ホーム
inNavi Suite
東芝メディカルシステムズ
Seminar Report
よくみえる画像できれいに診断 〜日々進歩する画像技術〜 水口 安則(国立がん研究センター中央病院放射線診断科)
![]()
日本超音波医学会第85回学術集会 ランチョンセミナー1
腹部領域におけるAplio500の展望
日本超音波医学会第85回学術集会が2012年5月25日(金)〜27日(日)の3日間,グランドプリンスホテル新高輪で開催された。初日に行われた東芝メディカルシステムズ(株)共催のランチョンセミナー1では,大阪がん循環器病予防センターの田中幸子氏を座長に,千葉大学医学部附属病院消化器内科の丸山紀史氏と,国立がん研究センター中央病院放射線診断科の水口安則氏が講演した。
よくみえる画像できれいに診断 〜日々進歩する画像技術〜
水口 安則(国立がん研究センター中央病院放射線診断科)

Aplio 500 にて新たに可能となった仮想内視鏡表示の「Fly Thru」と,従来の「Cavity」を用いた肝胆膵領域疾患に対する3D診断について,および新たなBモード画質向上のための技術である「Beam Enhance Technology」の有用性について検討した。
■超音波による仮想内視鏡表示「Fly Thru」
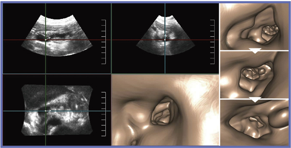
Fly Thruは,3Dプローブで得られる超音波のボリュームデータから管腔の内腔面を再構成する仮想内視鏡的表示法で,管腔内を飛行するように観察するという意味で“Fly Thru”と名付けられた。胆膵領域の三次元画像表示法としては,超音波のボリュームデータからネガ/ポジ反転して,管腔臓器の構造を三次元再構成表示するCavity法が以前から行われてきた。われわれは,この技術を用いて胆管,膵管の描出を行うUSCP(US cholangiopancreatography)を提唱している。胆膵系のCavity(USCP)とFly Thruをあわせて提示して,超音波による“内”と“外”の3D画像について検証する。
●症例1:胆管拡張(60歳代,男性)
胆管の拡張のみで,腫瘍や結石は認められず,5〜7年経過観察を行っている症例である。図1aは,Cavity(USCP)による画像で,肝門部〜肝外胆管部分の再構成画像である。胆管は意外と薄く,主として左肝管に拡張があることがわかる。Bモード画像でも,胆管の拡張の状況は把握できる。しかし,Cavity(USCP)では全体像の把握が容易である。
同部位のFly Thruによる画像では,下部胆管から肝門部方向に移動しながら肝管合流部を観察することができる。胆管内では,腫瘍や結石を認めず,拡張のみであることがわかる。さらに,合流部では左肝管と,前区域枝,後区域枝に向かう分岐を確認できる(図1b)。Fly Thruでは,それぞれの分枝を選択して,左肝管,前区域枝,後区域枝と視点を移動して内腔を観察することができ,通常は胆管鏡でなければ得られない情報を簡単に描出できる。Fly Thruで,肝門部から左肝管の中に入ると,上流側までスムーズに追うことができた(図2)。

図1 症例1:胆管拡張,肝管合流部のCavity(USCP)(a)とFly Thru(b)

図2 症例1:左右肝管合流部から左肝管に向かうFly Thru画像
●症例2:自己免疫性膵炎およびIgG4関連の硬化性胆管炎(70歳代,男性)
Bモード画像で,膵全体の腫大と低エコー化,膵体部に狭小化した主膵管を認め,自己免疫性膵炎と診断した。胆管をBモード画像で確認したところ,左右肝管合流部から左肝管に向かう部分に壁の肥厚像と狭窄を認めた。また,胆嚢全体の壁肥厚像を認めた。さらに,肝外胆管も拡張しており,これは膵頭部腫大のためと考えた。これらの所見よりIgG4関連の硬化性胆管炎と診断した(図3)。

図3 症例2:IgG4関連硬化性胆管炎のBモード画像
CD:胆嚢管,GB:胆嚢
Cavity(USCP)で肝門部を中心に再構成した画像では,左肝管の根部の狭小化が確認できた(図4)。Fly Thruでは,下部胆管から肝門部に向かって視点を移動させ,肝管合流部から左肝管,前区域枝,後区域枝に入ろうとすると,左肝管は狭くなって入りにくい部分があり,しかし,そこを抜けると開けて管腔が認識できる(図5)。一方で,前区域枝には入れず,後区域枝には入ることができた。Bモードで狭くなっていた部分は,Fly Thruでは内腔の認識ができなかったと考えられる。管腔臓器を外から見るCavity(USCP)と,中から観察するFly Thruの両方を使うことで,新しい情報が得られると考えられる。

