ホーム
AZE
INNOVATIVE 3D TECHNOLOGY & SOFTWARE
大規模ネットワーク3D解析システムの構築─2倍の性能,2倍の安心
【月刊インナービジョンより転載】
■大規模ネットワーク3D解析システムの構築─2倍の性能,2倍の安心
帆足 正勝
(株)AZE営業技術部
●はじめに
従来の3D画像解析ワークステーションは,単独で使用するスタンドアロンタイプのものが多く,CTやMRIなどモダリティ装置の近くに配置されることが多かった。近年,コンピュータ技術の進歩により,クライアントから3D処理が可能なサーバ型などのワークステーションが登場し,普及してきている。AZEでも,同時に複数台のクライアントからリモートでアクセスし画像解析することが可能な3D画像処理サーバ「AZE VirtualPlace 雷神 Anatomia」を販売展開し,院内ネットワーク上の3D解析環境の構築を行っている。
最近では,読影にもthin sliceデータが多く用いられるようになり,3Dデータを活用した診断環境を病院全体で構築したいという要望が増えてきた。3Dと言っても,MPRなどの3Dデータからの画像再構成を行ったり,MIP画像を用いたりと運用はさまざまである。これらの画像を病院内のどこからでもアクセスできるようなシステムの構築を行うためには,一般的には大規模なサーバを導入する必要があり,コストや配置などの面でさまざまな制約も生じる。また,単独サーバで運用を行っている場合,障害発生時のシステム復旧に時間を要し,緊急での対応が求められるケースなどにおいてさまざまな課題もある。AZEでは,これらの課題をクリアする3D画像配信サーバ「AZE VirtualPlace Premium Server」(図1:以下,Premium Server)の提供を開始し,大規模なネットワーク環境において3D解析が可能なシステムの構築を行う。

図1 AZE VirtualPlace Premium Server
クラスタリング技術・ミラーリング技術により,大規模な3D解析システムの構築が可能になった。複数のネットワーク型ワークステーションを1つの大きなシステムとして運用し,病院全体での3D解析処理を可能にしている。またミラーリングにより,データのバックアップを行い,安心して使えるネットワーク運用が可能である。
●クラスタリング技術により 同時稼働台数を倍増(図2)
Premium Serverでは,最先端のクラスタリング技術を採用し,クライアントからの同時稼働台数を倍増させることが可能となっている。これまでは,1つの病院でネットワーク型ワークステーションを複数台導入しても,それぞれが単独のデータベースにて運用されていたため,例えば,MRI用のクライアントからはMRIのデータだけ,CT用のクライアントからはCTのデータだけしかアクセスできなかった。しかし,Premium Serverではデータベースを一元化し,すべてのデータを1つのデータサーバで管理することにより,どのクライアントからでもすべてのデータにアクセスできるようになっている。クラスタリング技術によるユーザー管理は,負荷の少ないマシンを自動的に選択するため,パフォーマンスを損なうことなく,3D解析処理を行うことが可能である。

図2 従来のネットワーク型(a)とクラスタリング技術による負荷分散処理(b)
●万全のバックアップシステム(図3)
Premium Serverでは10TBのバックアップ用データベースを標準搭載し,ミラーリング技術によるデータバックアップにより,安心して使える3D解析環境の構築を行っている。
バックアップシステムが十分でないと,前述した障害発生時の復旧作業に時間を要してしまうことも多い。そのためPremium Serverでは,十分なバックアップ領域を確保し,ミラーリングによるデータバックアップを行っている。これにより,障害発生時の業務復旧までを最小限の時間とし,緊急時の対応にも万全の体制を整えている。

図3 バックアップシステム
●大規模3D環境に耐えうる超高速レンダリング技術 “FORMULA”(図4)

通常のネットワーク型ワークステーションでは,同時に複数台からアクセスした場合にサーバ側に大きな負荷がかかることで,画像処理速度が落ち,ユーザーのストレスとなってしまうことが考えられる。しかし,Premium Serverでは,超高速レンダリング技術“FORMULA”を標準搭載し,大容量の画像処理もサクサク行うことができるようになっている。
FORMULAの登場は,従来の製品に比べレンダリング速度を20倍以上に向上させ,飛躍的なスピードアップを実現した。FORMULAが可能にするのは,これまでのプログレッシブレンダリングによる疑似的なリアルタイムレンダリングではなく,真の意味でのリアルタイムレンダリングを提供することが可能となる。プログレッシブレンダリングとは,画像全体をまず粗く(低い解像度で)表示した後,徐々に精度を上げて表示していく技術である。これまでは,膨大なボリュームデータに対応するため,このような技術を用いることでリアルタイム3D画像を提供することを実現してきた。しかし,FORMULAエンジンによって数千枚という膨大な量のデータでも,常に最高画質でレンダリングを行うことが可能となった。最高画質でリアルタイムに観察ができることの最大のメリットは,時間的なストレスがないということである。これは,ボリュームデータを観察する際に大きな力を発揮する。
日常診療において膨大なデータを効率良く読影するのは,迫りくる時間との闘いでもある。前述のとおり,従来のレンダリング技術では低解像度から徐々に高解像度へと表示していたが,FORMULAを搭載することで常に最高画質で表示することができるため,Premium Serverは,読影・診断の効率向上を可能にしたソリューションと言える。
●FORMULAシステムが実現する新しい4D技術(図5)

