ホーム
inNavi Suite
東芝メディカルシステムズ
別冊付録
新。超音波診断 Vol.4
Made in Japanが提案する超音波診断:腹部領域を中心にして(第36回日本超音波検査学会ランチョンセミナーより) (1) Aplio500を駆使した診断能 長谷川雄一,浅野 幸宏 成田赤十字病院検査部
![]()
Made in Japanが提案する超音波診断:腹部領域を中心にして(第36回日本超音波検査学会ランチョンセミナーより)
(1) Aplio500を駆使した診断能
長谷川雄一,浅野 幸宏(成田赤十字病院検査部)
超音波診断学におけるハードウエアの進歩は,さらなる画質の向上をもたらしている。そこで,今回開発された東芝メディカルシステムズの最新超音波診断装置であるAplio500の一新された画像エンジンとアプリケーションについて,消化管領域での有用性について臨床データを中心に解説する。
“High Density Beamforming"による消化管の描出
Aplio500では,新しい高画質エンジンHigh Density Beamforming(HDB)によって,空間分解能,コントラスト分解能,時間分解能が向上した。HDBにより実現した,“TSO",“Precision Imaging",“ApliPure+"の消化管領域での有用性について述べる。
(1)TSO
TSO(Tissue Specific Optimization)は,生体特性の違いによる方位分解能の劣化を抑え画質の向上を図る機能だが,図1はそれを消化管に適応した画像である。盲腸がんの回腸末端浸潤例のオリジナル画像(図1 a)とTSO処理をした画像(図1 b)である。TSO処理した画像では,盲腸から回腸末端への浸潤の様子が正確に確認できる。Beam演算を補正することで,消化管も明瞭な描出が可能なことから,TSOは非常に有用であると言える。

図1 TSO画像(盲腸がん)
(2)Precision Imaging,ApliPure+
Aplio500では,Precision ImagingとApliPure+がHDBでさらに高画質化された。Precision は,ノイズ成分を低減し,コントラスト分解能や均一性,組織の連続性を高め,ApliPure+は,コンパウンド技術による画像の鮮明化や,スペックルノイズの低減,また,深部感度の向上を可能にする。
図2は,下行結腸がん症例での,いわゆるpseudo kidney signを呈した画像である。Precision Imaging によるAplioXG画像(図2 a)では,画質の視認性は向上するが白さが強調されやや誇張され過ぎた画質となっていたが,Aplio500(図2 b)では白さが抑えられ,辺縁がきれいにつながったイメージに表現され,Precision Imagingの持つ特徴をより生かしたものに改善されている。

図2 Precision ImagingとApliPureを適応した下行結腸がん症例
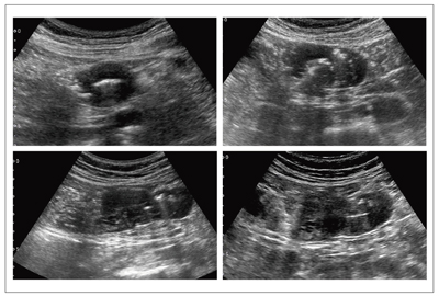
次に,急性虫垂炎症例のAplioXGとAplio500の比較画像を図3に提示する。図3上段はコンベックス型探触子(3.5MHz),中段はコンベックス型探触子(6.0MHz)のPrecision ImagingとApliPureで処理を行った画像だが,Aplio500ではスムーズな処理で鮮明に描出されていることがわかる。さらに,高周波リニア型探触子の8.0MHz(図3下段)においては,AplioXGでは表現できなかった虫垂壁の層構造と,内部に貯留した液体の性状が識別できるなど,Aplio500では「見えなかったものが見える!」と言えるほどに画質が向上していることがわかる。

