AZE

ホーム の中の AZEの中の 次世代の画像解析ソフトウェアの中のAZE VirtualPlaceを活用した大腸CT解析

次世代の画像解析ソフトウェア

【月刊インナービジョンより転載】

■AZE VirtualPlaceを活用した大腸CT解析

岩野 晃明
徳島健生病院放射線科

●はじめに

当院では,2009年7月の東芝社製64列CT「Aquilion CX Edition」への更新に伴い,「AZE VirtualPlace」(AZE社製)を導入し,同年9月より大腸CT検査を開始した。これまで,前処置,撮影方法,解析方法にさまざまな工夫を行ってきた。また,大腸CT解析において,CTの元画像が解析に適さない場合,優れたワークステーションを使用しても正確な解析は困難である。
本稿では,当院におけるAZE VirtualPlaceを活用した,精度の高い大腸CT解析を行うための工夫を紹介する。

●大腸CT解析が行いやすい前処置

大腸CT解析を短時間で正確に行うには,優れた大腸CT解析ソフトウェアを使用するほかに,均一な大腸拡張,正確にタギングされた前処置が必要である。特に,前処置の解析に及ぼす影響は大きいため,当院で工夫している前処置を先に紹介する。
当院では,3種類の前処置を使用している。内訳は,(1) 大腸CT1日法(従来の大腸内視鏡検査の前処置にガストログラフインを加えたもので,検査当日の前処置),(2) 大腸CT2日法(当院の中心となる前処置),(3) 大腸CT3日法(3日間,食後にガストログラフインを飲む。主に狭窄疑いの患者に使用)である。これらの名称は,院内の関係者にわかりやすくするために使用している。
大腸CTの前処置は,できるかぎり受診者の負担にならず,残液が少なく均一にタギングされているのが理想である。理想の状態にできるかぎり近づくため,さまざまな改良を行い,大腸CT2日法が完成した(前処置の方法は図1を参照)。ポイントは,前日の昼食から検査食とし,マグコロールP準等張混合液を検査前日夜に400mLと,検査当日起床後すぐに400mLとを飲用し,総蠕動運動を起こさせる点である。また,ガスコンドロップにて気泡をなくす。これにより,大腸内は少量で均一にタギングされ,気泡のない残液状態(図2)となる。結果,解析が容易となり,時間短縮につながっている。

図1  大腸CT2日法の前処置 検査食を使用し,少ないマグコロールP,ガスコンドロップでの消泡がポイント。
図1 大腸CT2日法の前処置
検査食を使用し,少ないマグコロールP,ガスコンドロップでの消泡がポイント。
図2  大腸CT2日法による 仮想注腸像側面 残液を赤で表す。少ない残液で解析が行いやすい。
図2 大腸CT2日法による仮想注腸像側面
残液を赤で表す。
少ない残液で解析が行いやすい。

●大腸CT解析ソフトウェアの特長

大腸CT解析ソフトウェアでは,仰臥位,腹臥位の画像約2000枚を読み込むと,自動的にクレンジング処理まで行われ,大腸と経路が抽出される(図3)。解析は,“基本解析”“詳細読影”“直交カット断面”“閲覧”“開き一覧”“竹割り一覧”“比較表示”などの機能を使用して行う。クレンジング処理画像とオリジナル画像の切り替えは,ワンクリックで行える。仮想内視鏡画面は,正面からmm単位でカットできるため,大腸断面の表示が可能で,ポリープの観察に適している。
詳細読影では,仮想内視鏡画面の移動に合わせて,MPR像が常に中心位置で連動して表示されるため便利である。また,直交カット断面では,仮想内視鏡画面の移動に合わせて,オブリーク断面に直交し180°ずつ2つにカットして展開された断面が,仮想内視鏡竹割り画像として表示されるため,ハウストラ,大腸屈曲,ポリープの関係が直感的に理解しやすい。特に,脾彎曲部など屈曲が強い部位の観察がしやすい(図4)。比較表示では,仮想内視鏡画面とオブリーク断面,MPR像を同時に表示し,同期/非同期の切り替えもできるため位置合わせが行いやすい。このとき,仮想内視鏡画面における断面画像,クレンジング処理ON/OFF画像を選ぶことも可能である。

