ホーム
inNavi Suite
東芝メディカルシステムズ
別冊付録
新。超音波診断 Vol.2
小児エコーの最新動向
![]()
小児エコーの最新動向
小児の腹部エコー −消化管エコーの時代へ−
内田正志(社会保険徳山中央病院小児科)
腹部エコーは非侵襲性,簡便性,反復性から小児の消化器疾患の診断に欠かせない存在になっている。また,画像の鮮明化や描出の工夫によって,エコーが最も苦手としてきた消化管疾患の診断にも必須の検査になりつつある。近い将来,日常診療で腹部エコーを聴診器のように活用し,消化管疾患の診断に威力を発揮する時代が訪れるのではないかと予想される。本稿では,臨床の第一線で行っている消化管エコーの実際について述べる。
腹部エコーはどのような消化管疾患の診断に有用か?
日常診療で遭遇する小児の消化器疾患の中で,肝・胆・膵疾患の頻度は少なく,多くが消化管疾患である。消化管疾患患児の多くが腹痛,嘔吐,下痢,発熱などのありふれた症状を主訴に受診するが,それらを的確に診断することは容易ではなく,頭を悩ますことが多い。なぜなら,腹部X線と血液・尿検査以外に簡単に情報を得る手段(診断のためのツール)がなかったからである。腹部エコーの導入は消化器疾患の診断(迅速性と正確性)を一変させたが,消化管疾患も例外ではない。腹部エコーを腹部の聴診器のように活用している経験から得た急性腹痛の原因,および急性腹症の診断に役立つ超音波所見を表1,2に示す。点線より上が日常診療でよく経験する疾患であるが,いずれも消化管疾患である。臨床症状・所見と検査所見に加えて腹部エコーを駆使すれば,肥厚性幽門狭窄症,急性胃粘膜病変,腸重積症,急性虫垂炎,腸間膜リンパ節炎,急性腸炎の確定診断が可能である。また,血管性紫斑病や便秘でも有用な情報を得ることができる。このように,消化管疾患についても,正確な診断をするためには腹部エコーは欠かせない存在になりつつある。特に,小児救急の場面においては,確定診断や診断の方向付けに果たす腹部エコーの役割は計り知れない。
![]() 表1 超音波検査から見た急性腹痛の原因 |
![]() 表2 救急に役立つ小児急性腹症の超音波診断 |
消化管エコーの見方・考え方
消化管エコーは超音波検査の中でも特に難しい。その理由は,「正常な消化管はガスや便のため,はっきりと見えず,何を見ているのかよくわからない状態にある」からである。つまり,何を見ているのかよくわからないというのが消化管の正常像と言うことができる。正常像との比較で異常の診断をするのが画像診断の基本であることを考えると,「何を見ているのかよくわからないというのが消化管の正常像」というところにポイントがありそうである。このことを図1で説明する。つまり,図1 aのように,肝臓や腎臓の正常像は誰にでも容易に理解できるが,図1 bのように,消化管はガスや便の影響があるほか壁が薄い(2〜3mm)ため,臓器としてとらえることが難しい。このことは,腹部にプローブを当ててみると簡単にわかるが,何を見ているのかさっぱりわからないため,あきらめてしまう人が大部分である。
正常消化管は見えない(胃前庭部は例外)と述べたが,消化管の中にはガスと便と腸液の3つしかない。この3つのエコー所見の違いと消化管の位置関係を考慮すると,消化管疾患の診断に役立つ情報を得ることができる。
図2に,ガス,便,腸液のエコー像を示す。図2 aは消化管ガスの典型的エコー像である。ガスのエコー像は多重反射のために減衰がなく,浅いところから深いところまで同じように見える。図2 bは便の典型的なエコー像で,比較的均一な小さな点状エコーである。ガスと比較するとその違いがわかる。表面のエコー輝度が一番高く,次第に減衰していく。大腸の部位を考慮すると上行結腸,横行結腸,下行結腸,S状結腸,直腸のどこに便があるのかが推定できる。図2 cは腸液の典型的なエコー像(腸炎の症例)である。正常ではこのようにはっきりと見えることはないが,腸に液が溜まると腸管壁もよく見えるようになる。
消化管エコーのポイントは,前述の基本を把握した上で,いかにして腫瘤,消化管壁の肥厚,腸液の貯留,便塊,腸間膜リンパ節の腫大を探すかということに尽きる。具体的には,(1) 実質臓器をスクリーニングした後,消化管をスクリーニングする,(2) 消化管は腹壁直下にあるので5〜6MHzのプローブで全体をスクリーニングした後,7.5〜8MHzの高周波プローブで詳細を観察する,(3) 画像を十分に拡大して観察する,(4) 圧迫や体位変換などを行い,ガスを排除すること,などに注意が必要である。