図3 急性虫垂炎のAplioXG(a)とAplio500(b)の画像比較
図4は,15歳,男性で,虫垂炎の手術歴があり,術後の癒着によって形成されたバンドが原因となりイレウスを起こした症例である。Aplio500のPrecision ImagingとApliPure+はリアルタイム性が高く,病態を鮮明かつ緻密に表現している。この症例は,超音波で比較的発症早期の段階で,イレウスの原因が高エコーの線維化によるバンドであることがわかったため,小腸切除をせずにバンドを切断して手術を終了させることができ,治療方針決定にAplio500の高画質化が寄与した例である。図5は,同症例の口側の浮腫性肥厚を伴う拡張した小腸の画像だが,それぞれの画像処理技術の組み合わせにより,腸管浮腫の組織性状までもが鮮明に抜けがなくきれいに描出されており,Aplio500がいかに高画質であるかがわかる。
![]() 図4 15歳,男性,虫垂炎術後のイレウス症例 |
![]() 図5 図4症例の口側小腸画像 |
以上のように,Aplio500は,Precision ImagingやApliPure,ApliPure+,TSOのさまざまな組み合わせが可能である。組み合わせにより,空間分解能,コントラスト分解能やリアルタイム性が変化するため,検査の目的(何を見るか,どこを見るか)に合わせて選択することが重要である。
“Elastography”のリアルタイム表示による性状診断
Aplio500では,Real Time Application Platformによって処理能力が向上し,従来は不可能だったElastographyのリアルタイム表示が可能になった。加えて,コンベックスプローブによるElastographyが可能で,腹部領域におけるElastographyの適応範囲の拡大が期待される。
Elastographyは,プローブを軽く圧迫・解放することで,病変部位の硬さ(弾性)を画像化する。例えば,大腸がんの症例で,これに合併した閉塞性腸炎を来した場合,腸管浮腫の中に腫瘍が存在するといったケースが発生し,Bモード像では腫瘍の位置の特定は困難であるが,Elastographyを行うと腫瘍は硬い部位として認識され,容易に病変部の特定ができる。
図6は,Aplio500による小腸腫瘍のBモード画像である。Elastography(図7)を施行したところ,腫瘍は硬く,口側の柔らかな部位は正常小腸と病変部の境界であった。この部位に注目して詳細にBモード画像を観察していくと,内腔は保たれ,腸管の長軸方向へ腫瘍の進展像が見られた。腫瘍部は全域にわたり均一な低エコー像を呈していた。この一連の検査の流れの中で小腸リンパ腫の特徴的なエコー所見が得られ,診断に至った。
![]() 図6 60歳代,男性,小腸リンパ腫症例 |
![]() 図7 図6症例のAplio500によるElastography |
管腔内を自由に移動して観察する“Fly Thru”
従来の超音波の平行投影像に対して,Aplio500に搭載されたFly Thruは,透視投影法による3D画像を作成するアプリケーションである。管腔内から管腔壁を移動しながら観察する表示で,任意の観察方向にタッチパネルで簡単に操作できる。また,観察部位によっては方向を指示しなくても,Fly Thruが管腔を感知して,自動で誘導することも可能である。
図8は,43歳,女性で,潰瘍性大腸炎の症例である。小さなびらんが多発して認められ,慢性持続型・寛解期の内視鏡所見である。Fly Thruで下行結腸の粘膜面を確認すると比較的スムーズであり,内視鏡と同じく粘膜障害が少ない慢性持続型潰瘍性大腸炎との診断がついた。Fly Thruは,消化管領域では空気が存在し,超音波では描出しにくい問題もあるが,管腔であれば再構成が可能であり,今後のFly Thruの消化管への応用が期待される。

図8 43歳,女性,潰瘍性大腸炎のFly Thru画像
CT画像をナビゲーションとして観察できる“Smart Fusion”
Smart Fusion は,CTなど他のモダリティのボリュームデータと超音波画像を連動表示するアプリケーションである。Aplio 500本体に取り付けたアームから磁場を発生させ,プローブで受信することで位置を測定し,位置合わせは座標軸と基準(目印)の2ステップのみと,“Smart”に設定できるのが特長である。Smart Fusionでは,超音波画像とCT画像を互いに補い合って確認ができるため,診断での有用性はもちろん,解剖やCT読影のトレーニングにもなり,教育にも有用である。
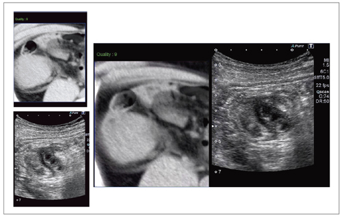
図9は,腹部膨満感,下腹部痛で来院した70歳代,男性の回盲部CT画像とのSmart Fusionである。CTでは腫瘤の存在や炎症像の確認はできるが,内部の構造は不明瞭である。超音波では,腫瘍内部の重積様変化が明瞭にとらえられた。高度に肥厚した腸管壁のエコーレベルは,均一な低エコーを呈していた。周囲には,炎症を反映した強いisolation signが見られた。また,一塊となった腫瘤は大きく,CT画像が回腸末端から連続する腫瘤像を的確にとらえ,エコー像をナビゲーションし情報を得た。Smart Fusionの活用により小腸リンパ腫(回腸末端部)が回盲部から盲腸へ隆起し,回腸・結腸型の腸重積様に一体化した腫瘤を形成した病態と診断できた。緊急手術が施行され,術前診断と一致した手術所見であった。
図9 70歳代,男性,悪性リンパ腫の小腸病変に施行したSmart Fusion画像
図10は,右下腹部痛で来院した40歳代,男性の回盲部CT画像とのSmart Fusionである。CTでは盲腸部から回腸末端への炎症の確認はできるが,炎症のフォーカスは不明瞭である。超音波では,虫垂口から立ち上がり,渦巻き状の形態を呈する腫大した虫垂がとらえられている。層構造は保たれており,蜂窩織炎性急性虫垂炎と診断した。CTでは条件により虫垂の先端の形状なども確認できるが,つながりはわかりにくい。また超音波では,tough patientの場合,回盲部全体のオリエンテーションや深部の炎症をCTのようなイメージで得ることは難しい。
Smart Fusionはそれぞれを補完する観察手法として,超音波で描出しづらい虫垂炎の深部病変を,CTをナビゲーションにして確認することが可能になるなど,超音波とCT,それぞれの特長を駆使することで的確な診断が可能となる有用なアプリケーションと言える。

図10 40歳代,男性,急性虫垂炎に施行したSmart Fusion画像
以上のようにAplio500は,画質が格段に向上し,搭載されたアプリケーションや画像処理技術も臨床に高い有用性を発揮するものと確信する。また機器の高性能化とともに,同時にオペレーターのスキルが試されており,ユーザー自身のスキルアップが重要であるとも考える。