東芝メディカルシステムズ

ホーム の中の inNavi Suiteの中の 東芝メディカルシステムズの中の Technical Noteの中のX線循環器診断システム「Infinix Celeve-i INFX-8000V」における新機能の開発

Technical Note

2009年4月号
Cardiac Imagingにおけるモダリティ別技術の到達点

DA(FPD)−X線循環器診断システム「Infinix Celeve-i INFX-8000V」における新機能の開発

小澤政広
X線事業部X線開発部

2006年から市場投入したマルチアクセスCアーム搭載のX線循環器診断システム「Infinix Celeve-i INFX-8000V」(以下,INFX-8000V)は,従来の床置き式システムでは不可能だったCアームポジショニングにより,心血管専用装置の役割に加え,上肢や下肢に至る全身対応のシステムとして,多くの施設で利用されている。一方で,冠動脈疾患に対するCTやMRIの診断能力の向上により,冠動脈造影(CAG)は減少傾向にあり,X線循環器診断システムは冠動脈インターベンション(PCI)に特化して使用されるようになっている。PCIは,新しい治療デバイスである薬剤溶出性ステント(DES)の普及によって,その件数は増加傾向にあり,同時に,より困難で複雑な手技が求められる冠動脈症例を治療する方向へ変遷している。さらに,循環器内科領域は冠動脈のみならず,頸動脈や下肢動脈,腎動脈などの末梢血管のインターベンション(PPI)へと治療対象を広げる傾向にある。
このように変化しつつある循環器内科領域の手技を支援するため,“Total Cardiovascular Care”を開発コンセプトとして,従来のINFX-8000Vに新機能を搭載したシステムを開発した(図1)。本システムの主な特長は,(1) 高画質な透視像の提供,(2) PCI支援のための臨床アプリケーションの搭載,(3) Cardio-logistによるPPIに最適な12インチ視野FPDの組み合わせである。本稿では,高い透視画質を実現した画像処理技術,およびPCI支援の臨床アプリケーションを紹介する。


図1 INFX-8000Vの外観
図1 INFX-8000Vの外観

■ 高画質な透視像の提供

より正確に,より短時間にPCIを実施するためには,PCI術中にデバイスを正確に観察できる高画質な透視像を提供することが必須条件となる。当社では,従来のパターン認識フィルタ(DPRF),背景圧縮処理(ADCF)に加えて,東芝のX線装置の新画像処理コンセプト“Pure Brain”の核となる新しいノイズ低減フィルタ“Super Noise Reduction Filter(SNRF)”を導入した。
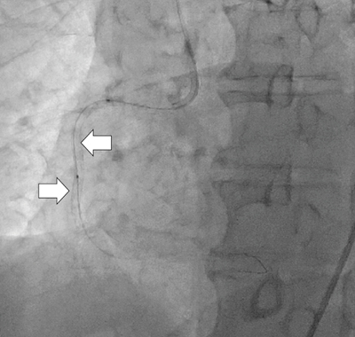
SNRFは,周辺画素を含めた独自のノイズ識別方法により,X線量を増加させずに透視像および撮影像の大幅なノイズ低減が可能となるフィルタである。また,リカーシブフィルタのような過去画像を使用した画像処理ではないため,透視でも残像による動体ボケは生じない。本システムでは,SNRFを組み込むことで,残像を生じさせずに,空間解像度を保ったままノイズを低減するという高画質な透視像および撮影像を実現した。図2に透視像の例を示す。右冠動脈に3.0mm×18mmおよび3.0mm×30mmのDriverステントが連続して留置されている様子(→)が明瞭に観察できる。


図2 透視像例(Driverステント:3mm×18mmと3mm×30mm)
図2 透視像例(Driverステント:3mm×18mmと3mm×30mm)
(画像ご提供:高瀬クリニック様)

■ PCI支援の臨床アプリケーション

PCIで実施される一連の処理の流れは,(1) 病変部定量解析,(2) デバイスサイズの決定,(3) デバイス留置,(4) 拡張デバイス評価の4つのプロセスから構成される。本システムでは,デバイス留置操作以外の3つのプロセスにおいて,術者を支援するための臨床アプケーションを,3D QCA機能の技術“CV-3D”をベースに実現する(図3)。

1.CV-3D定量解析ツール
まず,冠動脈病変部の定量解析を行う。このプロセスでは,3D QCA機能(三次元冠動脈定量解析ツール)が有用である。3D QCA機能では,少なくとも2方向から撮影したX線画像から,冠動脈の三次元再構成画像を生成する。見かけ上の長さが短く認識されるForeshortening効果(2D QCAの欠点)を低減できるため,病変部の適正な定量解析が可能となる。従来システムに実装された3D QCA機能では,複雑な血管を対象とする場合に,血管セグメントの指定に手間がかかるという課題があった。本システムでは,サブセグメント単位で対象の血管を指定できるよう改善することで,操作にかかる時間短縮を可能とした。

2.CV-3Dデバイス留置計画支援ツール
PCIで使用するデバイスの径,長さに加えて,複数のデバイスを留置する場合に相互の位置関係をあらかじめ把握しておくことは,再狭窄を防止する上で重要である。本ツールは,3D血管像上に仮想デバイスをグラフィックで重ね合わせ表示することで,最適なデバイス選択と留置位置の決定を行い,より安全で,より効率的に手技を実施するための計画作業を支援する。長い領域での狭窄や分岐血管部での複雑な狭窄病変のケースで,PCI経験の浅い術者に対する有用な支援ツールとしても活用できる。図4に,デバイスの仮想表示を用いて,分岐血管における2番目のデバイス留置位置を計画する例を示す。

3.CV-3Dデバイス拡張評価ツール
デバイスの拡張不良によっても再狭窄は引き起こされるため,拡張デバイスの状態の評価は重要である。本ツールは,バルーンを留置したままの状態で,デバイス拡張後に収集した画像上の2つのデバイスマーカを指標として,収集画像の複数フレーム上のマーカ近傍にある画像領域に対して独自の画像処理を施し,デバイス以外の構造物や背景ノイズを低減させる一方で,その領域に存在する構造物(デバイス)のみを強調表示する。本ツールにより,透視だけでは判定し難かったデバイスの拡張度合いを,短時間で効果的に評価することができる。図5に,デバイスの強調表示の例を示す。デバイスの詳細な拡張状態が確認できる。


図3 PCI支援アプリケーション“CV-3D”
図3 PCI支援アプリケーション“CV-3D”

図4 CV-3Dによるデバイスの仮想表示
図4 CV-3Dによるデバイスの仮想表示

図5 CV-3Dによるデバイスの強調表示
図5 CV-3Dによるデバイスの強調表示

これからも進歩し続けるPCIやPPIにおける手技や新規デバイスに対応するため,透視画質に代表されるX線循環器診断システムの基本性能のさらなる向上を図る。さらに,PCI支援アプリケーションについても継続した製品開発を行い,PCIの一連のプロセスを一貫して支援するシステムづくりをめざす。



【問い合わせ先】 X線事業部