
2008年4月号
Abdominal Imagingにおけるモダリティ別技術の到達点
DR/DA−腹部領域におけるInfinix Celeve-iシリーズの到達点
廣瀬 聖史
営業本部営業推進部
X線循環器診断システム「Infinix Celeve-i」シリーズは,X線検出器に平面検出器(FPD)を搭載可能なシステムとしてリリースされた。当初は,循環器系に特化したシステムのみであったが,FPDのラインナップや,ソフトウエアおよびハードウエアの追加により,頭腹部・四肢にわたる全身対応が可能なシステムとして現在も進化している。
本稿では,Infinix Celeve-iシリーズの腹部領域における到達点について紹介する。
■ システムについて
Infinix Celeve-iシリーズは利用目的・利用環境に合わせて,天井走行式システム,床置き式システム,バイプレーンシステム(図1)を選択できる。また,一部屋に循環器専用のCアームと頭腹部専用のCアームの2つのアームをレイアウトできるデュアルプレーンレイアウトや,CT組み合わせシステムのラインナップもある。肝細胞がんの治療に特化する形で世界に先駆けて開発されたCT組み合わせシステムは,いまでは64列CT「Aquilion64」と組み合わせることも可能となった。
X線検出器については,最大視野8インチ角(対角11.5インチ相当,約20cm×約20cm)と,最大視野12×16インチ(対角20インチ相当,約30cm×約40cm)の2種類を選択して搭載できる。
8インチFPDは循環器・頭部造影を主目的とし,12×16インチタイプは循環器を含む全身に対応するようなサイズになっている。特に,12×16インチタイプは撮影部位に合わせ,患者様に対してポートレート,ランドスケープのどちらにもレイアウトできる。ポートレートであれば,患者様の体軸に広い視野が得られるため,上腸間膜動脈から門脈までの広い範囲を撮影でき,ランドスケープであれば,患者様の横手方向に広い視野が得られるため全肝の画像を得ることができる。FPDを長方形にしたことで,16インチI.I.より小さな体積に収まり,手元の作業性も向上して視覚的な圧迫感も低減した。
Cアームの動作範囲は,天井走行式でも床置き式でも患者様の体軸方向および横手方向の移動を可能としており,カテーテル寝台の長手・横手移動では得られなかったワイドな撮影範囲を得ることができる(図2)。これにより,患者様の全身に対応できるほか,さまざまな器材の配置や術者の立ち位置に自由度が増える。
また近年では,カテーテル検査や治療の際に,アンギオ装置のみならず他のモダリティの画像をガイドとしたインターベンションも多く行われている。その際,それらの画像をそれぞれの専用モニタで確認することがしばしばであった。Infinix Celeve-iシリーズではそれらを解消するため,View Switcherという画像切り替え機能を持つ。カテーテル室内のモニタに,複数のモダリティの画像を選択して切り替えられるよう接続が可能で,その画像の切り替えはテーブルサイドコントローラにて可能である。そのため清潔状態の術者が必要な画像に切り替えることできる。 |

図1 X線循環器診断システム「Infinix Celeve-i INFX-8000V」 |

図2 横手移動と長手移動
上段:INFX-8000V 下段:INFX-8000C |
■ 画質について
Advanced Image Processing(AIP)Technologyという新機能を搭載し,デジタル画像処理やX線制御機構を進化させた。AIPによるデジタル画像処理機能では,原画像をリアルタイムに線状成分と背景成分に分離し,それぞれに最適な画像処理をかけてデバイスの視認性を向上させている(図3)。特にAdvanced Digital Compensation Filter(ADCF)では,背景に当たる画像成分のダイナミックレンジを適正にすることで画像全体の濃度を安定させる。
AIP処理により,これまで透視画像では視認しにくかった椎体上に重なったカテーテルなどの視認性が向上し,腸管ガスや肺野からのハレーションを抑えることが可能になった。 |