図1 腹部エコーの正常像

図2 ガス,便,腸液のエコー所見
消化管疾患の典型的エコー所見
エコーが診断に有用で,比較的頻度の多い消化管疾患について上部から順に述べる。
1)肥厚性幽門狭窄症
肥厚性幽門狭窄症の特徴は,生後1か月前後から始まる噴水状の嘔吐で,吐物に胆汁を含まない。放置すると状態が悪化するが,最近の症例は受診が早いので,状態が悪化していることはほとんどない。図3に,肥厚性幽門狭窄症の超音波所見(6MHz)を示す。図3 aが幽門部の縦断像,図3 bが横断像であるが,肥厚した筋層がはっきりと描出されている。通常は5〜6MHzで全体像を観察し,引き続いて7.5〜8MHzで詳しく検索するのがよい。描出のコツは肝臓をエコーウインドウにして幽門部を描出すること,右側臥位にして幽門部に胃内容を移動させ,ガスの影響を避けることである。

図3 肥厚性幽門狭窄症
2)急性胃粘膜病変
急性胃粘膜病変は,何らかの精神的ストレスが誘因となり,急激な上腹部痛と嘔気・嘔吐を来す疾患で,内視鏡で胃前庭部に粘膜の発赤,びらん,浅い潰瘍を認める。年長児に多いが,最近では幼児例も経験する。本症は臨床症状とエコー所見のみで診断可能な疾患のひとつである。輸液でなかなか軽快しない心窩部痛や嘔吐を認める場合には,本症を疑ってエコーを行うことが重要である。エコーでは,胃前庭部の肥厚(主に粘膜下層)を認める(図4)。低エコーの筋層の内側に高エコーの粘膜下層が描出されているが,8MHzの高周波プローブでよりはっきりしている。急性胃粘膜病変は内視鏡的診断名であり,成人では内視鏡検査の適応かもしれないが,小児では診断のための内視鏡検査は必要ないと考えている。なぜなら,H2ブロッカーの投与で速やかに軽快し,エコー所見も約1週間で正常化するからである。

図4 急性胃粘膜病変
3)血管性紫斑病の消化管病変
血管性紫斑病は出血斑・紫斑,関節の腫脹・疼痛,腹痛を三主徴とし,幼児から学童に好発する疾患で,紫斑病性腎炎を発症することがあるので的確なフォローが必要である。一般的に出血斑・紫斑を認めれば診断は容易である。しかし,出血斑・紫斑が遅れて出現する場合や,出血斑・紫斑がほとんどなく,腹痛のみが目立つ症例では,診断に苦慮することもある。本症の腹痛は強く,ステロイドが著効する。血管性紫斑病の消化管病変としては,腸管壁の肥厚,腸重積症などが見られる。経過中に腹痛・嘔吐が出現し,エコーで十二指腸壁の肥厚を認めた7歳,男児の症例(図5)を示す。小腸壁(十二指腸,空腸,回腸)の限局性の肥厚が特徴である。

