ホーム
AZE
次世代の画像解析ソフトウェア
当院におけるAZE VirtualPlaceの使用経験ーMRI心臓検査を中心に的有用性
【月刊インナービジョンより転載】
■当院におけるAZE VirtualPlaceの使用経験ーMRI心臓検査を中心に
平山 博樹
さいたまセントラルクリニック
●はじめに
冠動脈疾患(CAD)の可能性を判断するために,近年はその高い陰性適中率を誇るマルチスライスCTによる冠動脈撮影の件数が増えている。また同様に,高コントラスト撮像や高速撮像技術の進歩とともに,MRIでも冠動脈撮像の件数が増加し,その有用性が認められている。体内金属やペースメーカーを含めると,一部の患者にはMRI撮像自体の禁忌はあるものの,造影剤を使用せず,被ばくを伴わずに冠動脈や壁運動の心臓動態評価などを行える点で,小児診療および検診等に有用であると考えられている。当院では,検診項目として心臓ドックを案内し,上記のMRIによる冠動脈撮像やシネ撮像等を行っている。
本稿では,AZE社製ワークステーション「AZE VirtualPlace」を使用したMRI心臓解析と画像表示などを提示する。
●MR画像で冠動脈を抽出
MRIによる撮像後,ワークステーションにMR画像を転送しワークステーション上でMPR(multi planer reconstruction),ストレッチCPR(curbed MPR),ストレートCPR,直交断面表示のほか,VR(volume rendering)やPWMIP(partial width MIP)などの画像作成を行っている。
CTにはCT値という定量的な値が存在するが,MRIには信号強度という不定量な値を追跡する必要がある。しかし,AZE VirtualPlaceのMRI細血管解析では,血管起始部をクリックすることで,自動的に血管末梢までCPRの中心線をトレースすることができる。この機能を使えば,中心線の修正作業を含め,LAD,LCXおよびRCAのトレースをおよそ5分前後で完了することができる。そのほかの冠動脈分枝も,撮像結果次第で非常に良好に追跡することが可能である。操作は,初期点をクリックする以外はほぼ自動で行われるので,解析者による解析差はほとんど生じない。
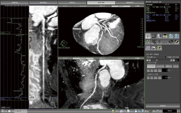
●解析後の画像表示
読影は通常,MPRやCPRを用いて評価がなされる。ストレートCPR上の矢印を上下にドラッグすることで,アキシャル・サジタル・コロナルの3断面と直交断面が,連動し表示される機能を用いる。PWMIPと呼ばれる表示方法は,スラブ厚を持たせたMIPを彎曲させて心筋上をMIP表示する手法であるが,心室内の信号値に影響されないため,末梢の血管走行まで評価が可能である。また,通常はVR表示で読影することはないが,外観の把握に使用したり,また,患者への検査説明に有効に用いることで,患者の理解が得られやすくなると考える。重要なことは,解析や表示はあくまで元画像を反映しているものであり,ある程度良好な画像が撮像されていれば,適切な表示と適切な判断が可能になるということである。
図1〜3は,MRIで撮像された冠動脈の解析結果画像である。図1はVR表示で,LAD#6に狭窄を見ることができる。図2の読影画面では,任意の部分にカーソルを合わせて,連動する複数のMPRによりその部分の詳細を確認する。図3のPWMIP表示では,末梢の血管を表示できるため,全体像の詳細な把握に有用である。また,血管外径を計測し,面積による狭窄率の計算も行うことができる。さまざまな表示方法を組み合わせ連動させることで,短時間で詳細な解析や読影を行うことができるものと考える。

図1 VR表示
LAD#6に狭窄(↓)を認める。

図2 複数MPRとCPRによる読影画面
狭窄を多角的に観察する。

図3 PWMIP表示(右上)
末梢の血管構造を把握する。
●MRI心臓シネ撮像の解析と表示
心臓の駆出動態などを評価するためのシネ撮像であるが,左心室内腔のトレースによる心駆出率(EF)の計測だけでなく,外壁のトレースも行うことによる壁厚変化量や運動量などのパラメータを算出することが可能である。現在では,R-R間隔における複数フェイズの画像を撮像することができるが,そのすべてに対し,手動によるトレースを施すには非常に時間のかかる作業を要することが多い。AZE VirtualPlaceのMRI心駆出率解析ソフトでは,起動直後に〈解析実行〉のボタンを押すことで,すべてのフェイズの内腔と外壁を自動でトレースを行う。必要に応じて壁フィッティングの修正作業を行うが,不良なトレースは計算から除外する,または周りのトレースを利用し補間を行うことで,人の手を介入させることなくより正しい値に近づけることができる。これにより得られるEF値や心室内の容量曲線,ブルズアイ表示による局所駆出率や壁運動量等の情報(図4)を保存し,サーバへ転送している。

図4 MRI心臓解析(心駆出率解析)
●まとめ
MRIでは,CT値のような定量的な値を読影に使用できないという点を考慮する必要がある。しかし,良好に撮像された画像であれば,解析者による“慣れ”に左右されない画像を作成することが可能である。また,MRIは被ばくしない,造影剤を使用しなくてもよいという面で他の放射線検査と比較し大きなメリットがあり,CTに匹敵するほどの高い陰性適中率も報告されている。
今後も検診レベルにおいて,冠動脈MRI撮像,心臓シネMRI撮像,およびその解析法であるMRI細血管解析とMRI心駆出率解析のさらなる臨床活用が期待される。
【使用MRI装置】 Achieva 1.5T(フィリップス社製)
【使用ワークステーション】 AZE VirtualPlace(AZE社製)
(2010年11月号)