東芝メディカルシステムズ

ホーム の中の inNavi Suiteの中の 東芝メディカルシステムズの中の Technical Noteの中の乳房領域における東芝CTの有用性

Technical Note

2009年8月号
究極のデジタルマンモグラフィに向けて−最新技術解説

CT−乳房領域における東芝CTの有用性

東芝のマルチスライスCT「Aquilion」シリーズは,0.5mmスライス厚を最大限に生かし,短時間で高分解能のスキャンをすることができます。
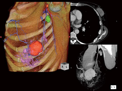
術前においては,歪みのないVR像により腫瘍とその近傍の脈管,リンパ節などのマッピングを,あらかじめ術者に提供することが可能です(図1)。


図1 乳房CT画像
図1 乳房CT画像
0.5mmスライス撮影,さらにはAECを使用。術前検査として原発巣の乳頭からの距離,肋骨に対する位置情報を正確に把握できます。


また,乳房CT検査における被ばく低減ツールとして,xyz方向で電流を変調する“Volume EC”や,肩の部分で問題になるストリークアーチファクトを低減する“Boost 3DTM”などにより,画質を損なうことなく線量をコントロールできます。術後フォローアップは低線量で施行したいという要望に対しては,“QDS(Quantum Denoising Software)”を併用することで,画質を担保しながら画像ノイズを低減が実現します。
さらに,次世代CTとして開発されたArea Detector CT「Aquilion ONE」(図2)は,1回転で160mmの範囲を撮影可能です。これにより,1臓器全体を1回転で撮影することや時間軸方向に連続撮影することで,血流などの動態情報も取得可能となりました。
乳房領域では,One shot撮影によるドラスティックな被ばく低減や,血流や腫瘍濃染を寝台天板の移動を伴わず,経時的に観察できるダイナミック撮影の適用拡大が期待されます。


図2 320列面検出器Area Detector CT「Aquilion ONE」
図2 320列面検出器Area Detector CT「Aquilion ONE」



【問い合わせ先】 CT事業部