AZE

ホーム の中の AZEの中の 次世代の画像解析ソフトウェアの中の当院における超選択的TAEの術前CTA

次世代の画像解析ソフトウェア

【月刊インナービジョンより転載】

■当院における超選択的TAEの術前CTA

渡部 茂
川崎医科大学附属病院放射線科(画像診断)/川崎医科大学放射線医学(画像診断1)
川崎医療短期大学放射線技術科

●はじめに

血管内治療の進歩・普及に伴い,画像診断のニーズも変化している。例えば,腹部大動脈瘤に対するステントグラフトを用いた治療では,留置術前だけでなく,留置術後のエンドリークの診断および治療戦略決定にも,3D-CTAが重要な役割を果たしている。ただし,ルーチンで作成したCTA画像(以下,非選択的CTA)では,治療戦略決定には不向きであるため,当院では術者自身がワークステーションを操作して,画像観察を行い,治療に必要な血管のみを抽出したCTA画像(以下,超選択的CTA)を作成している。
本稿では,「AZE VirtualPlace雷神Plus」(AZE社製)を用いて超選択的CTAを作成し,II型エンドリークに対する,細径カテーテルシステムを用いた動脈塞栓術(TAE)に成功した一例を紹介する。

●症例提示

80歳代,男性。腹部大動脈瘤に対しステントグラフトが留置された。その後,腰動脈からのII型エンドリークを認めるものの,瘤外径の増大はなく,経過観察していた。2年半が経過し,瘤外径の増大を認めたため(図1),TAEの適応をCTAにて検討した。

図1 ステントグラフト留置術前後のCT
図1 ステントグラフト留置術前後のCT

図2のCTAは,非選択的CTAである。主な動脈の全体像は把握できるが,これでは肝心のエンドリーク責任動脈が見えない。そのため,責任動脈およびカテーテルのアクセスルートに主眼を置いた超選択的CTAを作成した。

図2 非選択的CTA
図2 非選択的CTA

まず,ダブルオブリーク機能を用いて大動脈瘤から責任動脈を逆行性にたどっていき(図3),超選択的CTA作成のための下調べを行った。また,その作成過程で,分岐の形態,径,屈曲程度などを把握しつつ,カテーテル挿入が可能か,どの器具をどういう手順で使うか,そのほか術中の透視角度などについてシミュレーションを行った。

図3 ダブルオブリーク機能を用いて作成血管を下調べ
図3 ダブルオブリーク機能を用いて作成血管を下調べ
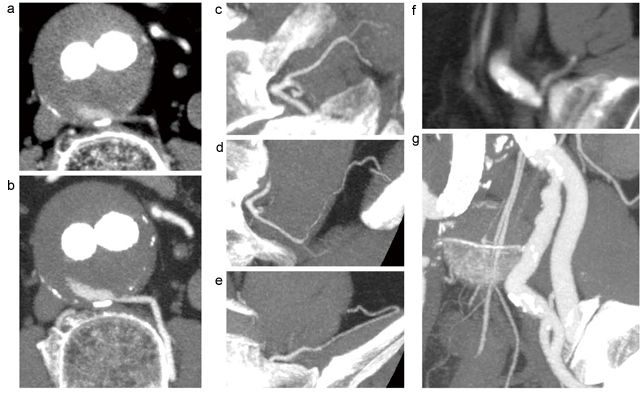
a:エンドリーク部の平均表示 b:エンドリーク部のMIP表示
c:L4椎体左あたりのMIP表示 d:左大腰筋あたりのMIP表示 e:左腸骨窩あたりのMIP表示
f:左仙腸関節あたりの平均表示 g:左内腸骨動脈本幹のMIP表示

図4 aが完成した超選択的CTAである。図2と比較すると,主たる血管が抽出されず,非常にさびしい感じになっているが,これが術者として欲しい情報であった。角度やカット領域を変更して観察を行うと(図4 b〜d),責任動脈は,左腸腰動脈からの側副血行路より左第4陽動脈へ到達していた。途中に強い屈曲や細い箇所があるが,親カテーテルが左腸腰動脈に深く挿入できれば,マイクロカテーテルの通過は可能だと推測した。左内腸骨動脈は,左総大腿動脈からの同側アプローチでは角度などが簡単ではなさそうだったが,透視角度およびカテーテル形状などにて克服可能と推測した。以上のことからTAEの適応と判断し,治療に踏み切った。

図4 超選択的CTA
図4 超選択的CTA
a:全体像の正面 b:左総腸骨動脈までカットを入れた右前斜位
c:左内腸骨動脈までカットを入れた右前斜位 d:左内腸骨動脈までカットを入れた正面

まず,左総大腿動脈からショートシース(3Fr.システム対応)を挿入。左内腸骨動脈の分岐形態を,右前斜位35°で造影し確認した(図5 a)。シェファードフック型の親カテーテル(3.5Fr.)を用い,左内腸骨動脈を選択,ガイドワイヤを左上殿動脈の奥まで進め(図5 b),コブラ型の親カテーテル(3.5Fr.)に交換。親カテーテル・マイクロカテーテル(2.0/2.4Fr.)を左腸腰動脈に挿入,造影にて経路を確認した(図5 c)。超選択的CTAで確認した血管走行・形態であった。さらにマイクロカテーテルを慎重に進めていき,左第4腰動脈に到達した(図5 d)。離脱式コイルを計4本留置し,血流遮断を確認した(図5 e)。

図5 TAE時の血管造影画像
図5 TAE時の血管造影画像
a:右前斜位で造影した左内腸骨動脈 b:ガイドワイヤを左上殿動脈に挿入
c:正面で造影した左腸腰動脈 d:マイクロカテーテルが左第4腰動脈に到達 e:TAE後に造影した左腸腰動脈

術前と術後5か月のCTにて,瘤径の増大傾向がなくなったことを確認した(図6)。現在も経過観察中である。

図6  TAE前後のCT
図6 TAE前後のCT

●さいごに

AZE VirtualPlace 雷神Plusによる術前の超選択的CTAが有用であった一例を提示した。対象症例は年間多数ある。該当症例や他業務が増加した場合には,全手順を術者自身のみで行うことは不可能である。それを補うためには,CTA作成に習熟した診療放射線技師が作成したものを,術者が確認・仕上げ作業を行うような体制が必要であろう。そのためにも,術者が求める画像(超選択的CTA)がどういうものなのかを,診療放射線技師と共有していかなければならないし,それが他の目的のCTA作成にも生かされていくにちがいない。

【使用CT装置】 Aquilion 64 (東芝社製)
【使用ワークステーション】 AZE VirtualPlace 雷神Plus(AZE社製)

(2011年7月号)

▲ページトップへ

AZEトップへ