ホーム
inNavi Suite
東芝メディカルシステムズ
別冊付録
新。超音波診断 Vol.2
胎児エコーの最新動向
![]()
胎児エコーの最新動向
ママに見せる超音波,求められる画像
千葉喜英(Women's Clinic 千葉産婦人科)
胎児画像は,病態生理学的知識に基づく説明のための画像と,ママが想像する赤ちゃん画像の両者が求められている。いまや胎児心臓診断の実施時期は妊娠15週であり,ダイナミックフローの高分解能は評価できる。一方で,妊娠末期の胎児も対象であり,遠距離描写のためDifferential THIなどの技術は期待してよい。また,3D,4Dのグラフィック画像は,自由な描写が可能であるがゆえに,処理技術の説明性を確保したい。
ママに見せる超音波
現在の産婦人科診療では,胎児をママやパパに見せることから医療が始まると言ってよい。画像は人々に多くの情報を短時間で供給することができる手段である。インターネットをはじめ,あらゆるメディアに画像が頻繁に使用される理由がここにある。マスメディアの世界でも多すぎる情報が時に人々の生活や文化に混乱を起こすことはあったが,人々は上手にその混乱を解決してきた。インターネットに流れるコンピュータグラフィックのアニメ美女と現実とを混同する人は少ないだろうが,発表されている宇宙からの映像となると怪しい部分もあるかもしれない。
産婦人科超音波画像をめぐっても,多すぎる情報が一時的に混乱や誤った判断を与えることはあるが,われわれはそれらを解決していかねばならない。例えば,胎児の心臓病が見つかったとき,ママやパパに画像を見せながら,病気の状態,治療の方法を説明する。そして,うまく治療が成功すれば,将来は安定した生活ができるとの説明をする。この説明により,両親の医療への理解と協力を得ることができる。この説明を正当化するためには,画像はわれわれの持つ解剖学的知識と病態生理学的知識にできるかぎり一致していてほしい。
一方で,超音波画像を見せることにより,ママやパパの感情面の高揚を医療上の有益につなげる試みがある。これが最初に話題になったのは,胎児の性別を両親に伝えることの有益性についての思想であった。その思想とは,ママやパパは胎児の性別を知ることによりさらに母性や父性の自覚に目覚め,医療に有益であるとする思想である。最近話題の3Dや4D画像も,医療診断上の効果よりも,ママやパパに見せる効果をより重視している傾向にある。この場合,医療従事者の解剖学的知識よりも,ママやパパの現実の赤ちゃんから想像される胎児の姿に一致させるよう画像が作られているので,そのことを十分理解した上で観察しなければならない。お腹の中で,右前方から光が当たっている胎児は現実にはあり得ない。また,4D画像で足の先が見えないからとの理由で,この胎児は四肢欠損であるとする医療従事者はいない。ところが,これが上唇裂のような微細な構造診断となると,スムージングなどの画像処理技術のあり方や,使用する医療従事者やママ,パパへの説明方法が大きな課題となる(図1)。

図1 妊娠10週2日,経膣4D動画像
産婦人科医院のホームページ宣伝には大いに使える。
NTをめぐる話題
NT(nuchal translucency:胎児後頸部浮腫)とは,妊娠初期の胎児の後頭部から後頸部の浮腫のことを言う。NTの多くは循環のアンバランスによって生じた皮下浮腫と考えてよい。国によっては,染色体異常のスクリーニングとしてNTを使っている場合があるが,NTを直接染色体異常と結びつけることにより,誤解と,正しいとは言えない判断を生むことがある。例えば,NTだけで人工妊娠中絶が選択されることはどう考えても正しくない。だからといって,「ここの施設ではNTを見ない」,もしくは,「見ても患者に伝えない」という思想も,科学を根拠にした医療とは言いがたい。
NTがあっても,児になんら疾患が認められない場合が70%ある。これは,何らかの一過性の循環異常により生じた皮下浮腫と考えられる。一絨毛膜双胎の一児あるいは両児に一過性の頸部浮腫を見ることはしばしば経験する。
