ホーム
AZE
次世代の画像解析ソフトウェア
AZE VirtualPlace Lexusを活用したイヌの椎間板ヘルニアハンセン I 型における三次元画像診断の臨床的有用性
【月刊インナービジョンより転載】
■AZE VirtualPlace Lexusを活用したイヌの椎間板ヘルニアハンセン I 型における
三次元画像診断の臨床的有用性
田村 勝利*,**/原田 恭治**/伊豫田桃子*/長島 奈歩*/多川 政弘**
*愛甲石田動物病院 **日本獣医生命科学大学獣医外科学教室
●はじめに
近年のペットブームは,日本の社会にしっかり定着し,犬や猫などのペットの存在はかけがえのない家族の一員となっている。ペットフード協会の発表では,2009年度の犬猫飼育頭数(2234万頭)は,日本における15歳未満の人口(1738万人)を超えており,犬猫を飼育している世帯の割合は18.3%と報告されている。
動物に高度な医療を求める飼い主の要望も強く,獣医療は急速な発展を遂げている。CTやMRIなどの高度画像診断装置は,獣医療においても有用性が高く,CTにおいては,全国で150を超える動物医療施設に導入されている。当院では,椎間板ヘルニア,脳脊髄疾患,外傷,腫瘍などの確定診断や術前計画に利用している。
本稿では,CT撮影後に「AZE VirtualPlace Lexus」(AZE社製:以下,VirtualPlace)を活用して作成した,三次元画像によるイヌの椎間板ヘルニアハンセンT型の逸脱椎間板物質描出の臨床的意義と,症例におけるその有用性について紹介する。
●イヌの椎間板ヘルニアハンセン I 型
イヌの椎間板は,人間とほぼ同一の解剖学的構造を示しているが,イヌの椎間板は加齢に伴い椎間板変性が始まり,髄核内に軟骨内骨化様の変化が進行して髄核に石灰化変性が見られる点が,人間とは大きく異なる特徴である。
イヌの椎間板ヘルニアは,1951年Hansenによって,変性した髄核が脊柱管内に逸脱するハンセン I 型と,線維輪が隆起,突出するハンセン II 型に分類された。ハンセン I 型は急性に発症し,重症例では発症部位により,四肢麻痺,後肢麻痺,そして,体性感覚誘発電位(SEP)や深部痛覚の消失を伴うこともあり,急激な臨床症状の悪化を認めるケースが多く,詳細な情報を伴う迅速な確定診断が求められる。
一般に,イヌの椎間板ヘルニアハンセン I 型の診断には,稟告,臨床症状,神経学的検査,単純X線,脊髄造影検査が行われてきた。近年,獣医領域においてもCTおよびMRIの普及に伴い,これらを用いた画像診断検査が一般的に行われるようになった。ただし,獣医領域においては,CT,MRIは検査時に不動化(鎮静または麻酔)の必要があるが,それを考慮しても,CTの短い撮影時間は大きなメリットとなる。さらに,三次元画像を構築するためのワークステーションの高性能化に伴い,脊柱管内の変性椎間板の逸脱状況のより詳細な分析が可能となり,迅速診断,手術計画,飼い主へのインフォームド・コンセント,術後検査に活用できるようになった。
当院では,イヌの椎間板ヘルニアの診断および術前,術後検査において,神経学的検査,SEP検査,MRI検査,そして三次元CT検査を行っている。ここ数年,当院におけるイヌの椎間板ヘルニアの手術数は,毎年100症例を超えるようになった。
●三次元CT画像にて逸脱椎間板物質描出の臨床的意義
イヌの椎間板ヘルニアハンセン I 型の根治的治療には,片側椎弓切除術,背側椎弓切除術などの外科的治療が有効とされている。外科的治療を行うにあたり,責任病変の部位,脊柱管への変性椎間板の逸脱状況などにより,術式や手術範囲を含めた手術計画を決定する。
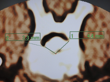
三次元CT検査は,手術計画を立てるにあたり,脊柱管内に逸脱した変性椎間板物質の詳細な情報を得るのに最良の検査方法の一つである。矢状断像での頭尾側方向への変性椎間板物質拡散範囲(図1),横断像での変性椎間板物質の左右方向への逸脱割合(図2),脊柱管背側方向への変性椎間板物質拡散範囲(図3),変性椎間板物質最大逸脱部位における脊髄圧迫の程度(図4),仮想内視鏡像での逸脱変性椎間板物質の形状(図5〜7)など多くの情報が得られる。
術前,術後にこれらの情報を得ることは,臨床上きわめて有用である。
![]() 図1 矢状断像での頭尾側方向への変性椎間板物質拡散範囲 |
![]() 図2 横断像での変性椎間板物質の左右方向への逸脱割合 |
![]() 図3 脊柱管背側方向への変性椎間板物質拡散範囲 |
![]() 図4 変性椎間板物質最大逸脱部位における脊髄圧迫の程度 |
![]() 図5 仮想内視鏡像での逸脱変性椎間板物質の形状 |
![]() 図6 仮想内視鏡 第1胸椎脊柱管中央部より頭側を撮影 |
![]() 図7 仮想内視鏡 第1,2胸椎椎間より頭側を撮影 |
●症例提示
症例(図8)は,いずれも後肢麻痺を主症状に来院されたイヌの椎間板ヘルニアハンセン I 型である。神経学的検査にて後肢の姿勢反応が消失しており,三次元CT検査にて逸脱椎間板物質の詳細情報を精査した。矢状断像にて,脊柱管内への椎間板物質の頭尾側方向への逸脱があり,椎間板ヘルニアハンセン I 型と診断した。図8 aでは脊柱管中央に,図8 bでは脊柱管右側に,図8 cでは脊柱管左側に変性椎間板物質の逸脱が確認できる。
三次元CTでは,脊柱管内への変性椎間板物質の描出が容易であり,逸脱状況が明瞭で理解しやすい。イヌの椎間板ヘルニアハンセン I 型の診断に有用である。

図8 胸腰部椎間板ヘルニアの三次元CT画像
●まとめ
イヌの椎間板ヘルニアハンセン I 型における三次元CT画像は,特別な高い技術を要することなく作成が可能であり,また作成時間も短い。すなわち,簡単に作成が可能であり,外来での対応が可能である。当院では,椎間板ヘルニア疑いの症例全例で,VirtualPlaceにて三次元CT画像を作成している。この画像構築が容易な点こそが,最も重要な要素であると考えられる。画像構築が容易でなければ,日常の臨床で活用するには不向きであり,また,画像構築を作成する者の技量による差が出やすくなると考えられる。
VirtualPlaceで作成した三次元CT画像は,MRIの脊髄情報とともに利用することにより,イヌの椎間板ヘルニアハンセン I 型の術前の手術計画ならびに治療戦略,術後検査に役立てることができると考えている。
【使用CT装置】 Asteion(東芝社製)
【使用ワークステーション】 AZE VirtualPlace Lexus(AZE社製)
(2010年10月号)