![]()
Session 2「Aquilion PRIMEの各領域における臨床」
救命救急領域

松本純一
聖マリアンナ医科大学 救急医学
私は2004年から,放射線科医として聖マリアンナ医科大学救急医学教室に所属し,画像診断とIVRを担当している。救急診療における放射線システムの確立をめざし,日々気持ちを込めて仕事をしている。
救急診療における画像診断の重要性が高まる中,2011年8月に80列CT「Aquilion PRIME」が導入された。導入から約1年経過した現在,救急診療でのCTの有用性を今まで以上に感じている。
今回は,救命救急領域におけるAquilion PRIMEの意義について,救急診療の総論的観点から報告する。
■聖マリアンナ医科大学の救急放射線システム
当院の救急放射線システムは,救命救急専属の放射線科専門医2名(外来とICU・HCUの画像診断とIVRを担当),そして,放射線科スタッフおよびレジデント,IVRチームとともに24時間,365日,画像診断とIVRを提供できるような体制をとっている。
この救急放射線システムは,従来の当直より一歩進んだ体制である。当院は,このような救急放射線サービスを提供している数少ない施設であり,全国からの要望に応えて,救急医の受け入れと研修を積極的に行っている(図1)。

図1 当院の救急放射線システム
■救急診療における画像診断の位置づけ

救急診療において画像診断の位置づけが高まったのは,1990年代後半にマルチスライスCTが登場し,短時間で広範囲を撮影できるようになったことが大きな要因と考えられる。画像診断機器の技術進歩は目覚ましく,より質の高い画像,よりリアルな病態の描出が可能になった。それに加え,被ばく低減の技術も進み,短時間で患者の状態を把握できるCTの有用性がますます高くなっている。
現在では,救命救急領域での画像情報は,患者の予後を決定すると言っても過言ではない。「よい治療は,よい診断から」「よい診断は,よい画像から」と言える。
2010年に当院が発表した,「急性腹症におけるCTの有用性」に関する検討を紹介する1)。これは,CT前・後での診断・確信度・治療方針の変化について,94症例を対象に比較したものである(図2)。
CT前の診断(帰宅・入院・手術)がCT後およびその後の経過でも正しかったのが約1/3,5段階評価での確信度については,CT後の方が1/2で確信度が上がった。CT後に,帰宅ではなく入院(16%),またはその逆(26%),そして,入院による保存加療から手術へと移行した例(18%)もあり,大きなマネージメントの変化がCTによってもたらされたことがわかった。
また,2011年には,584症例を対象とする大きなスタディが,MGH(Massachusetts General Hospital)救急放射線グループから発表された2)。診断の変化が1/2,治療方針の変化が1/2弱,その他は当院の検討とほぼ同じ割合で,当院の検討以上にCT検査の意義を示す結果になっていた。
さらに2009年に,“Lancet”に外傷診療におけるCTの有用性を強く示すスタディとして,外傷患者に全身CTを撮ることで,予後が改善するという論文が発表されたこともある3)。これは,従来の診療の流れにおいて,CTの位置づけを大きく変えるインパクトの強い報告であった。
■救急診療の現実と画像診断の位置づけ
2010年に日本救急放射線研究会で355施設を対象に行ったアンケートでは,97%の救急医が,「救急診療における画像診断の重要性は高まっている」と回答している。しかし,救急現場に画像診断医が関与しきれていないというのが日本の現状である。救急医の中には,画像診断の重要性を強く認識し,放射線科に勉強にくる医師も増えており,今後そのような動きはますます増えてくるであろう。
一方で,CTへの依存が強まる別の理由も存在する。救急診療では,慢性的な専門医の不足という厳しい環境下であっても質を維持しなくてはならない。例えば,夜間急患センターなどでは,研修医を中心に診療を行わざるを得ず,スタッフ数も十分とは言えない中で,迅速かつ正確な診療が求められる。客観的でより質の高い情報を得られる検査があれば活用したいと考えるのは当然で,CTへの依存度が高くなる。これは,欧米の救急現場でも同様であり,今後もCTへの依存度はますます高くなっていくだろう。
救急患者側の要因としては,さまざまな制限が多く,理想的な形で検査が行えないことが挙げられる。体位や造影剤使用の制限,呼吸苦で息止め撮影ができないなど,厳しい条件下での撮影が避けられない。なかでも,最も重要なのは時間的制限である。救急では,容体がいつ急変するかわからない。患者の治療方針決定までの時間的制限の中で,患者の安全性を保った検査が求められている。
■救急診療に求められるCT装置とは?
救急診療に求められるCT装置には,どのような性能が必要なのだろうか。
それは,少しでも速い検査,質の高い画像情報の迅速な提供,被ばくを低減した低侵襲な検査の実現である(図3)。