図5 7歳,男児,血管性紫斑病の十二指腸病変(8MHz)
4)腸重積症
好発年齢は生後6か月〜2歳までとされるが,実際には3〜5歳もよく経験する。腸重積症の三主徴は間歇的腹痛,嘔吐,血便である。腹部エコーで腸重積症と確定診断することはほぼ100%可能なので,症状から腸重積症を疑い,積極的に腹部エコーを行うことが重要ある。最近は早期受診例が多いため,2歳以上では間歇的腹痛のみの段階で診断できることが多い。乳児では間歇的啼泣や不機嫌として表現される。臨床症状から,いかに腸重積症を疑い,エコーを実施するかが重要である。
腹部エコーでは,重積した腫瘤の横断面(短軸像)をtarget sign(図6 a),縦断面(長軸像)をpseudokidney sign(図6 b)として描出でき,高圧浣腸施行前に確定診断できる。腸重積症の大部分が回腸結腸型であるため,上行結腸,横行結腸に沿って走行に直角に(つまり,結腸を輪切りにするように)プローブを当てるとtarget signが描出される。今後はエコー下整復の普及が期待される。

図6 腸重積症target sign(a)とpseudokidney sign(b)
5)急性虫垂炎
急性虫垂炎は日常診療でよく遭遇する疾患であるが,診断の比較的難しい疾患である。典型的症状は,上腹部痛・嘔吐から右下腹部痛への移行であり,浣腸では消失しない持続痛である。年長児では成人と同様に典型的な症状を来すことが多いが,低年齢児では腹痛に加えて,初期から発熱や下痢を認める場合や元気がないなど,非典型的な症状を来すことが多い。
虫垂炎のエコー診断が難しい理由として,(1) 治療が基本的に手術なので,疑いの段階で外科に紹介され,小児科の手を離れてしまうこと,(2) ガスの影響が強く,エコー診断上の指標となる臓器が少ないこと,(3) 虫垂の位置や炎症の程度に違いがあるため,症例ごとに得られるエコー所見に非常に差があること,の3つが考えられる。診断が難しいがゆえに腹部CTに頼りがちであるが,まずはエコーを行い,疑わしいが診断がつかない場合に行うようにしたい。
エコー診断のポイントは,臨床症状と検査所見から急性虫垂炎を疑い,積極的にエコーを実施することである。腸腰筋と腸骨動静脈を指標にして,その周囲(外側,腹側,内側)をじっくりと検索し,腫大虫垂(圧迫してもつぶれない直径6mm以上の管腔臓器)を探すのである(図7)。内部に虫垂石を描出できればなおよい。5〜6MHz(年長児や成人では3.5MHzの場合もある)のプローブで全体像を見て,7.5〜8MHz で詳細を確認するとよい。その際,虫垂の向きはさまざまであること,つまり,同じようにプローブを当てても得られる所見は症例によって大きく違うことを銘記しておく必要がある。虫垂炎が疑われるが,腫大虫垂が描出できない場合は膿瘍,糞石,腹水,腸管壁肥厚,腸管への液貯留,腸間膜リンパ節腫大の有無をチェックする。エコーではっきりした所見は得られないが,虫垂炎が疑われる場合は腹部造影CTを行うことを躊躇しない。
急性虫垂炎の診療で最も注意すべきことは,急性腸炎と誤診しないことである。そのためにも腹腔内に強い炎症が存在するときは簡単に腸炎と決めつけず,エコーを積極的に活用することが望まれる。

図7 急性虫垂炎の2例
6)腸間膜リンパ節炎と急性腸炎
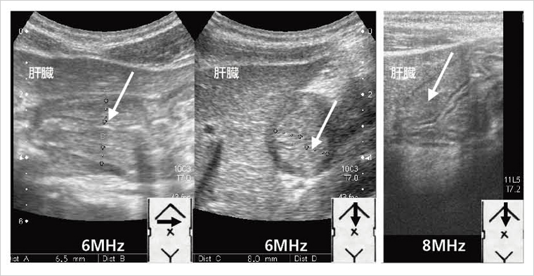
急性虫垂炎のエコー診断の副産物として,腸間膜リンパ節炎や急性腸炎のより正確な診断が可能になってきた。すなわち,腫大虫垂が描出されず,回腸末端壁の肥厚(図8),腸間膜リンパ節の腫大(図9),回盲弁の肥厚(図10),大腸壁の肥厚(図11),小腸や大腸への液の貯留,腹水の存在などの所見を臨床症状・検査所見・診察所見に加味することで回腸末端炎,急性大腸炎,腸間膜リンパ節炎のより正確な診断が可能で,事実に基づいた診療へと変化している。