単一臍帯動脈も染色体異常のマーカーとされる場合があるが,単一臍帯動脈により循環不全を来し,頸部浮腫(NT)が発生することもある。
NTが観察される可能性がある状態を記述すると,
(1) 正常胎児の一過性の循環不全
(2) 心疾患を合併する胎児の循環不全
(3) 染色体異常に伴う心疾患による循環不全
(4) 頸部リンパ管?胞
(5) 染色体異常に伴う頸部リンパ管?胞
(6) 感染症に伴う一過性の循環不全
(7) 双胎の循環不全
などが考えられる。いずれも胎児病を診断する立場からは重要な事項であるので,この議論は,NTを見たらさらに胎児診断を進めることが結論となる。NTを観察する場合,十分な分解能を持った装置で観察する。特に羊膜とNTとの鑑別が重要となる。できるかぎり羊膜が全周囲に観察できる条件設定が必要である(図2〜4)。
![]() 図2 染色体正常,正常経膣分娩 羊膜とは別にNTが観察される。 この症例は,単一臍帯動脈があり, それによる循環不全がNTの原因と推定された。 |
![]() 図3 単一臍帯動脈 図2と同じ症例。 膀胱の両側に臍帯動脈が観察されるが, この症例では右側1本のみ。妊娠16週。 |
![]() 図4 正常な臍帯動脈 膀胱の両側を通る2本の臍帯動脈を描写。 |
胎児心疾患の診断
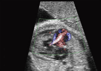
医療従事者の間で話題になっているのみならず,ママたちの書くブログにもNTの話題が載る。このことが胎児心疾患の診断時期に影響を与えた。羊水による染色体検査の実施を勧められている,あるいは自ら考えているママたちをカウンセリングするにあたって,胎児心疾患の存在,もしくは否定は重要な情報である。羊水による染色体検査は妊娠16週に実施されることが多いので,超音波による胎児臓器のスクリーニングもこれに合わせて行われることが多くなった。図5,6に示す症例は,NTが見つかり,引き続き胎児超音波精査を行ったところ,妊娠15週で両血管右室起始と診断された。染色体検査の結果はTrisomy18。
この時期の胎児心臓の観察では,経膣超音波と,経腹超音波の両方を使用するのが好ましい。ダイナミックフローのような,分解能に優れた血流表示が必須である。心臓が近くにあれば,経膣超音波の方が分解能に優れるが,胎児の左右の認識が困難なことがある。妊娠16週胎児心臓スクリーニングでの観察項目は,(1) 四腔断面,(2) 大動脈の起始部,(3) 肺動脈の起始部,(4) 両大血管の走行,(5) 大動脈アーチの追跡である。白黒画像とダイナミックフローの両方を使えば理解が得やすい。
NT,単一臍帯動脈,胎児心疾患,さらに染色体異常は,互いに関係がある場合がある一方,独立している場合もあるので,それぞれの疾患あるいは状態の精査は独立して検討することが要求される。例えば,単一臍帯動脈による循環不全が頸部の浮腫(NT)の原因であることはありうるので,統計学的な考え方では単一臍帯動脈とNTとは独立した変数とはなり得ない。言い換えると,単一臍帯動脈とNTの両方があっても,染色体異常の確率が高いとは言えない。このことは,科学的に染色体異常を否定するには,染色体検査を行うことが必須であることを意味する。
もちろん,染色体検査を行うか行わないかは,科学的実証主義以外にも,ママやパパの考え方,国や宗教によって異なる人工妊娠中絶の許容条件など多くの因子が関与するので,十分な,そして公正なカウンセリングが求められる。
出生後の管理体制により大きく児の予後が左右される疾患に,重症の先天性心疾患がある。胎児心疾患の診断は,ある程度意識を持って診断に当たらねば異常に気が付かない。ここに,胎児の心疾患の診断を特別に考えねばならない理由がある。図7は,NTがあり,単一臍帯動脈,子宮内発育遅延があった。胎児心臓の精査では,大動脈の騎乗が見つかった。出生後の診断はファロー四徴症。
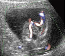
