ホーム
inNavi Suite
東芝メディカルシステムズ
別冊付録
新。超音波診断 Vol.4
Aplioが創る超音波の新潮流(日本超音波医学会第84回学術集会お昼の勉強会より) (1) 視点を変えてみる 〜管腔内からみる3Dと超高画質画像へのアプローチ
![]()
Aplioが創る超音波の新潮流(日本超音波医学会第84回学術集会お昼の勉強会より)
(1) 視点を変えてみる 〜管腔内からみる3Dと超高画質画像へのアプローチ
畠 二郎(川崎医科大学検査診断学)
超音波画像の“視点を変えた”新しいアプローチ
超音波の“視点を変える"とはどういうことか? ひとつは,従来の超音波画像の“外から目線"に対して,新しい超音波診断装置であるAplio500に搭載されたアプリケーションの“Fly Thru(フライスルー)"を利用することにより,管腔の“内部からの目線"に視点を変えることで,動的で理解しやすい3D画像を提供するものである。
もうひとつは,超音波画像診断の永遠のテーマである“高分解能で高ペネトレーション(深達度)な画像"の追究である。超音波において,分解能と減衰のトレードオフというのは永遠の課題だが,これに対する“視点を変えた"アプローチとして,東芝メディカルシステムズと開発中の“Boost Image(仮称)”について述べる。
超音波で管腔内を画像化する “Fly Thru(フライスルー)”
まず,「視点を変えた3D」として,新しいアプリケーションであるFly Thruを用いた,動的でかつ理解しやすい3D画像の利用について紹介する。
Fly Thruでは,プローブで取得した超音波データから透視投影像を再構成することで,管腔内や血管内を立体的に移動する画像が得られる。X線CTのデータを再構成した仮想内視鏡と同様の画像で,管腔や血管内を“飛ぶ(Fly Thru)”ことができるアプリケーションである。超音波の画像データでは,細径血管の描出は難しいが,これまで当院で経験した症例の画像を提示する。
(1)管腔臓器
図1は,深部静脈血栓症による表在静脈の怒張の画像だが,Bモードの2D画像では,一見してつながりが弱く見える。超音波画像に熟練していれば連続した管腔だとわかるが,経験の少ない医師や患者には2D画像からつながりを認識することは難しい。Fly Thruの3D画像であれば,複雑な走行であってもつながりが容易に把握できる。また,総胆管結石などでも,2D画像の説明では,患者の理解を得るのは大変だが,Fly Thruでは動的に胆管と結石の大きさが提示でき,視覚的に理解が得られやすいと考えられる。
膵頭部がんによる閉塞性黄疸の症例(図2)では,膵頭部がんが大きいためERCPの挿管が困難で画像が得られなかったが,体表からの超音波によってFly Thruの3D画像を作成した。肝門部から乳頭側へ胆管内を視点移動し,狭窄,閉塞の状況が観察できたほか,胆管の表面性状は比較的平滑であることもわかった。
図1 深部静脈血栓症による表在静脈の怒張のFly Thru画像
2Dではイメージしにくい“つながり”を容易に把握できる。(動画)

図2 膵頭部がんによる閉塞性黄疸のFly Thru画像
(肝門部→乳頭側へ)
ERCPにおける挿管困難例でも管腔の情報が得られる。
肝門部胆管がんの症例(図3)では,肝内胆管が拡張して肝門部に腫瘍がある。3D画像で胆管内を末梢から腫瘍に向かって視点移動することで,門脈浸潤の有無や,圧排か浸潤かなどの胆管と腫瘍との関係を,MPR画像と対比して観察することができた。
図4は,胆管がんのステント留置症例だが,Fly Thruでは留置されたダブルピッグテイルステントの形状を認識できる精度がある。視点は,末梢からステントへ移動するが,ピッグテイルステントの先端の輪の部分を観察できる。

