![]()
Session 1「Aquilion PRIMEの各領域における技術」
救命救急領域

渡辺博也
公益財団法人 大阪府三島救命救急センター 放射線科
大阪府三島救命救急センターは,大阪府北摂地域の三次救急医療施設として1985年11月に開設され,現在,近隣11施設と連携した診療・運営を行っている。2006年10月から,高槻市消防本部と協働で,特別救急隊(医師同乗救急隊)の運用を24時間365日体制で開始した。
当センターでは2012年3月,9年間 使用してきた16列CTから80列CT「Aquilion PRIME」に更新した。本講演では,Aquilion PRIMEの救命救急領域での使用経験について報告する。
■三次救急におけるAquilion PRIME導入の背景
当センターは,三次救急施設のため,2011年の搬入件数は1219件と,他施設に比べ少ない。そのうち905人が入院,314人が外来受診であるが,外来死が213人と多いため,特別救急隊の活動により,外来死亡が少しでも減ることが期待される。
2011年のCT検査実施件数は3867件であった。そのうち頭部CTが50%(10%で造影CTを実施),体幹部CTは約40%(約75%で造影CTを実施)となっている。また,最近では四肢や頸椎の撮影が増加しており,今後は外傷の全身CT検査が増えることが予測される。
当センターでは,全身CT検査の増加に伴い,より速く・より安全なCT検査の提供を目的に,80列CT「Aquilion PRIME」を導入した。
CTの選定にあたっては,救命救急の現場では,“より速く”が重要なポイントとなる。また,迅速な診断のために,画像再構成時間の速さも必要となる。特に,当センターではフィルム運用のため,画像提供までの時間短縮は必須である。さらに,被ばく低減技術やガントリー開口径の広さ,天板のスライド機能なども,重要なポイントとなる。
■症例1:交通外傷
実際の交通外傷例を報告する。症例1は44歳,男性,車で右折時に対向車と衝突し,身体の左側を大きく受傷。搬入直後に意識レベルの低下を認めたため,気管内挿管が行われた。
当センターでは搬入時,まず胸部・骨盤単純X線写真を撮影して全身状態をチェックし,CTでの撮影方法や撮影範囲等を確認する。
まず,頭部をコンベンショナルスキャンで撮影し,次に,顔面〜骨盤の造影CTをVolume ECのSD9を使用し,1mm×40(HP33),0.5s/rotで撮影する。ポジショニング時に天板の横移動機能を使って,患者さんを動かすことなく中心に合わせることができるのは,救命救急では非常に重要である。
AIDR 3DはprospectiveにWeakをかけ,その後,Mildで再構成を実施している。当センターでは,腹部臓器と骨も一度に観察する再構成関数(FC03)を使うため,AIDR 3D Mildを採用している。
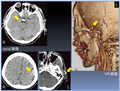
1mm厚の再構成画像では,axial画像で右側頭葉の脳挫傷,左頭頂葉のクモ膜下出血,VR画像で左浅側頭動脈の損傷を認めた(図1)。
1mm×40の撮影条件でも,胸部大動脈損傷が明瞭に描出された(図2)。見落としを防ぐためには,いかに速くワークステーションで画像を確認できるかが重要であり,再構成時間の高速化のメリットは大きい。
![]() 図1 症例1:1mmスライス厚の再構成画像 ←左浅側頭動脈の損傷 |
![]() 図2 症例1:胸部大動脈損傷(峡部) |
図3は,AIDR 3D Mildでの全身CT画像である。逐次近似応用再構成法を用いながらも,約1分で全身の再構成画像が得られることは,救急現場にとって大きなメリットである。
症例1の診断は,外傷性クモ膜下出血,右側頭葉脳挫傷,左耳介裂(左浅側頭動脈損傷),胸部大動脈損傷(峡部),仙骨骨折(L2〜L5の横突起骨折)であった。

図3 症例1:全身CT画像(AIDR 3D Mild)
1)外傷CTプロトコル
図4は,Aquilion PRIMEでの外傷CTプロトコルである。
Aquilion PRIMEでは,バリアブルヘリカルスキャンを使用することで,装置側で線量を変えながら頭部から頸部までを1回で撮ることができる。救急での活用が期待できるため,今後の実施を検討している。

図4 外傷CTプロトコル(80列CT)
■症例2:意識障害
安全面を考慮しながら,被ばく低減が実施できた症例を報告する。症例2は85歳,女性,自宅で頸部に電気コードが巻きついた状態で倒れているところを発見され,救急搬送された。
まず,頭部CTにて脳梗塞の有無や,低酸素脳症による皮髄境界の差などを評価した。
次に,頸部〜頭部CTAを施行し,3D再構成画像で,右内頸動脈の損傷が認められた。骨条件のMPR像では頸椎損傷はなく,内膜損傷のみであった(図5)。
さらにCPR画像にて,椎骨動脈の形態を評価した(図6)。
脳血管への血流を確認する目的だけであれば,Volume ECのSD7で十分診断可能であり(図7),被ばく低減を行うことができた。
症例2の診断は,右内頸動脈損傷であった。
![]() 図5 症例2:右内頸動脈内膜損傷(3D再構成画像) |
![]() 図6 症例2:CPR画像 |
![]() 図7 症例2:MIP画像 120kV,Volime EC:SD7,0.5s/rot,0.5mm×80,HP51, 再構成関数FC42 |
■ガントリー開口径の拡大
ガントリー開口径が16列CTの720mmから780mmに広がったことで,装具着用下や側臥位の患者さんにおいても,検査をスムーズに行えるようになった(図8)。

図8 ガントリー開口径の拡大(720mm→780mmに)
■ヘリカルピッチ(HP)の検討
当センターでは,HPによる影響を検討するために,電球を撮影し,HPの違いによる画質について検討した。
頭部CTAに関しては,現在0.5mm×80,HP51を使用しているが,検討の結果,0.5mm×64,HP41の設定を使用することで,より高画質な画像が得られると予想できた。
今後もこれらの検討を続け,より良い画像を提供していきたい。
■まとめ
Aquilion PRIMEでは,画像再構成時間が高速化し,画像提供時間の短縮が可能となった。また,AIDR 3DとVolume ECを併用することで,救命救急領域においても,20〜30%の被ばく低減が実現できた。
さらに,開口径が780mmに拡大したことで,ポジショニングが容易となり,患者さんの容体の確認や急変時の迅速な対応が可能になったメリットは大きい。
今後は,AIDR 3Dのさらなる進歩・進化による低線量撮影の実現に期待するとともに,新機能の使用方法を検討し,当センターの理念である「すべては患者さんのために−All for Patients−」を実現していきたい。