東芝メディカルシステムズ

ホーム の中の inNavi Suiteの中の 東芝メディカルシステムズの中の Technical Noteの中の臨床ニーズから発展した新技術HOP-MRAとJET

Technical Note

2009年9月号
特集−Step up MRI 2009−X 各社技術開発の最前線

MRI−臨床ニーズから発展した新技術HOP-MRAとJET

竹本 周平
MRI事業部

東芝のMRI装置は,これまでお客さまからいただいた数多くの意見をもとに技術を革新してきた。本稿で紹介する新技術“HOP-MRA”は,従来のTOF法に東芝独自のFSBB法を組み合わせた新しいコンセプトのMRA手法である。また,体動補正法の“JET”は臨床ニーズを盛り込み,大幅な機能拡張と画質向上を実現した。これら2つの技術を紹介する。

◆FSBBから進化したHOP-MRA

FSBB(Flow-Sensitive Black Blood)法は,血液を低信号化する目的で弱いMPGパルスを与えたグラディエントエコーシーケンスでT2強調の特性も併せ持ち,磁化率のみならずフローにより血管-背景コントラストをつけることが可能な方法である。FSBBは,特に低速の“flow”を高感度に描出する特長があり,臨床的には腫瘍性病変や血管性病変に使われている(図1,2)。さらに,断面に依存せずflow情報を取得できるため,従来法では描出が難しいとされてきた大脳基底核穿通枝動脈の描出も可能である(図3)。FSBBは,空間分解能も従来のTOF法の3D-MRAと同等以上を実現することが可能で,最小値投影(mIP)処理することでより高精度な観察が容易になる。


図1 FSBBのシーケンスチャート
図1 FSBBのシーケンスチャート
3D-FE法を用いて低いb-factorのMPGを3軸に印加することで,flow信号をdephaseさせ,血管を低信号に描出する(b-factor=1〜4s/mm2)。

図2 1.5TのFSBB臨床例:神経膠腫
図2 1.5TのFSBB臨床例:神経膠腫
左からFSBB(mIP処理),T2強調像,C.E. SE T1強調像。
(画像ご提供:宮崎大学医学部病態解析医学講座放射線分野・小玉隆男先生)

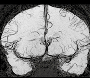
図3 健常人における1.5T大脳基底核穿通枝動脈の描出
図3 健常人における1.5T大脳基底核穿通枝動脈の描出
(画像ご提供:京都大学医学部附属病院放射線診断科・岡田知久先生)

初期臨床評価の段階において,FSBBによるflow情報を,従来TOF法と同様に高信号で観察したいという臨床ニーズがあった。また,別シーケンスを追加撮像するには検査時間が延長してしまう点も考慮しなければならなかった。われわれは,TOF法とFSBB法を同時収集し,検査時間を延長させることなく臨床的有用性を高められる新手法を考案し,これらの解決策を反映させ,今回より進化したMRAとして“HOP-MRA(Hybrid of OPposite-contrast MRA)”が登場した。
HOP-MRAの概念を図4に示す。TOF法は,収集断面に対し直交方向に流入する血流の描出に優れる。その反面,面内に回り込む血管や平行に流れる血流の描出が困難な場合がある。FSBBは,TOF法の弱点を補い,方向依存性の少ない血流描出を可能にした。3D-FE法をベースにして,繰り返し時間(TR)内でTOF法の信号とFSBBの信号をダブルエコーで収集する。こうして得られたデータを画像演算することで,微細な血流信号を高信号に描出するのである(図5,6)。


図4 HOP-MRAの概念
図4 HOP-MRAの概念
FSBBとTOFを同時に取得し,画像間演算処理により血流信号を高信号に描出する。

図5 HOP-MRAとTOFのシグナル・プロファイリングカーブの比較
図5 HOP-MRAとTOFのシグナル・プロファイリングカーブの比較
PCA末梢血管CNRは,TOF法に比べHOP法で増大している。
縦軸は背景に対するCNR=(S-Sback)/noiseSDを表す。
図6 1.5TのHOP-MRAの臨床例:右中大脳動脈閉塞,右STA-MCA吻合術の術後評価
図6 1.5TのHOP-MRAの臨床例:右中大脳動脈閉塞,右STA-MCA吻合術の術後評価
(画像ご提供:杏林大学医学部放射線医学教室・土屋一洋先生)