胎児心臓の四腔断面,およびそのカラードプラ法併用の画像で容易に気が付かれる疾患がある。三尖弁閉鎖不全を伴った巨大右房がそれで,心室中隔欠損を伴わない肺動脈閉鎖や肺動脈狭窄に伴うことが多い。心原性の胎児水腫になることも多い(図8)。
![]() 図5 Trisomy18 この症例の頸部には多?胞なNTが観察された。 |
![]() 図6 Trisomy18 右室起始の大動脈を示す。妊娠15週の心臓スクリーニングで大動脈, 肺動脈とも右室起始(DORV)が認められた。羊水染色体検査の結果はTrisomy18と診断された。 |
![]() 図7 大動脈騎乗,妊娠27週 染色体検査は正常核型。 ほかに単一臍帯動脈,子宮内発育遅延, 妊娠初期にNTがあった。 |
![]() 図8 巨大右房と三尖弁閉鎖不全,妊娠19週 心室中隔欠損を伴わない肺動脈狭窄。本人の意思で染色体検査は行っていない。 エプスタイン奇形とされることもあるが,巨大右房により弁の付着位置異常のように見えることがあり,病理学的診断においても意見が分かれることが多い。 |
妊娠前の超音波診断
妊娠に至る前から,超音波による観察がなされる。卵胞の大きさの確認は,排卵日を予測する上で重要である(図9)。
卵管通過性の確認には,X線透視下で行う卵管造影に代わって,超音波造影剤を用いた超音波子宮卵管造影(SonoHSG)もよく利用されるようになった。子宮内への造影剤の注入は,バルーン付シリコンチューブ(ヒスキャス,8Fr:住友ベークライト社製)を用いる(図10)。
子宮腔内の描写は,バルーンの付いているチューブよりも,バルーンなしのチューブが使いやすい(アトム栄養カテーテル,4Fr:アトムメディカル社製)。造影は,単純な生理食塩水による陰性造影の方が明瞭な画像が得られる(図11)。

図9 排卵日の予測
卵胞の大きさが最大径20mm以上のとき,排卵が予測される。
![]() 図10 レボビストを用いた超音波子宮卵管造影 両側の子宮角部が同一断面になるように画像位置を調整し, 少量ずつ造影剤を注入する。 |
![]() 図11 生理食塩水による陰性造影 不妊で管理中,子宮内にポリープが見つかり,着床不全の原因になりうると推測。 ポリープ切除術,子宮内膜掻爬の後,妊娠した。 |
求められる超音波画像
胎児臓器の詳細な画像が,より早期に求められるようになった。心臓を例にとると,妊娠15〜16週で,四腔断面はもとより,大血管の走行,大動脈アーチの連続性まで観察できる装置が求められる。カラードプラが併用できることはもちろんであるが,カラードプラ法の分解能の点で白黒画像とほぼ同等の分解能がほしい。この点でダイナミックフロー技術はかなり評価してよい。状況によって,経膣,経腹の両者を用いるので,上記条件はいずれの走査でも必要である。
もちろん従来のように,妊娠の後期でも胎児の観察はなされるため,深いところの分解能も期待したい。この点でDifferential THI(tissue harmonic imaging)は,深いところでの描写性が期待できる。
3D,4D技術に期待することは,ママやパパに生まれた後の赤ちゃんに似た胎児の写真を見せることだけではない。例えば,超音波卵管造影のように,X線透視画像に近い性質の画像が期待される場合がある。卵管のように,三次元的に曲がりくねった臓器をスライス幅の薄い画像で表現すると,卵管の連続性描写は損なわれる。このことは血管を描写する場合も同様であり,透視によるカテーテル検査の有用性が今日まで変わらない理由である。卵管造影やダイナミックフローによる血管描写こそ,3D,4D技術の応用分野である。
超音波機器周辺の技術として,検査を受けるママの目線で見えるモニタ(図12)や,いまやすべての家庭にあると言っていいであろうパソコンで,家に帰ればすぐパパに見せる工夫が必要である。これにより,説明の信頼性がさらに確保できる。

図12 ママの目線に取り付けられた画像モニタ
ママはすべての検査画像を目にすることができる。検査をしながらすべての説明を行うので,後で再び説明に時間をとる必要がない。検査画像はすべてCDでママに渡される。