東芝メディカルシステムズ

ホーム の中の inNavi Suiteの中の 東芝メディカルシステムズの中の Technical Noteの中の大腸解析ソフト“コロンビューイングソフトウェア”と大腸CT撮影用マット“腹臥位マット”

Technical Note

2010年3月号
CT Colonography関連の製品紹介

CT−大腸解析ソフト“コロンビューイングソフトウェア”と大腸CT撮影用マット“腹臥位マット”

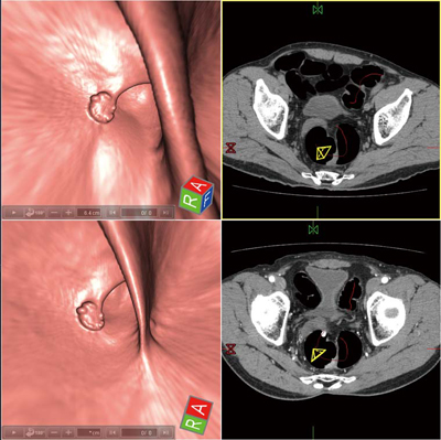
●コロンビューイングソフトウェア(図1)

CT装置本体上での大腸解析を可能とする“コロンビューイングソフトウェア”は,大腸領域を抽出したフライスルー(仮想内視鏡像)や,フライスルーとMPR像のフュージョン画像,大腸を切り開いた360°展開画像(フィレビュー)とさまざまな表示が可能である。表示画面より病変部位を速やかに把握するとともに,病変周辺部分を細かく観察することができる。
さらに2体位を同時に表示できるため,腹臥位,仰臥位それぞれの画像を同一画面で比較しながら観察することも可能である。体位によって形態の変わる病変の観察ができ,残渣と病変の識別をサポートする。観察後には,キー画像を添付したレポート出力が可能である。


図1 コロンビューイングソフトウェアによる2体位比較表示
図1 コロンビューイングソフトウェアによる2体位比較表示


●腹臥位マット(図2)

大腸CT検査では,十分に大腸を拡張させた状態で撮影を行うことが重要となる。残液の影響を考慮して,仰臥位,腹臥位の2体位の撮影が行われる。しかしながら,腹臥位時には腹圧により横行結腸などが圧排されることで,大腸全体が十分に拡張されないこともある。これを解消すべく,当社では被検者の体格に応じて,腹圧の低減が行えるような腹臥位マットの開発を国立がんセンター中央病院様と共同で行った。


図2 腹臥位マット
図2 腹臥位マット



【問い合わせ先】 CT事業部 TEL 0287-26-5034