図4 症例2:硬化性胆管炎のCavity(USCP)画像
左肝管の根部が狭小化している(↓)。

図5 症例2:硬化性胆管炎,Fly Thru画像(左右肝管合流部から左肝管へ)
●症例3:膵管内乳頭粘液性腫瘍(IPMN,70歳代,女性)
IPMN(膵管内乳頭粘液性腫瘍)の症例である。主膵管は体部から尾部にかけて拡張しており,Bモード画像でも主膵管の尾側端に複数の乳頭状の腫瘤を確認でき,主膵管型IPMMと診断した(図6c↓)。短軸方向でみると内腔面が狭くなり,乳頭状の腫瘍が内腔に張り出していることがわかる(図6d↓)。

図6 症例3:膵管内乳頭粘液性腫瘍(IPMN)のBモード画像
MPD:主膵管
Cavity(USCP)では,主膵管拡張の状態を表現することができる。しかしながら,当然,内腔面の変化はわからない(図7)。膵頭部から膵尾部方向にFly Thruすると,内腔に突出した複数の乳頭状腫瘤を認識できた(図8)。

図7 症例3:IPMNの主膵管(MPD)のCavity(USCP)画像

図8 症例3:IPMNのFly Thru画像(膵頭部から膵尾部方向へ)
Fly Thruの課題は,表示された内腔面が本当に実際の内腔面を表しているかである。Fly Thruの内腔面の表示は,閾値の設定によって変更できる。現在は閾値は自動設定されており,本当にそれが最適かどうか検者の眼で判断できないのが実情である。また,現在の解像度では,腫瘍や胆石などを判別することが難しい。Fly Thruによって診断に新たな情報を提供するためには,さらなる解像度の向上が望まれる。また,手技などに関する要望として,動画の保存時間(飛行時間)の延長(現在は20秒),表示のバリエーションを増やすことなどを挙げたい。3D画像には,“使いやすい”,“わかりやすい”,“診断しやすい”だけではなく,2Dでは得られない“診断に必要な情報”が求められる。
■Beam Enhance Technology(仮称Boost Imaging)
Beam Enhance Technologyは,超音波ビームのサイドローブを抑制することで,深部感度を向上させ,浅部のコントラスト分解能を上げる新しい技術である。近位部ではサイドローブを低減することでアーチファクトを減らし,遠位部では感度を向上してホワイトノイズを軽減する(図9)。

図9 Beam Enhance Technology(仮称Boost Imaging)(東芝メディカルシステムズ提供)
●症例4:S1転移性肝腫瘍(80歳代,男性)
S1に大腸がんの転移性腫瘍(35mm)を認める。図10のBモード画像右下の数字はBeam Enhance Technologyの適用レベルを示す。0(適用なし)〜4の5段階を選択可能である。レベル3,4ではフレームレートが下がる傾向がある。図10は,PVT-674BT/differential6.0のコンベックスプローブによるBeam Enhance Technologyである。適用なし(a)に比べてレベル1(b)と2(c)では,腫瘍の境界がより明瞭に描出され,輪郭不整像を示していることがわかる。また,腫瘍より深部の構造物もより明瞭に描出されている。differential8.0では,適用なし(a)に比べて,レベル2(b)では腫瘍の認識が容易である。明らかな違いを認識することができる(図11)。
将来的にはBeam Enhance Technologyの適応によって,より高い周波数のプローブを選択することが可能になり,病変の深さによって使用するプローブを変えることなく検査が可能になることが期待される(図12)。

図10 症例4:S1転移性肝腫瘍のBeam Enhance Technologyのレベルによる画像比較

図11 症例4のdiff8.0での画像比較

図12 病変の深さによるプローブ選択の変化
超音波診断の基本はBモード画像である。Bモード画質はfundamental B mode→ティッシュハーモニック(THI)→ディファレンシャルTHIへと,時代とともに進化してきた。しかし,ゴールはまだまだ先である。画像技術の進歩が,すべての受診者のためになるように,今後も超音波技術の発展に期待したい。