,びまん性肝疾患などの診断に有用である。しかし,直接観察する腹腔鏡は侵襲性が高く,現在では診断のためだけに施行することは皆無である。そこで,肝表面像の観察に対してFly Thruを応用することを検討した。Fly Thruは,輝度の差で画像化するため,観察対象の手前が相対的に低輝度であることが望ましいことから,腹水を有する症例において画像化を試みた。すると,肝硬変におけるびまん性の凹凸がわかりやすく表現され,ほぼ正常な肝臓と,肝硬変の肝臓の違いは一目瞭然であった(図6)。

図6 Fly Thruから見た肝臓の表面
従来のBモード断層像でも,肝臓表面の凹凸の存在は十分に把握できるが,面としての凹凸の存在を把握できるFly Thruには,立体像としての利点があるものと考える。図7は,移植目的で摘出した肝臓と,移植前にFly Thruで撮像した表面像であるが,非常によく対応していることがわかる。

図7 肝硬変の肝表面像
どの程度の腹水が存在すれば撮像可能かを検討したところ,肝表面と腹壁の間に最低1cm程度の腹水があれば映像化が可能であることがわかった。また,Fly Thruの信頼性を調べるため,同一の術者が同じ症例を2回撮像した画像を多症例用意し,それらを第三者が読影して同一症例を選ぶテストを行った。このテストを術者間,また,読影者間で検討したところ,すべて一致する結果となり,Fly Thruが非常に再現性に優れていることが示された。
●Fly Thruの応用:肝臓内部の撮像
腹水のある症例で肝表面のみを観察するとなると,適応に制限が出てくるため,ある工夫を行った。図8 aは,肝がんの治療部がくぼみとして表現されているが,実はこれは肝表面ではない。Bモード像(図8 b)が示す通り,腫瘍の存在部位は肝臓内部である。
この撮像方法は簡単で,STCをあるレベルまでゼロにすると,信号がなくなり,仮想の腹水域を作ることができる(図9)。さらに,造影を加えると,肝臓自体は造影され,治療部は造影されないことから,図8aのような画像を得ることができる。肝硬変の症例でも,造影を加えることで,STC調整で人工的に作成した断面に存在しうる凹凸を表現することができる(図10)。このような工夫を施すことで,Fly Thruの適応が広がるものと考える。

図8 肝臓内部へのFly Thruの応用(肝がん治療部)

図9 STCをあるレベルまでゼロにして仮想腹水域を作成

図10 肝臓内部へのFly Thruの応用
●Fly Thruの課題
このように,管腔以外においても有用なFly Thruであるが,課題もある。
1つは,保存したボリュームデータ上での動画であるため,真の意味でのリアルタイム性があるとは言えない。また現在は,得られる情報は凹凸のみであるため,輝度の情報など付加的な情報が得られるようになれば,占拠病変などの検出も可能となると考える。加えて,非常に細かい凹凸まで表現できるので,びまん性肝疾患の鑑別などに応用する際に,どの程度の凹凸があるかを画像上で計測できれば,適応の幅が広がるものと考える。
■Smart Fusion
Smart Fusionは,リファレンスとなるCTあるいはMRIの画像と超音波画像を対応させて位置情報を共有することで,腫瘍の同定,位置認識を支援するシステムである。映像処理は磁気の送受信により行われるが,Aplio 500は送信機(磁場発生装置)が装置に一体化しており,伸縮するアームを取り出すだけで非常に簡便である(図11a)。また,受信機は非常に小さく,プローブのケーブルの根元に装着するだけであり,通常の操作も違和感なく行うことができる(図11b)。

図11 Smart Fusionの送受信機
●Smart Fusionの手順
Smart Fusionの手順はいたってシンプルで,タッチスクリーンの“Registration”を押した後,リファレンス画像と超音波画像の軸を合わせ,対象となる部位を画像上で設定するだけで完了する。当院ではその後に,同定した部位が正しいかを確認するために,造影(Contrast study)を付加している。
図12は,下大静脈に近接して再発を認めた肝がんの症例である。複数回の治療後,かつ手術後であったことから,超音波での腫瘍の同定が困難であったため,Smart Fusionを施行した。

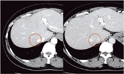
図12 症例1:51歳,女性,B型,慢性肝炎〜肝硬変,肝S7,11mm,HCC(造影CT)
リファレンスにはCT画像を用いた。軸合わせを行い,対象となる共通部分を選択することで同期が完了する。その後,同定部位確認のために造影を行うと,早期相では強く濃染され,後期相では低造影となり腫瘍部であると確認できた(図13)。

図13 症例1:造影による確認(早期相)
同病巣は,かなり深部で観察は容易ではなかったが,Smart Fusionを用いることで確実に病変部を描出することができ,無事にRFAを施行することができた。
●診断から穿刺治療まで支援
Smart Fusionは,通常のコンベックスプローブ以外に,穿刺用コンベックスプローブ「PVT-350BTP」,アタッチメントを付けて穿刺を行うマイクロコンベックスプローブ「PVT-382BT」に対応している(図14)。

図14 Smart Fusionに用いるプローブ
a:穿刺用コンベックスプローブ「PVT-350BTP」 b:マイクロコンベックスプローブ「PVT-382BT」
診断から穿刺治療までの全過程をSmart Fusionを用いて行った症例を呈示する(症例2)。腫瘍の検出にはコンベックスプローブ,その後の治療には穿刺用コンベックスプローブを用いている。
本例は,RFA治療部周囲に再発した例で,まず大動脈を軸に描出し,腹腔動脈,上腸間膜動脈の基始部でRegistrationを行った(図15)。腫瘍部付近にある嚢胞を目安に画像を同期させ,腫瘍部分をターゲットとして指定した後,造影を行って,指定部分が早期相で造影されることを確認した。

図15 症例2:71歳,女性,非B非C型,肝硬変,肝S5,HCC,RFA治療部周囲の再発
本症例は,治療部に近接した局所再発で,治療部と再発部の認識は容易ではなかったが,Smart Fusionを用いることで腫瘍部を明瞭に認識することができた。RFA時も,○で囲まれた部分を目安に穿刺し,確実に焼灼することができた。Smart Fusionは,診断から治療までを支援する有用なツールであると言える。
以上のようにSmart Fusionは,周辺機器が非常に簡便に設置され,手順も簡略・簡素化されている。正確な腫瘍の位置を検出することができるため,診断から治療までの全過程において有用なシステムであると考える。