東芝メディカルシステムズ

ホーム の中の inNavi Suiteの中の 東芝メディカルシステムズの中の Technical Noteの中の乳がん検診をサポートする女性にやさしいマンモグラフィ「MAMMOREX Pe・ru・ru DIGITAL」

Technical Note

2009年8月号
究極のデジタルマンモグラフィに向けて−最新技術解説

DMG−乳がん検診をサポートする女性にやさしいマンモグラフィ「MAMMOREX Pe・ru・ru DIGITAL」

「MAMMOREX Pe・ru・ru DIGITAL」(図1)は,乳がん検診の受診率向上に寄与できる“女性にやさしいマンモグラフィ”をめざしたFPD搭載デジタルマンモグラフィ装置です。

以下では,MAMMOREX Pe・ru・ru DIGITALの特長を紹介します。

  • 日本人女性に適した17cm×24cmのコンパクトな直接変換方式FPDを搭載しています。
  • 撮影後約7秒でプレビュー画像を表示し,撮影サイクルも30秒以内となり,検査効率を格段に向上しました。
  • SIDを従来よりも大きい70cmとしたことで,作業空間が広がりさまざまな乳房に対して適切なポジショニングが可能です。
  • デリケートな乳房への痛みを少しでも軽減したいとの思いから,柔軟な素材による均一な圧迫と圧迫力に応じてスピードを可変速する“美圧”システムを搭載しています。
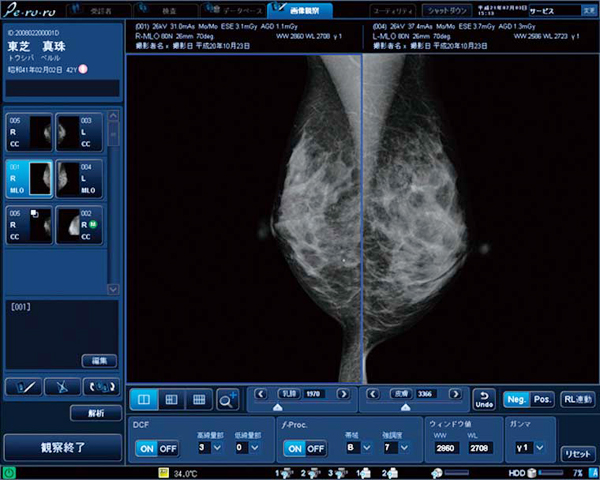
  • 日本語ユーザーインターフェイスを用いた操作画面(図2)で,撮影画像のミラービュー表示機能なども有しており,操作が簡便です。
  • 新設計の“バイオプシーキット”(オプション)を組み合わせることにより,本体FPDを使用したバイオプシー検査にも対応可能です。
  図1 MAMMOREX Pe・ru・ru DIGITAL
図1 
MAMMOREX Pe・ru・ru DIGITAL

図2 わかりやすい日本語表記
図2 わかりやすい日本語表記



【問い合わせ先】 X線事業部