◆体動補正法“JET”の機能拡張

体動補正法JETは,FSE法で得られた収集エコーデータの束(blade)をk空間上で回転させて充填し,画像化する手法である(図7)。これまでは,呼吸や体動の影響を受けにくい技術として頭部領域を中心に使用されている。東芝は,実用性を向上させると同時に検査領域の拡大を図った。折り返し防止機能の改良,脂肪抑制パルスの適用可能,IRパルスの適用可能,および呼吸同期機能などである。例えば,画質低下を招く大きな要因であった折り返しアーチファクトを抑制する機能については,折り返し防止(No Phase Wrap)の併用を可能とすることでFOV設定の自由度が改善され,10段階で折り返し防止のサンプリングの割合を変更できるようにした。これによって,画質低下を抑え,同時に撮像時間と分解能のバランスをより細かく設定することが可能になった。また,撮像パラメータの自由度を向上させることで,T2強調像のほかFLAIR像,T1強調像も得られるようにした。
以上の機能拡充によって,整形,腹部,骨盤部など,領域を選ぶことなく高精度かつ確実なルーチン検査が可能になった(図8)。


図7 JETの概念
図7 JETの概念

図8 各領域におけるJETと従来法の画像比較(枠内がJET法)
図8 各領域におけるJETと従来法の画像比較(枠内がJET法)
a:頭部でのT2強調像。動きによる影響を低減している。
b:上腹部でのT2強調像。呼吸の影響を低減している。
c:上腹部での脂肪抑制と呼吸同期併用T2強調像。体動補正と良好な脂肪抑制効果が見られる。
d:女性骨盤領域での矢状断面T2強調像。不随意運動の体動補正効果が見られる。
e:骨盤領域でのT2強調像。腸管の蠕動運動の影響を低減している。
f:肩の脂肪抑制T2強調像。呼吸の影響を低減している。
(画像ご提供:共愛会戸畑共立病院放射線科・中村克己先生・他)

東芝は“Made for Life”をスローガンに掲げ,MRI検査に求められる患者さんへのやさしさを追究している。ユーザーの先生方の声に耳を傾けることで,これまでにない有用な画像情報を検査に提供し,新たな診断価値を実現していきたいと考えている。今回紹介したHOP-MRAとJETは,すでに臨床使用されており,臨床現場からの評価を継続的にフィードバックすることで,患者さんにやさしい,患者さんに役立つアプリケーションに育てたいと考えている。


●参考文献
1) Tsuchiya, K., et al. : ISMRM, Berlin, Germany, 2007(abstract 3016).
2) 木村徳典・他 : 映像情報Medical, 39・10, 905〜909, 2007.
3) Kimura, T., et al. : ISMRM, Berlin, Germany, 2007(abstract 3015).
4) Kodama, T., et al. : ISMRM, Toronto, Canada, 2008(abstract 3425).
5) imura, T., Ikedo, M., Takemoto, S. : Hybrid of opposite-contrast MR angiography(HOP-MRA) combining time-of-flight and flow-sensitive black-blood contrasts. Magn. Reson. Med., 62・2, 450〜458, 2009.
6) Gotoh, K., et al. : J. Magn. Reson. Imaging, 29, 65〜69, 2009.
7) Kimura, T., et al. : Mag. Reson. Med., 62・2, 450〜458, 2009.
8) 土屋一洋 : INNERVISION, 24・2, 89〜91, 2009.
9) 高橋修司・他 : JSMRM, O-2-221, 2008.
10) 高橋修司・他 : JRC, CP318, 2009.
11) 濱田祐介・他 : JRC, CP319, 2009.
12) 山本晃義・他 : JRC, CP320, 2009.
13) 原岡健太郎・他 : JRC, CP321, 2009.


【問い合わせ先】 MRI事業部