図8 回腸末端壁肥厚の3例

図9 腸間膜リンパ節腫大の3例

図10 回盲弁の肥厚の3例

図11 大腸壁の肥厚
7)急性胃腸炎(嘔吐下痢症)
冬季に流行するノロウイルスやロタウイルスによる急性胃腸炎にプローブを当ててみると,共通して小腸への腸液の貯留(図12 a),腸間膜リンパ節腫大(図12 b),大腸への腸液の貯留(図12 c)が見られる。原因不明の嘔吐や経過の思わしくない胃腸炎などでこのような所見が得られれば,病状や経過の説明に役立つ。

図12 ウイルス性胃腸炎のエコー所見
8)便秘
日常診療で遭遇する消化器症状の中で最も多いのは腹痛であり,原因として最も多いのは便秘(急性・慢性とも)である。急性腹痛に対してとりあえず浣腸してみて,排便後に腹痛が消失すれば便秘と考えてよいが,浣腸する前にちょっとプローブを当ててみるのもいいかもしれない。便に特徴的なエコー所見と大腸の部位を考慮すると診断と治療に役立つ。上行結腸,横行結腸,下行結腸,S状結腸,直腸の横断面および縦断面を描出すればよい。一番わかりやすいのは直腸にたまった便塊(図13)である。膀胱が充満していると音響窓となって描出しやすい。いずれも便塊が膀胱を上に押し上げるように描出されている。便塊の表面のエコー輝度が最も強く,次第に減衰している様子がわかる。

図13 便秘の3例
今後の発展が期待されるエコー下手技
エコーを利用した手技としてはエコーガイド下肝生検や腎生検があるが,小児の消化管領域では今後,エコー下腸重積症整復術,エコー下十二指腸チュービング,エコー下注腸法などの普及が期待される。
1)エコー下腸重積症整復術
腸重積症の診断に腹部エコーが有用であることは先に述べたが,その延長にある治療にもエコーは有用である。通常はX線透視下に造影剤を使用して高圧浣腸を行うが,エコー下では生理食塩水を用いて高圧浣腸を行い,整復されていく過程を観察するのである。つまり,高圧浣腸という整復手技は同じだが,整復されていく過程をX線透視下に観察するか,エコー下に観察するかの違いがあるだけである。
2)エコー下十二指腸チュービング
十二指腸チューブ挿入は,胃食道逆流などがある発達障害児の栄養管理に必要な場合がある。通常はX線透視下に行われるが,チューブの先端の金属の多重反射を利用すると,エコー下の挿入も可能である。エコー下にチューブの先端が噴門部,幽門部,十二指腸の下行脚から水平脚への移行部,腹部大動脈と上腸間膜動脈の間を通過するのを確認するのである。ガスが多いと難しいが,慣れてくると短時間で可能である。
3)エコー下注腸法
血便を来す疾患に大腸ポリープがある。これは結腸の左半分に好発し,直径が1cm前後あることが多いので,スクリーニングとしてエコー下注腸法が有用である。腸重積症整復と同様に,生理食塩水を使って高圧浣腸を行いながら,直腸から横行結腸にかけてスクリーニングするのである。エコーフリースペースの中にポリープがくっきりと浮かび上がって見える。
いずれも放射線被ばくの軽減になり,ベッドサイドで実施可能である。
まとめ
消化管エコーは,日常診療に欠かせない存在になってきた。腹痛,嘔吐,下痢,発熱などの症状がある場合には,腸重積症や急性虫垂炎はないかということを必ず心の片隅に置き,積極的にエコーを実施するという姿勢が重要である。このようにして腸重積症や急性虫垂炎の早期診断を行い,さらに,急性腸炎,急性胃腸炎,腸間膜リンパ節炎などの正確な診断を得ることができる。