図3 肝門部胆管がんのFly Thru画像(末梢胆管→腫瘍へ)
個々の胆管や門脈と腫瘍との関係をMPR画像との対比で
より把握しやすい。
図4 胆管がんステント留置症例のFly Thru画像 (ステントをくぐり末梢へ) (動画)
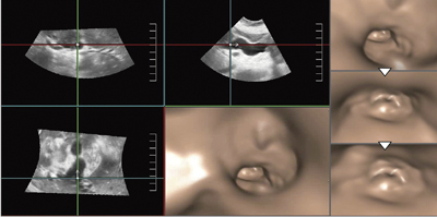
神経因性膀胱による両側水腎症の膀胱のFly Thru画像(図5)では,末梢の尿管から膀胱に入り,体側の尿管膀胱以降を見ている。このように,Fly Thruでは,ある程度のコントラスト分解能がある管腔であれば,再構成して内腔を観察することが可能で,造影剤も必要とせず,条件さえそろえば高分解能を生かして細い管腔でも観察できるのが利点である。
右の尿管結石陥頓のFly Thru画像(図6)で,腎盂尿管移行部から膀胱に向かって,結石の嵌頓部まで移動する。Fly Thruの問題点の1つは,超音波のプローブの表示幅以上にはスキャンができないことで,この症例では2つのデータを合成したが表示範囲は限られている。超音波検査では,尿管の描出は困難なことが多く,検査に難渋することがあるが,Fly Thruでは明瞭なボリュームデータさえあれば,自動的に追跡できる。管腔以外でもコントラストのついたボリュームデータを収集できれば,例えば腹腔内の癌性腹水と結節などもFly Thruで観察することが可能である。
![]() 図5 神経因性膀胱による両側水腎症の膀胱のFly Thru画像 (尿管→膀胱へ) 管腔構造であればどこでも観察することが可能である。 |
![]() 図6 右尿管結石陥頓のFly Thru画像 (腎盂尿管移行部→結石陥頓部へ) 明瞭なボリュームデータさえあれば自動的に追跡できる。 |
(2)血管系
次に,Fly Thruによる血管の3D画像を提示する。血管は,造影剤なしでも描出が可能だが,コントラスト分解能を向上し,サイドローブや多重のアーチファクトを除去する目的で,ソナゾイドを持続静注して検査を行った。

MPR画像と対比することで病変のより詳細な評価が可能になる
Fly Thruの利点としては,1つは超音波に馴染みのない医療従事者や患者にとって,わかりやすい表示であることである。超音波のトレーニングを受けていれば,頭の中で2D画像から立体的な構造を再構成することは容易だが,Fly Thruは,管腔の変化をより客観的に正確に把握できる手法である。さらに,MPR画像との対比で,内腔の状態や腫瘍浸潤の様子などを詳細に評価することが可能になる。
一方で,欠点としては,画像の再現性がボリュームデータの元になる画像の精度に大きく依存することである。特に超音波の場合は,さまざまなアーチファクトや信号の減衰があり,これらの克服が今後の課題である。さらに,これも超音波の宿命だが,スキャン範囲が狭いためFly Thruの距離が短いことと,操作がやや煩雑であること,などが挙げられる。
今後の期待としては,管腔領域の超音波検査において,管腔臓器に対するスクリーニング法となることだ。例えば,尿管であれば周囲をスキャンしたボリュームデータから尿管を自動的にトレースして,病変などをピックアップすることなどが考えられる。あるいは,ERCPができない,造影剤を使えないなどで,管腔造影ができない場合の第1選択肢となることを期待している。
高分解能で高ペネトレーションを実現する“Boost Image”
もうひとつの超音波の「視点を変える」方法として,東芝メディカルシステムズと開発中の,高分解能で高ペネトレーション画像を実現する“Boost Image(仮称)”について臨床画像を紹介する。
図8 aは,従来のAplioの7MHzリニアプローブで撮像した脾動脈瘤だが,アーチファクトや減衰があることがわかる。これをBoost Image(図8 b)で見ると,横隔膜のラインもきれいに描出され,浅部から深部まで高分解能のままでペネトレーションがとれていることがわかる。また,正常な膀胱-前立腺-直腸の画像(図9)では,非常に深く見にくい直腸の層構造が,Boost Imageでは明瞭化している。超音波による消化管検査を行う場合,深部の直腸の評価には難渋するが,その意味でもBoost Imageへの期待は大きい。
![]() 図8 7MHzリニアによる脾動脈瘤の画像(表示レンジ:10cm) |
![]() 図9 正常な膀胱-前立腺-直腸 |

肝細胞がん(HCC)では,通常の画像では減衰が強く,肝内の腫瘍の存在は明らかでない(図10 a)。Boost Image(図10 b)で見ると,全体像が把握でき,内部性状も明瞭に描出される。
Boost Imageは,画像上の効果としては分解能が高くペネトレーションが良いということで,ある意味では超音波にかかわるものが夢に描いていた画像だと言える。Boost Imageでは,S/N比も向上しコントラストの改善も図れる。
将来への期待としては,深部に存在する微細病変の診断能の改善が期待されるほか,今まで困難だったtough patientの診断精度の向上や,検査者としてはプローブの交換回数が減少することを期待している。現段階では改善すべき点もあるが,従来の分解能とペネトレーションというトレードオフに対して,視点を変えたブレイクスルーが期待される。
Fly ThruもBoost Imageも,新しい可能性を秘めている。超音波画像診断の視点を変えるブレイクスルーとして,今後の展開に期待している。