
2010年3月号
CT Colonographyの画像処理・表示法における技術開発の現状
CT−大腸CT専用解析ソフト“コロンビューイングソフトウェア”
藤井 健二
CT事業部
大腸CT検査は,偶発的な副作用や被検者の身体的負担が少ないため,大腸画像診断における新たな検査ツールとして注目されている。
東芝では,大腸CT検査の専用解析ソフトである“コロンビューイングソフトウェア”の開発を行い,16列以上のCT装置ではアプリケーションソフトとして搭載できる(オプション)。
このコロンビューイングソフトウェアは,CT装置本体で解析を行うことが可能な専用ソフトであり,専用ワークステーションなどへ画像を転送する時間と手間を省くことができるため,検査スループットの向上を可能とする。また,本ソフトでは下記のようなさまざまな画像表示法を有している。
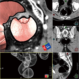
・仮想内視鏡像であるフライスルー画像(図1)
・フライスルー画像にMPR像をフュージョンさせたフライスルー+MPR像(図2)
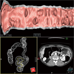
・360°展開させたフィレビュー画像(図3)
また,一般的に仰臥位,腹臥位の2体位で撮影される大腸CT検査に対応しているため,これらの情報を同時に表示する機能も実装しており,CT検査で得られる情報を最大限に生かし,かつ,あらゆる局面に応じて解析を行う検査環境を提供できる。 |

図1 フライスルー画像 |

図2 フライスルー+MPR像 |

図3 フィレビュー画像 |
画像解析の流れと表示画像
コロンビューイングソフトウェアによる大腸CT画像解析の流れと表示画像について解説したい。
解析する画像データの読み込みを行うと,腹部の空気領域が自動的に抽出され三次元画像として表示される。大腸部分には,観察経路となる芯線が設定される(図4)。芯線領域抽出ボタンを押すことで,小腸など観察に不必要な部分が取り除かれ,大腸部分のみを表示させることができるため大腸の走行や狭窄部位の有無などの観察が容易となる(図5)。
芯線設定終了後は,観察画面に移行し大腸内腔の観察を行う。
フライスルー画像では,設定された芯線に沿って移動しながら,大腸内腔の壁面形状の観察ができる。観察方向は,任意に変更できるため,襞の間の観察も容易に行うことができる。また,フライスルー+MPR像に切り替えることで,腸管内だけでなく,大腸周辺の組織や病変などの断面構造を併せて観察することができる。さらに,フィレビュー画像においては,大腸内壁の状態を一望することが可能である。
観察の過程で病変の疑われる部分を登録し,病変ごとにコメント入力やキー画像の保存ができる。位置情報を同時に登録するため,再度その部分を観察する際にも移動が容易となる。
保存されたコメント,キー画像は,レポートやDICOM画像として出力することも可能である(図6)。 |

図4 芯線設定画面 |

図5 芯線抽出画像 |

図6 CT大腸検査レポート画面 |
2体位表示の有用性
大腸CT検査では,大腸内腔に残留する残渣・残液が観察の妨げとなる。そこで残渣・残液を減少させるために,前処置などにてさまざまな工夫がなされているが,完全に残液を取り除くことは難しい。そのため多くの場合には,仰臥位と腹臥位の2体位で撮影し,体位変換による残液の移動を利用して大腸内腔全体の観察を行っている。この場合,それぞれの体位を比較しながら観察を行い,相互の死角部分を補うことで大腸内腔全体の観察が可能となる。したがって,解析アプリケーションにおいても,実際にこれらの画像を効率良く比較観察するためのシステム構築が重要と言える。
コロンビューイングソフトウェアでは2体位を同時に表示させ,仰臥位,腹臥位,2体位比較など観察したい情報を簡便に切り替えることができる機能を実装している。さらに比較観察の際には,視点位置を連動させながら,画像送りを行うことも可能である。
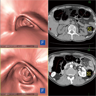
また,2体位表示は,体位により経常の変化するポリープ病変の観察や残渣の移動確認も有用である。以下に,2体位表示機能の使用例を示す。仰臥位画像で観察を進めていくと,残液により視覚が確保されない部分が現れた。ここで比較画面に切り替えると,腹臥位画像が仰臥位の位置に合わせて表示される。視点位置を連動させて観察を行うことで,仰臥位では残液に隠れていた部分の情報が腹臥位画像より得られる(図7)。 |

図7 2体位表示
上段:仰臥位 下段:腹臥位 |
|
大腸解析ソフトを十分に生かすためには,質の高い画像データを収集することが重要である。大腸CT検査では,大腸が十分に拡張された状態で撮影を行うことで,連続した大腸内腔の観察が可能となる。しかし,腹臥位撮影時には,腹圧により横行結腸等に途絶が生じる場合がある。これを改善すべく,当社では国立がんセンター中央病院様とともに腹臥位マットの開発を行った(図8)。腹圧のかかる部分のマットを脱着可能にすることにより,圧排が解消され,連続的に拡張された大腸の画像を得ることを容易にする。比較観察を行う場合にも,両体位から多くの情報を得ることで,より精度良く観察することが可能となる。
また,当社の最上位機種である「Aquilion ONE」においては,160列Volume Helical Scanが可能となり,非常に短時間で高い分解能の大腸CT撮影ができるようになった。これにより,平坦型などの病変の描出能向上が期待されている。
さらなる大腸CT検査発展のためにユーザーからの意見を取り入れ,より診断に有効なソフトウエア,ハードウエアの開発をめざしたい。 |

図8 腹臥位マット |