東芝メディカルシステムズ

Technical Note

2010年9月号
Step up MRI 2010−MRI技術開発の最前線

MRI−Multi-phase Transmissionの有用性

山本 貴雄
MRI事業部商品開発担当

3T装置は1.5T装置に比べて,理論上SNRが高くなる。このことは3T装置の大きなメリットであり,1.5T 装置に比べて高分解能撮像,あるいは撮像時間短縮が期待できる。しかし実際は,3T装置では躯幹部の日常臨床で安定した画質を提供することが困難であり,3Tによる高いSNRを十分に活用できていない状況にあった。

●RF磁場(B1)の不均一

3Tでは,1.5Tに比べてRF磁場(B1)の不均一の影響が大きくなる。特に,躯幹部におけるRF磁場の不均一が課題となっていた。RF磁場が不均一になることで,MR画像のコントラストに直結する撮像パラメータであるフリップアングルが不揃いになり,結果的に画像の濃度ムラを発生させる。
このRF磁場不均一の解決策として東芝が開発した技術が“Multi-phase Transmission”である。Multi-phase Transmissionは,2台のアンプで独立して送信するRFの位相と振幅を,それぞれにコントロールし,なおかつ送信RFコイルに給電するポイントを4ポイントとしている。これにより,B1不均一を緩和することが可能になり,RF磁場の均一性を改善することができる。その結果,躯幹部においても3Tのメリットを生かした高いSNRの撮像を安定して行うことができる。影(mIP)処理することでより高精度な観察が容易になる。


●Multi-phase Transmission

「Vantage Titan 3T」(図1)では,RF送信方式にMulti-phase Transmissionを採用している。Multi-phase Transmissionでは,より精度良く位相と振幅をコントロールするためにRFアンプを2台にし,送信RFコイルに給電するポイントを従来の2ポイントから4ポイントに増やした。
3Tでは,特に躯幹部において,RF磁場の不均一が1.5Tに比べ強くなる。この解決策として,送信するRFの位相と振幅をコントロールすることがキー技術になっている。Multi-phase Transmissionでは,より高い精度で位相と振幅を制御するために,従来1台であった送信RFアンプを2台用いて送信する。これによって位相と振幅を高い精度でコントロールすることで,躯幹部において不均一であったRF磁場をより均一にすることができ,より均一な画像を得ることができる(図2)。


図1 Vantage Titan 3T
図1 Vantage Titan 3T
図2 従来送信方式とMulti-phase Transmissionの画像比較
図2 従来送信方式とMulti-phase Transmissionの画像比較
RFの位相と振幅をコントロールすることでRF磁場の均一性の向上が可能になり,画像の均一性が向上する。

Multi-phase Transmissionは,2台のRFアンプで位相と振幅をコントロールしているだけではない。送信アンプの台数だけでなく,位相と振幅がコントロールされた電流を送信RFコイルに供給するハードウエア的な仕組み,すなわち,給電ポイント数が大きなカギを握っている。
Multi-phase Transmissionは,送信RFコイルに電流を供給する給電ポイント数が4ポイントである。ここで,給電ポイントの数と送信RFの精度の関係を見てみよう。給電ポイントの近傍では,意図した位相・振幅の精度がほぼそのまま実現された状態になっている。しかし,給電ポイントから離れた位置にあるコイルエレメントから発生するRF磁場は,人体の影響などにより意図した位相・振幅からずれた状態になってしまう。つまり,意図したRF磁場が発生されないため,期待したRF磁場の不均一改善が望めない場合が起こってしまう。この問題を解決するために,Multi-phase Transmissionでは給電ポイントを4ポイントとした。給電ポイント数が4ポイントであれば,人体が挿入された状態においても補正精度の向上が可能になり,意図したとおりのRF磁場が実現できる。これによって,濃度ムラの少ない均一な画像を安定して得ることができる(図3)。
Vantage Titan 3Tに搭載されているMulti-phase Transmissionは,2台のRFアンプで位相と振幅を制御する。送信RFコイルへの給電を4ポイントで行うことで,人体の電気的特性によるB1不均一にも対応する。プリスキャンなしで高画質を確保できる利点がある。また,体格が異なっても高い補正効果が期待できる3T装置における新世代のRF送信方式である。


図3 給電点2ポイントと4ポイントの比較イメージ
図3 給電点2ポイントと4ポイントの比較イメージ
4ポイントで送信RFコイルに給電することにより,人体が挿入された場合の補正精度の向上が可能になり,均一な画像を安定して得ることができる。

●今後に期待されること

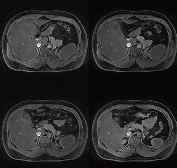
Vantage Titan 3Tは,送信RFコイルへの給電ポイントを4ポイントにし,位相と振幅をコントロールするMulti-phase Transmissionを使用することによって,躯幹部でも濃度ムラのない均一な画像が撮像可能になった(図4)。これにより,3T装置を日常ルーチン検査で躯幹部も含め幅広く使うことが期待できる。3Tのメリットである高いSNRを生かした高分解能撮像が期待できる。さらに,従来は実現困難であった非造影MRAも,躯幹部で使用可能になった(図5)。Time-SLIP法など最新撮像法との組み合わせにより,3Tのポテンシャルを引き出し新しい領域が拓かれるものと期待される。


図4 均一な腹部脂肪抑制画像
図4 均一な腹部脂肪抑制画像
図5 腹部の非造影MRA(門脈)
図5 腹部の非造影MRA(門脈)
モダリティEXPOへ
【問い合わせ先】 MRI事業部 TEL 0287-26-5027