ホーム
AZE
次世代の画像解析ソフトウェア
4D時代到来
【月刊インナービジョンより転載】
■4D時代到来
宮澤 大輔
社会医療法人厚生会 木沢記念病院医療技術部放射線技術課
●はじめに
当院では,2007年4月に臨床機としては,世界で初めて320列Area Detector CT(ADCT)「Aquilion ONE」(東芝社製)を導入した。Aquilion ONEは,従来のヘリカルスキャンとは違い,1回転で最大160mmの範囲を撮影できるボリュームスキャンが可能である。これにより,脳や心臓といった臓器が1回転で撮影できるようになった。それに加えて,ボリュームスキャンを連続で撮影することにより,最大160mmの範囲の4D撮影が可能となり,いままで血管造影検査でしかできなかったシネ画像がCT画像で作成できるようになった。
そこで本稿では,「AZE VirtualPlace雷神Plus」(AZE社製)で4Dを作成し,診断に有用であった動脈管開存症(patent ductus arteriosus:PDA)の一例を紹介する。
●症例提示
症例は,75歳の女性で,倦怠感にて受診され,胸部単純X線画像にて左第2弓の突出を認め,心電図では非特異的なST異常を認めた。心エコーでは,肺動脈の短軸像にて4.49m/sのshunt flowを認めた(図1)。

図1 PDA症例の心エコー短軸像
CT撮影は以下の条件で行った。撮影モードは,ボリュームスキャンを連続して撮影するDynamic Volumeで行い,管電圧は120kV,管電流は100mA,rotation timeは0.5sとした。160mmの範囲を撮影し,ボリュームスキャンを11回行った(表1)。撮影はテストインジェクション法で行った。造影剤量は25.8mgI/kg/sで決定し,テスト撮影で7mL(3.3mL/s)使用し,本番撮影で23mL(3.3mL/s)使用した(図2)。
![]() 表1 撮影条件 |
![]() 図2 撮影プロトコール |
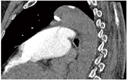
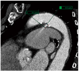
volume rendering(VR)の4Dでは,造影剤が左心室から大動脈に流れていく状態と,PDAの位置を任意の角度から確認することができる(図3)。また,multiplanar reconstruction(MPR)の4Dでは,VRでは確認できない任意の断面の状態や,肺動脈へのジェットの状態を確認することができる(図4)。また,MPRでは,PDAの径を計測することも可能である(図5)。
![]() 図3 PDA症例のVR像 |
![]() 図4 PDA症例のMPR像 |
![]() 図5 PDA症例のMPR計測 |
血管撮影との比較では,血管撮影は侵襲検査であるため,患者さんへの身体的負担が大きくなってしまう。また,任意の角度を撮影しようとすると,そのつど撮影を行わないといけないため,造影剤量や被ばく線量が増えてしまう。その点CTでは,造影剤量30mLで任意の角度,断面が得られるのでより有用な検査であると考える。
●ワークステーションの簡便性
近年,ワークステーションの性能も良くなり,短時間での画像処理が可能となった。当院で使用しているAZE VirtualPlace雷神Plusの心機能解析ソフトウェアは,4Dの作成が簡便で,診療放射線技師間での再現性にバラツキのないVR像やMPR像の作成ができる。
●まとめ
4D撮影を行うことで,VR像やMPR像で血行状態を確認することができ,任意の断面描出や計測が可能となる。また,血管撮影に比べ非侵襲で,造影剤量の減量も可能なため,今後CTにおける4D撮影は,いままでの血管造影撮影に取って代わる検査となり,4D時代の到来を予感させる。
【使用CT装置】Aquilion ONE(東芝社製)
【使用インジェクタ】DUAL SHOT GX(根本杏林堂社製)
【使用ワークステーション】AZE VirtualPlace雷神Plus(AZE社製)
(2011年10月号)