図3 救急診療に求められるCT装置とは
Aquilion PRIME導入当初は,64列CTより少し多列化された程度の感覚でいたが,実際使用してみると,短時間撮影,再構成時間の速さ,高画質,被ばく低減など,その高性能を目の当たりにすることになった。Aquilion PRIMEとAquilion16を比較してみると,トータルの検査時間が格段に速くなり,被ばく低減も実現しているため,救急診療における意義を実感している(図4)。

図4 Aquilion16とAquilion PRIMEの比較
再構成時間が,16列CTに比べて飛躍的に速くなったことで,診療チーム全体のストレスが減った(図5)。以前は,全身CT検査に約20分かかり,画像の再構成時間にはそれ以上を要していたが,現在では,撮影から再構成時間まで入れて10〜15分程度と安定している。
また,ガントリー径が780mmと大きいのは,救急診療においては重要なポイントとなる(図6)。体位の制限が多い救急診療でもポジショニングが容易になり,撮影の適応が拡大した。さらに,広いガントリーは患者の急変などにも対応しやすい。
![]() 図5 Aquilion16とAquilion PRIMEの撮影時間の比較 |
![]() 図6 Aquilion16とAquilion PRIMEのガントリー開口径の比較 |
AIDR 3Dによる被ばく低減も,CT検査数が増えている救急診療においては非常に意義が大きいと考える(図7,8)。
Aquilion PRIMEは,短時間撮影で,より質の高い画像情報を提供することができる。クオリティの高い画像は,迅速な診断に不可欠な情報である。Aquilion PRIMEは,迅速なマネージメントが求められる救急診療において,非常に有用性の高いCTと言える。
![]() 図7 AIDR 3Dの有無による比較 |
![]() 図8 Aquilion CXLとAquilion PRIMEの撮影時間・被ばく線量の比較 |
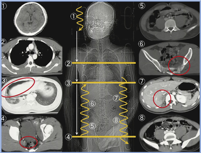
■外傷症例での読影方法:FACT(Focused Assessment with CT for Trauma)
現在,われわれは外傷CTについて,出来上がってくる画像をその場で順番に観察し,3分以内で全身を評価する“FACT(Focused Assessment with CT for Trauma)”という読影方法を推奨している。この方法は,外傷初期診療ガイドラインにおいても,標準的な読影方法に置き換わってきている。FACTでは図9のように,頭部(血腫の有無等)⇒大動脈損傷の有無⇒気胸・血胸の有無⇒腹腔内血腫の有無⇒骨盤・椎体骨折の有無⇒腹部臓器,という順番で3分以内に読影を行う。
FACTを撮影を行っている間に実施するためには,短時間での撮影・画像提供が必要となる。すなわち,Aquilion PRIMEのような短時間撮影・短時間再構成が可能なCTでないと実現できないということになる。

図9 外傷CTの読影方法“FACT”
■迅速な検査へのアイデアと検討
救急診療の現場で,Aquilion PRIMEの有用性を実感しているが,より良い診療を提供するための検討も行っている。例えば,図10のように,寝台の上に“ライン”を付けておき,患者の頭部を線に合わせて乗せると,ボタン1つで自動的に一定範囲のスキャンが撮れる機能など,迅速な検査実現のためのワークフローに向けたさまざまなアイデアを提案している。

図10 ワークフロー改善に向けたアイデアの提案
■まとめ
“病の沙汰も画像次第”という状況で,救急診療の画像診断への依存度が増している。
FACTのような読影方法に準拠し,迅速な診療マネージメントを実現するためには,短時間で検査を完了し,画像提供が行えるシステムが必要である。被ばく低減という面も含めて,Aquilion PRIMEは救急診療のニーズにマッチし,医療提供者側・患者側双方へのメリットが大きい,高い有用性を実感するCTであると言える。
●参考文献
1) 松本純一・他:急性腹症におけるCTの有用性. Journal Abdominal Emergency Medicine, 30・7, 875〜881, 2010.
2) Abujudeh, H. H., et al. : Abdominopelvic CT Increases Diagnostic Certainty and Guides Management Decisions ; A Prospective Investigation of 584 Patients in a Large Academic Medical Center. AJR, 196・2, 238〜243, 2011.
3) Huber-Wagner, S., et al. : Effect of whole-body CT during trauma resuscitation on survival ; A retrospective, multicentre study. Lancet, 373・9673, 1455〜1461, 2009.