ホーム
inNavi Suite
東芝メディカルシステムズ
Technical Note
東芝CT装置の最新技術
![]()
2012年11月号
CT最新技術紹介
昨今,小児被ばくに対する論文発表(Lancet,380,2012)など,医療被ばくが大変注目されている。一方,各装置メーカーは,医療被ばく低減のための技術,研究開発を加速してきている。
東芝メディカルシステムズにおいても,CTにおける低線量撮影を可能とする新たな再構成技術である「AIDR 3D(Adaptive Iterative Dose Reduction 3D)」を開発した。
■AIDR 3Dについて
AIDR 3Dは,逐次近似法を応用し生データベースでの統計学的ノイズモデルやシステムモデル,さらには撮影部位や組織構造をベースとした三次元アナトミカルモデルを用いて,信号以外のノイズ成分のみを選択的に抽出し,三次元的に高い空間分解能を維持しつつ,ノイズ成分を繰り返し除去して,オリジナルデータと組み合わせた画像を作成する画像再構成技術である(図1)。

図1 AIDR 3Dの原理
画像ノイズを最大50%低減することが可能で,これを同じ画質を得るための被ばく線量として換算した場合,最大75%の被ばく低減効果を期待できる。
AIDR 3Dのコンセプトの1つに,固有のCT装置に限らず,多くの装置ラインナップに搭載可能なことが挙げられる。各種のCT装置で低線量撮影が可能になれば,多くの患者さんが低線量で検査を受けることが可能となり,医療被ばく全体の低減につながることが期待される。医療被ばく低減への貢献は,日本の医用機器メーカーである,東芝メディカルシステムズの使命であると考えている。
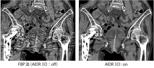
filtered back projection(FBP)法とAIDR 3Dの比較画像を示す(図2)。FBP法では,大腿部に挿入された金属より発生するストリークアーチファクトにより,骨盤内臓器の形状把握が困難であるが,AIDR 3Dを用いて画像再構成を行うことにより,ストリークアーチファクトが大幅に軽減され,骨盤内臓器の形状が把握しやすくなっている。

図2 自然呼吸下・体動抑制不能・上肢挙上不能例におけるAIDR 3D 臨床画像例
(データご提供:藤田保健衛生大学病院様)
低線量撮影が可能なAIDR 3Dは,160mmの範囲を連続的に撮影できるArea Detector CT「Aquilion ONE」において大きな威力を発揮する。Area Detector CTは,連続的なスキャンにより形態のみならず機能,動態,血流をとらえることが可能である。しかしながら,連続的な撮影は,被ばく増加につながる。AIDR 3Dにより,1 phaseあたりの撮影線量が低減することで,連続撮影を行った場合でも,通常検査と同程度の被ばくに抑えることが期待できる(図3)。

図3 頭部perfusion CT画像(AIDR 3D 使用症例)
80kV,70mAs,1s/rot,0.5mm×320,DyVS Intermittent=17scans
80kV,30mAs,1s/rot,0.5mm×320,DyVS Intermittent=6scans
AIDR 3D Standard
CTDIvol=99.58mGy
DLP=1593.2mGy.cm 3.66mSv(k=0.0023)
(データご提供:藤田保健衛生大学病院様)
2012年,Aquilion ONEは,さらなる進化を遂げ,「Aquilion ONE ViSION Edition(以下,ViSION Edition)」が登場した(図4)。ここからはViSION Editionを紹介したい。

図4 Aquilion ONE ViSION Edition装置外観
■ViSION Editionの特長
ViSION Editionにおける最も大きな進化は,320列検出器を搭載したAquilion ONEの特長を維持したまま,1回転0.275秒の高速撮影を実現した点にある。これにより,心臓撮影における1心拍の低被ばくスキャンを,従来よりも高心拍な患者群に適用できるメリットが期待される(図5)。また,体動を抑制することが難しい小児撮影や,Area Detector CTの特長である動態撮影における1画像あたりの時間分解能向上など,動きのある患者さんに対する撮影精度向上が期待される。
ViSION Editionは,ガントリの回転速度を単に速くしただけではなく,これまでに培われたさまざまな技術を盛り込んだ装置である。

図5 71bpmの心臓1心拍撮影 臨床画像例(ViSION Edition 0.275秒回転にて)
(データご提供:藤田保健衛生大学病院様)
1.超高速撮影実現の技術
1)ガントリ耐G性能の向上と静音化設計
ガントリの回転速度が,従来の最速 0.35秒回転から,ViSION Editionで最速0.275秒回転へと性能アップすることによって,ガントリに加わる力は,最大で約30Gから約48Gへと飛躍的に増大する。ViSION Editionでは,これに耐えられるようなガントリの剛性強化,低振動化を図るとともに,静音化に対しても積極的に取り組んだ。
ガントリ内部の騒音が排気口から直接漏れ出ないようにするため,排熱ファンからガントリ排気口までをダクト化し迂回させることで,音の進行方向を曲げて静音化を実現した。
2)X線出力の向上
スキャン時間の高速化に伴い,従来同等のmAs値を維持するためには,X線出力の向上が必須である。ViSION Editionでは,高出力化と耐G設計の両面から,新設計のX線管,および高圧発生器を採用した。これにより,120kV時に最大750mAの出力を得ることが可能となった。体格の大きな患者さんの撮影においても,適切な撮影条件を設定することができるため,画像ノイズやストリークアーチファクトの増加を抑制することが可能となる。また,複数のX線曝射を行う場合の待ち時間も短縮化しており,患者スループットの向上が期待される。
3)データ収集レート・伝送速度の向上
高速撮影時においても,プロジェクションデータ数を従来同等に確保するため,Area Detector CT専用に開発されたデータ収集装置(DAS)の改良により,最大2910views/秒のデータ収集レートを実現した。また,時間あたりの収集データ量も,これに比例して増加するため,データ伝送速度の向上も必要であり,ViSION Editionでは25ギガビット/秒の非接触データ伝送装置を搭載した。
2.ワークフロー改善技術
ViSION Editionでは,従来のAquilion ONE以上に使いやすい装置をめざして,ワークフロー改善のための技術も取り入れている。
クラス最大となる780mmのガントリ開口径を採用し,患者さんへの圧迫感低減やストレス改善,CT透視検査などにおける作業領域の確保に配慮したシステムとしている。
また,CPU性能の向上や画像再構成装置の最適化によって,ボリュームスキャン時には最速5秒/volume,ヘリカルスキャン時には最速50fpsの再構成時間を達成している。
*Aquilion ONEは,東芝メディカルシステムズ株式会社の商標です。