図3 AIPによる画像処理 |
■ 3D-Angio
肝細胞がんの栄養血管の同定には,カテーテルによる選択的造影が行われる。その際,複雑な血管を判断するために立体的な観察が有効な場面がある。そのため,正面側からの撮影だけではなく,斜位にCアームを配置して観察するようなこともあった。
また,複雑な血管構造を理解するため,回転DSAによる観察も検討され,IVR支援機能として利用いただいた1)。回転DSAでは,撮影方向以外の立体観察ができないという弱点がある。そのため,一度の撮影で多方向から観察できるアプリケーションが望まれた。
その結果,回転撮影して得られた画像をもとに三次元再構成する3D-Angioが登場した。3D-Angioは,頭頸部を中心に標準的なアプリケーションとなったが,腹部領域においても栄養血管の同定に有効である。Infinix Celeve-iでは,回転DA,回転DSAのどちらからも三次元再構成が可能である。特に回転DSAからの再構成画像では,造影剤の入った血管像のみを再構成するため,造影剤に染まった肝細胞がんと栄養血管を明瞭に確認できる。図4に3D-DSAの一例を示す。 |

図4 3D-DSA:肝細胞がん |
■ Low Contrast Imaging
3D-Angioまでの機能に到達したが,さらに検査効率を上げるためのアプリケーションが望まれた。特に肝細胞がんの診断には,CTによる断層画像が必要になる。従来は,これらを得るためにカテーテル室にて目的血管にカテーテルを留置し,患者様をCT室に移動させていた。
この作業効率を向上させるため,同室でCT撮影ができるようにCT組み合わせシステムを開発した。しかし,設置スペースの問題,コストの問題などにより,幅広く利用可能なシステムとは言えない。そのため,CTに準ずるような画像をカテーテル室で撮影できることが望まれた。
3D-Angioは,X線吸収の高い物体の描出能には優れているが,X線吸収の低い物体については不十分である。そのため当社では,Low Contrast Imagingを開発した。3D-Angioと同様に,回転撮影から得られた画像を三次元に再構成する。再構成画像では実質の情報も必要とされるため,回転DSAではなく回転DAを用いる。また,Low Contrast Imagingには,断層面においてCT値10HU,10mm程度の濃度分解能が得られるようさまざまな処理が加えられている。
画像収集は,撮影時間を優先する高速収集モード,高画質を求める画質重視モード,および中間モードの3モードを持つ。それぞれサンプリング画像枚数が変わってくる(表1)。FPDシステムの3D-Angioでは,三次元再構成時にCアームのたわみ補正を行うのみであったが,Low Contrast Imagingではアーチファクトを低減するためにCアームのたわみ補正のほか,散乱線補正,ビームハードニング補正,さらにリングアーチファクト補正を行っている。これらにより,CT値で10HU程度の分解能を実現している。
MPR像に関しては,厚みを加算することで画質を上げることは可能であるが,Low Contrast Imagingではおよそ1〜3mm程度の厚みで十分な画像が得られている(図5)。そのためMPR像だけではなく,ボリュームレンダリングとしてもこれまでの3D-Angioと同じように高画質を実現できている(図6)。
このようにLow Contrast Imagingは,CTほどの濃度分解能は持たないものの簡易的なCTとしての利用できるほか,インターベンションに必要な高画質のボリュームレンダリング像を一度に得られる。Low Contrast Imagingの利用法は,血管系のみならず非血管系にも適応の範囲が広まるものと期待している。
|

表1 Low Contrast Imaging収集モード |

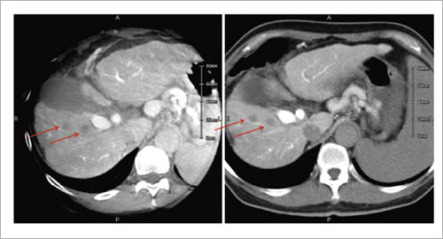
図5 CTAP
a:Low Contrast Imaging(3mm厚)
b:シングルスライスCT(7mm厚)
→は大きさ6mm程度の肝細胞がん |

図6 Low Contrast Imagingによるボリュームレンダリング像:肝細胞がん |
Infinix Celeve-iシリーズは,機構のみならずAIP technology,3D-AngioやLow Contrast Imagingなどのデジタルアプリケーションの追加により,より効率的な環境を提供している。
*Infinix Celeveは東芝メディカルシステムズ(株)の商標です。 |
| ●参考文献 |
| 1) |
斉藤孝行 : 腹部領域における回転DSAの有用性について. メディカルレビュー, 22・3, 2〜11, 1998. |
【問い合わせ先】
X線事業部