心臓CTの進歩に伴い,1心拍のデータから心臓の拍動を再現できる“4Dイメージ”の作成が可能になった。これは従来の投影画像とは違い,三次元的にも構築が可能で,自由に回転させることもできるため,機械弁の描出による開口の状況や僧帽弁,乳頭筋のモーションをとらえることができ,心臓についてさらなる理解を得ることが可能になると期待されている。しかし,心臓のデータをクリアに再現させるためには,膨大なデータ量とレンダリング計算を要することになる。従来の手法では,マシンが持つ資源としての計算量などを考えると,心臓の拍動を再現することはできても,クリアなイメージングまでは「できる」と言えない状況であった。AZEが開発したFORMULAシステムは,上記の負荷分散技術やレンダリング方法の最適化により,データを間引くことも補間することもなく,超高速レンダリングを実現している。これにより,撮影された心臓4Dデータがその場で構築され,無駄な処理を加えない正確な4Dイメージとして臨床医は確認することができる。
この高速レンダリング技術と心臓4Dイメージの臨床的メリットの関係性は,非常に興味深い。近年目覚ましく発展している“低侵襲心臓手術(MICS)”では,心臓拍動下冠動脈バイパス手術(OP-CAB)および局所麻酔によるアウェイク手術,内視鏡下による僧帽弁手術,カテーテルによる大動脈弁手術(TAVI)など,心臓が拍動している中で手術を行うものも登場している。人工心肺を使わずに手術を行うメリットは,脳梗塞の発生や腎臓機能への影響などのリスクを減らし,心臓への負荷も少ないことである。術式によっては小切開で行うものもあり,より侵襲度は下がる。
しかし,これらは非常に高度な技術が要求される手術である。これに対して,事前に臨床医が4D-CTを用いたイメージを確保できていれば,心臓の個体差に合わせた術前計画,およびスタッフとのコミュニケーションや術中のストレスを低減させることも可能になるのではないかと考える。このメリットを実現するにあたり,臨床医がその場で膨大な4D-CTデータを一瞬で構築し表現できるシステム,かつ,データをその場で自由に保存ができるシステムである必要がある。FORMULAシステムは,現在の心臓手術に求められる機能やマシンパワーを十分に発揮できるものと考える。
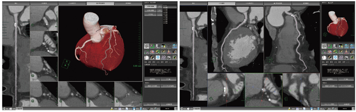
●ワークフロー単純化による心臓解析の高速化(図6)
心臓CTの冠動脈解析を行う目的は,冠動脈の状態を詳細に把握することである。そこで,冠動脈を観察するためにCPRを利用し,画面上に血管を表示する技術が使用される。そのワークフローを分解すると,(1) データの読み込み,(2) 血管の抽出,(3) 結果を保存する,と3つのステップに分けることができる。しかし,ステップごとに処理が止まるシステムでは,結果出力までに時間を要することになる。実は解析処理に最も時間がかかっていたのは,上記(1)のデータの読み込み,および(2)の血管の抽出であった。全体的な作業時間の短縮は,血管の中心線修正作業や追加抽出作業などに力を注ぐことを可能とし,解析クオリティの劇的な改良につながる。つまり,このステップを区切ることなく,スムーズに解析処理を行うソフトウェアこそが,そのメリットを可能にする。
今回開発したソフトウェアでは,データローディング後,ユーザーはボタンを触ることなく結果を得ることができるようになっている。これにより,クリック数を大幅に減少させ,解析の待ち時間等の短縮につなげている。従来は,解析処理実行中にユーザーがデータを操作することができない上,解析処理が終了するまでマシン自体も使用することができずにいた。今回の改良では,独自の負荷分散技術を開発したことによってこの問題点が解消され,ユーザーは解析中にもMPRの作成などを行うことが可能となり,解析結果が表示される前に,あらかじめ冠動脈や周辺部位(大動脈,肺,胸壁など)の読影を行うことが可能になる。
AZE Auto Analyzer(AAA)によるバックグラウンド解析も,上記の負荷分散技術によって,よりスムーズに実行できるようになっている(図7)。AAAは,CTからデータを受け取った際に自動で心臓の解析処理を行い,データの処理結果を保存する技術である。この技術により,ユーザーはデータをローディングする必要も,解析処理を行う必要もなくなった。必要なのは,そのデータを欲している人がどのように読影するかに合わせてデータを保存することである。その点に関しても,AZEはクライアント間のコミュニケーションや,保存項目のマクロ化(回転や方向の規定)を行うことで,よりスムーズに処理を終了させることができる。

図6 冠動脈解析ソフトウェア
シンプルなインターフェイス,改良されたワークフローで冠動脈解析をサポートする。
●まとめ
病院全体での大規模3D解析については,さまざまな課題があるが,AZEでは最先端技術を駆使してこれらの課題に取り組み,大規模ネットワークによる3D環境を提供していく。今後も臨床現場からの意見を取り入れ,3Dワークステーションの機能を最大限に活用できるシステムの開発を進めていきたい。

図7 AZE Auto Analyzer(AAA)によるワークフローの改善
(2011年12月号)