図3 自動でのクレンジング処理後の経路描出 経路は全自動で抽出される。
図3 自動でのクレンジング処理後の経路描出
経路は全自動で抽出される。
図4 脾彎曲部直交カット断面 脾彎曲部のように屈曲が強く観察が行いにくい場所でも,観察しやすい。
図4 脾彎曲部直交カット断面
脾彎曲部のように屈曲が強く観察が行いにくい場所でも,観察しやすい。

●大腸CT解析の手順

これまで大腸CT解析をさまざまな方法で行ってきたが,最終的にわれわれが一番解析しやすく正確であると思われる方法を紹介する。

  1. 0.5mm厚のアキシャル像にて,全腹部の状態を観察する。
  2. 自動でクレンジングされた大腸と経路を抽出する。
  3. 直交カット断面にて解析を行う(図5)。このとき,仮想内視鏡画面を正面からカットし,オブリーク断面とほぼ同じ大きさの断面で処理を行う。また,大腸の断面の観察により,隆起病変とタギングされた残液の区別ができるため,クレンジング処理はOFFにする。観察中は仮想内視鏡画面,オブリーク断面,直交カット断面を同時に確認しながら,隆起があれば,“ポリープ確認”で抽出して観察し,CT値や大きさ,肛門からの距離などを記録保存する。このときの隆起病変のCT値は,約10〜80HUとしており,内部構造の均一性も重要である。次に,詳細読影(図6)に切り替え,アキシャル断面にて時計方向のどの位置にあるか記録する。
  4. 比較表示にて確認した隆起について比較していく(図7)。
  5. 解析時には,図8に示す表を利用することで,隆起が多い場合も混乱なく解析結果をレポートすることができる。
図5 直交カット断面 仮想内視鏡画面,オブリーク断面,直交カット断面の3種類同時観察で解析が行いやすい。
図5 直交カット断面
仮想内視鏡画面,オブリーク断面,直交カット断面の
3種類同時観察で解析が行いやすい。
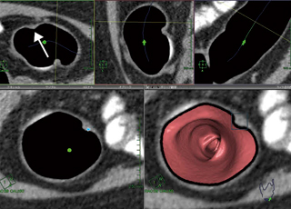
図6 詳細読影のアキシャル像での時計方向確認 左上のアキシャル像でポリープ(↑)の時計方向を確認する。
図6 詳細読影のアキシャル像での時計方向確認
左上のアキシャル像でポリープ(↑)の時計方向を確認する。
   
図7 比較表示による隆起観察 最後に比較表示で隆起部位の確認を行う。
図7 比較表示による隆起観察
最後に比較表示で隆起部位の確認を行う。
図8 大腸解析結果表 隆起病変が多い場合も,表に記載することで混乱を避けることができる。
図8 大腸解析結果表
隆起病変が多い場合も,表に記載することで混乱を避けることができる。

●まとめ

これまでAZE VirtualPlaceを使用して,大腸CT解析を約200件行ってきたが,この間ソフトウェアが改良がされ,解析しやすくなった。大腸CT解析は,心臓CT解析と同じように,撮影画像の質が解析結果の精度に大きな影響を及ぼす。当院では,2mm前後の隆起病変も,内視鏡検査結果と同等に描出されることをめざしている。今後は,撮影技術,解析技術をより向上させるのと同時に,大腸解析ソフトウェアのさらなる向上を願う。

【使用CT装置】 Aquilion CX Edition(東芝社製)
【使用ワークステーション】 AZE VirtualPlace(AZE社製)

(2011年6月号)

▲ページトップへ

AZEトップへ