東芝メディカルシステムズ

ホーム の中の inNavi Suiteの中の 東芝メディカルシステムズの中の Technical Noteの中の東芝独自の最新臨床アプリケーション−非造影MRAと脂肪抑制法における新たなアプローチ

Technical Note

2008年9月号
特集−Step up MRI 2008−Z 技術開発最前線

MRI−東芝独自の最新臨床アプリケーション−非造影MRAと脂肪抑制法における新たなアプローチ

後藤 克人
MRI事業部

東芝はこれまで,MRIとしての基本性能の向上を基軸にして,静音機構“Pianissimo”や非造影MRA技術の“FBI”法,“Time-SLIP”法といった患者さんにやさしい独自の技術を開発し,新しい臨床価値の提供を続けてきた。
  本稿では,非造影MRAのさらなる進化と脂肪抑制法への新たなアプローチを紹介する。

◆より微細に末梢まで描出する新しい脳MRAへのアプローチ“FSBB”法

昨今,中枢神経系におけるMRIの臨床応用は,脳腫瘍や超急性期脳梗塞の診断のみならず,T2画像の活用により,微小な脳出血病変も的確に把握できるようになった。また,T2成分を強調することで,微細な静脈の描出が可能となり,静脈性疾患へのアプローチも進んでいる。そのほか,3T MRI装置の登場により,従来では描出が困難であった穿通枝動脈の描出が報告されるなど,頭部領域におけるMRAへの関心が再び高まっている。
東芝は,従来の脳MRAが持つ描出能の限界をブレイクスルーする方向をめざして新技術“FSBB(Flow Sensitive Black Blood)”法を開発した。
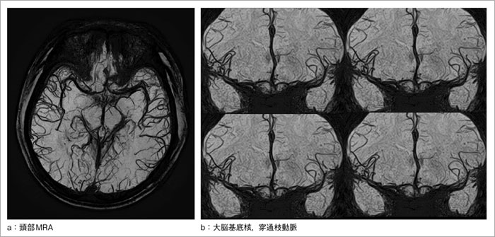
FSBB法は,3D収集の高分解能T2強調像をベースにしたMRAである。従来のT2強調像で見られる位相情報の付加によるマジックアングルの影響がないため,元画像の信頼性が向上する1)。また,ベースがT2*強調像なため,微小出血巣や静脈血管の描出が可能となる。この元画像のベーシックな描出能に,ディフュージョンで用いられているMPG(motion probing gradient)パルスを加えて血流信号のde-phase効果を促進させ,さらなる血管描出能の向上を図った点が最大の特長である(図1)。
この結果,1.5T装置となっても,FSBB法を用いることで,脳底動脈穿通枝のような微細な血管を鮮明に描出できるようになった2)。FSBB法は今後,虚血性脳疾患における側副血行路の描出や,動脈吻合術のフォローアップへの適応,また,近年話題となっている血栓溶解療法(t-PA)後の血流評価など,さまざまな臨床応用への期待が高まっている3)


図1 FSBB画像
図1 FSBB画像

◆より高精度な新世代脂肪抑制技術“Enhanced Fat Free”

現在,さまざまな脂肪抑制法が実用化されているが,それぞれ一長一短があり,広い範囲にわたって効率良く,良好な脂肪抑制効果を得るのはどの手法でも困難と言える状況である。例えば,最もよく使われている,周波数選択的に脂肪信号を抑制する手法(CHESS法)は,静磁場の不均一性やRFパルスの不均一性によって脂肪信号の励起が不均一になり,これに由来して信号ムラが発生しがちである。他方,アディアバティックパルスを用いて不均一性を改善する方法もあるが,良好な抑制効果を得るためには長いパルス印加時間を要する。このため,結果的に撮像時間の延長を余儀なくされるという欠点がある。
今回東芝は,広範囲で両法の問題点を解決し,安定した脂肪抑制効果を効率良く得るための新しい脂肪抑制技術“Enhanced Fat Free”を開発した。
Enhanced Fat Freeは,磁場不均一やRFパルスの不均一に起因する信号励起のムラを,複数の脂肪抑制パルスによって効率良く改善する技術である(図2)。結果的に,広範囲で均一な脂肪抑制効果が得られる上,撮像時間もほとんど延長しない。
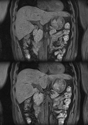
また,Enhanced Fat Freeは,さまざまなイメージングシーケンスと組み合わせることで幅広い臨床応用が可能となる。例えば,高速3D撮像法である“Quick3D’s”と組み合わせれば,高画質な全肝息止め造影撮像をルーチンで行える4)。この場合,広範囲にわたって高い脂肪抑制効果が得られるため,患者さんが手を下ろした楽な姿勢での脂肪抑制冠状断撮像が可能になる(図3)。
そのほか乳房の撮像においては,1回のシミングで両側同時に信号差のない均一な脂肪抑制効果が得られる。このため,高画質なMRマンモグラフィ検査を従来以上に効率良く行うことができるようになった。応用範囲が広く,将来性の高い新世代の脂肪抑制手法として,Enhanced Fat Freeはいま大きな注目を集めている。


図2 Enhanced Fat Freeの概要
図2 Enhanced Fat Freeの概要

図3 Enhanced Fat Freeによる全肝の脂肪抑制冠状断
図3 Enhanced Fat Freeによる全肝の脂肪抑制冠状断

◆さらなるMade for Lifeをめざして

東芝では,“Made for Life”をスローガンに,MRI検査に求められる患者さんへのやさしさを追究しながら,これまでにない有用な画像情報をルーチン検査に提供し,新たな診断価値を実現していきたいと考えている。
今回紹介したFSBB法と,Enhanced Fat Freeを単に目新しい技術の紹介に終わらせず,今後,臨床現場からの評価を継続的に技術開発にフィードバックすることで患者さんにやさしい,患者さんに役立つ技術の進化の方向性をめざしたいと考えている。


●参考文献
1) 小玉隆男・他 : 脳血管奇形におけるSusceptibility weighted imaging(SWI). 第35回日本磁気共鳴医学会大会, O-3-023, 2007.
2) 岡田知久・他 : Flow Sensitive Black Blood撮像法によるレンズ核線状体動脈描出の検討.第35回日本磁気共鳴医学会大会, O-2-039, 2007.
3) 土屋一洋 : 脳血管の血流情報を収集して動静脈を描出するFS-BB(Flow Sensitive Black Bood). DIGITAL MEDICINE, 7・2, 10〜12, 2007.
4) 濱田祐介・他 : 脂肪抑制併用3D gradient echo法(Double Quick法)を用いた全肝Dynamic studyの検討─Angio-CTの比較.第35回日本磁気共鳴医学会大会, O-1-023, 2007.


【問い合わせ先】 MRI事業部